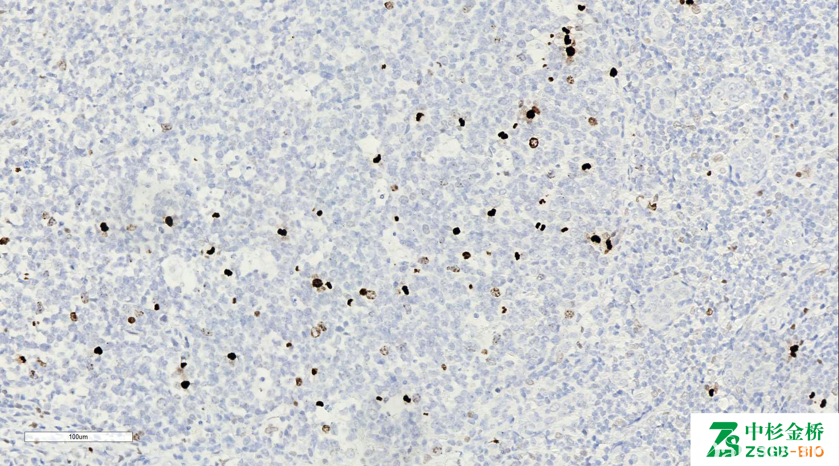
PHH3

别名: 磷酸化组蛋白 H3
概述:
有丝分裂的特异性标记物。
信号定位: 胞核
在病理学中的应用:
用于鉴别凋亡和核碎片。
商品化试剂(排名不分先后,本网站对抗体质量不负责!)
公司 | 克隆号 | 即用型(ml) | 原液(ml) | ||||
基因科技 | Poly | / | 2 | 4 | 7 | / | 0.2 |
中杉金桥 | / | 1.5 | 3 | 6 | / | 0.1 | 0.2 |
安必平 | / | 1.5 | 3 | 6 | / | 0.1 | 0.2 |
福建迈新 | 多克隆 | 1.5 | 3 | 6 | / | / | 0.2 |
在肿瘤中的表达情况:
几乎全部阳性(≥95%的病例阳性): 平滑肌肉瘤,NOS
有时阳性(<55%,≥35%的病例阳性): 非典型平滑肌瘤