GATA3

别名: endothelial transcription factor 3
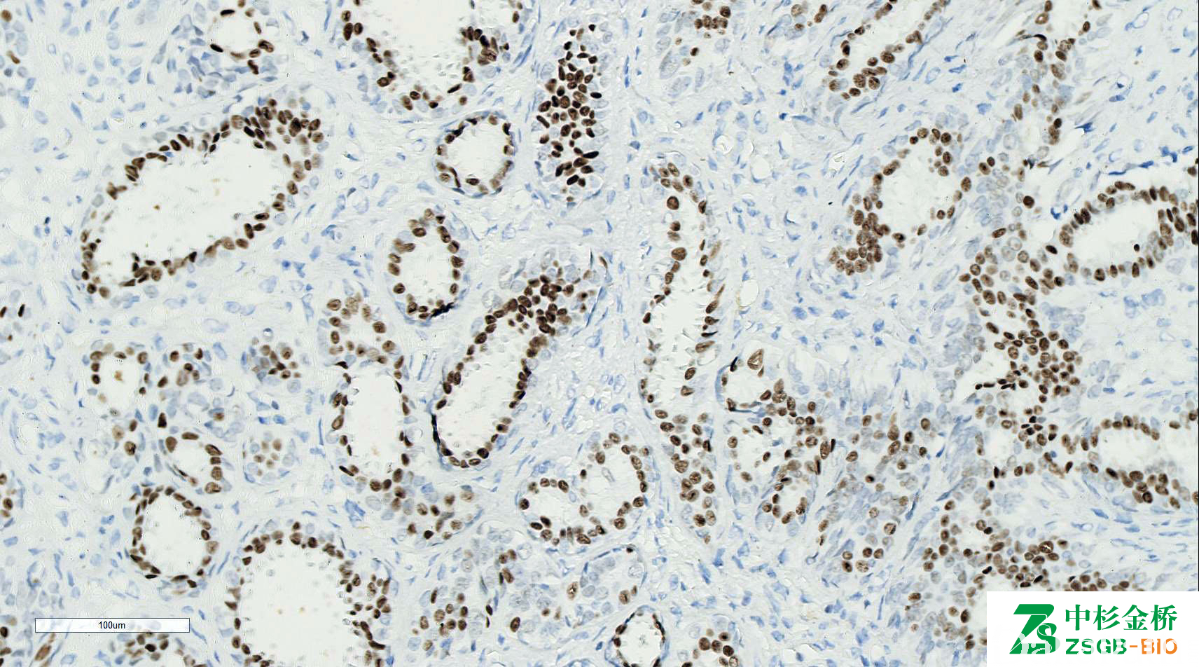
概述:
转录因子家族成员,与早期 T 细胞发育有关;与正常乳腺发育过程有关,只表达于乳腺腔面上皮细胞。
信号定位: 胞核
在病理学中的应用:
尿路上皮癌、乳腺导管癌、阴道移行上皮增生的敏感性标记物;
尿路上皮癌(+)与前列腺癌(-)及肾细胞癌(-)的鉴别;
膀胱尿路上皮癌(+)与膀胱鳞状上皮细胞癌(-)的鉴别论断。
商品化试剂(排名不分先后,本网站对抗体质量不负责!)
公司 | 克隆号 | 即用型(ml) | 原液(ml) | ||||
基因科技 | L50-823 | / | 2 | 4 | 7 | / | 0.2 |
赛诺特 | L50-823 | 1 | 3 | 6 | / | 0.1 | 0.2 |
中杉金桥 | L50-823 | 1.5 | 3 | 6 | / | 0.1 | 0.2 |
EP368 | |||||||
安必平 | L50-823 | 1.5 | 3 | 6 | / | 0.1 | 0.2 |
福建迈新 | L50-823 | 1.5 | 3 | 6 | / | / | 0.2 |
在肿瘤中的表达情况:
几乎全部阳性(≥95%的病例阳性): 非浸润性乳头状尿路上皮癌,低级别、皮肤基底细胞癌、乳腺导管原位癌、涎腺嗜酸细胞瘤、睾丸青春期后型卵黄囊瘤、膀胱透明细胞癌、胎盘部位结节、胎盘部位超常反应、完全性水泡状胎块、涎腺类似于乳腺的分泌性癌、乳腺癌,腔 B 型、乳腺癌,腔 A 型、上皮样滋养层细胞肿瘤、乳腺浸润性小叶癌
通常阳性(<95%,≥75%的病例阳性): 皮肤鳞状细胞癌、非浸润性乳头状尿路上皮癌,高级别、子宫内膜绒毛膜癌、涎腺导管腺癌、嗜铬细胞瘤、皮肤大汗腺腺癌、乳腺伴大汗腺分化的癌、乳腺浸润性癌,非特殊类型
经常阳性(<75%,≥55%的病例阳性): 间皮瘤,NOS、膀胱尿路上皮癌、副神经节瘤、胎盘部位滋养细胞肿瘤、巢状尿路上皮癌、淋巴瘤样或浆细胞样尿路上皮癌、尿路上皮癌、汗腺癌
有时阳性(<55%,≥35%的病例阳性): 肾嫌色细胞癌、涎腺嗜酸细胞癌、乳腺化生性癌、上皮肌上皮癌、肺大细胞癌、膀胱肉瘤样尿路上皮癌、黏液表皮样癌、胰腺腺癌、多形性腺瘤、膀胱印戒细胞癌
少数阳性(<35%,≥15%的病例阳性): 喉鳞状细胞癌、上皮样间皮瘤、宫颈鳞状细胞癌、腺样囊性癌、膀胱腺癌,非特指型、滑膜肉瘤、外周 T 细胞淋巴瘤、上皮样肉瘤、肛管鳞状细胞癌、肛管鳞状细胞癌、尿路淋巴上皮瘤样癌、肾嗜酸细胞瘤
偶尔阳性(<15%,≥5%的病例阳性): 平滑肌肉瘤,NOS、恶性外周神经鞘膜瘤、肾上腺皮质癌、甲状腺滤泡性癌、甲状腺乳头状癌、涎腺腺泡细胞癌、甲状腺间变性癌、血管肉瘤、胆管癌、子宫内膜腺癌、膀胱鳞状细胞癌、卵巢浆液性癌
几乎全部阴性(<5%的病例阳性): 卵巢子宫内膜样癌、结直肠腺癌、恶性黑色素瘤、前列腺腺泡性癌、乳头状肾细胞癌、未分化多形性肉瘤、肝细胞癌、肾细胞癌、透明细胞肾细胞癌、子宫内膜间质肿瘤、食管鳞状细胞癌、良性胸腺瘤、卵巢纤维卵泡膜瘤、纵膈精原细胞瘤、Kaposi 肉瘤、神经纤维瘤病相关性胃肠道间质瘤、透明细胞肉瘤、脑膜瘤,NOS、胚胎性癌、肺鳞状细胞癌、恶性潜能未定的平滑肌肿瘤、睾丸精原细胞瘤、肺肉瘤样癌、胃印戒细胞癌、输卵管腺癌、食管腺癌、胆囊腺癌、皮肤 Merkel 细胞癌、卵巢透明细胞癌、甲状腺腺瘤、卵巢成人颗粒细胞瘤、肺腺鳞癌、宫颈腺癌,非特指型、胃腺癌、肾集合管癌、前列腺癌,≥gleason8 分、肉瘤样肾细胞癌、肺腺癌、胰腺导管腺癌