34βE12

别名: anti-cytokeratin K903 、CK904
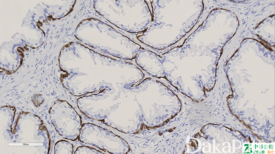
概述:
高分子量角蛋白,与细胞角蛋白 1、5、10、14 反应。表达于鳞状上皮、腺体基地细胞等细胞的胞质
信号定位: 胞质
在病理学中的应用:
尿路上皮增生(基底细胞阳性)与尿路上皮癌(全层)的鉴别诊断;
前列腺不典型腺泡增生或高级别 PIN 与前列腺癌的鉴别诊断;
乳腺管内癌与浸润癌的鉴别诊断。
商品化试剂(排名不分先后,本网站对抗体质量不负责!)
公司 | 克隆号 | 即用型(ml) | 原液(ml) | ||||
中杉金桥 | 34βE12 | 1.5 | 3 | 6 | / | 0.1 | 0.2 |
安必平 | 34βE12 | 1.5 | 3 | 6 | / | 0.1 | 0.2 |