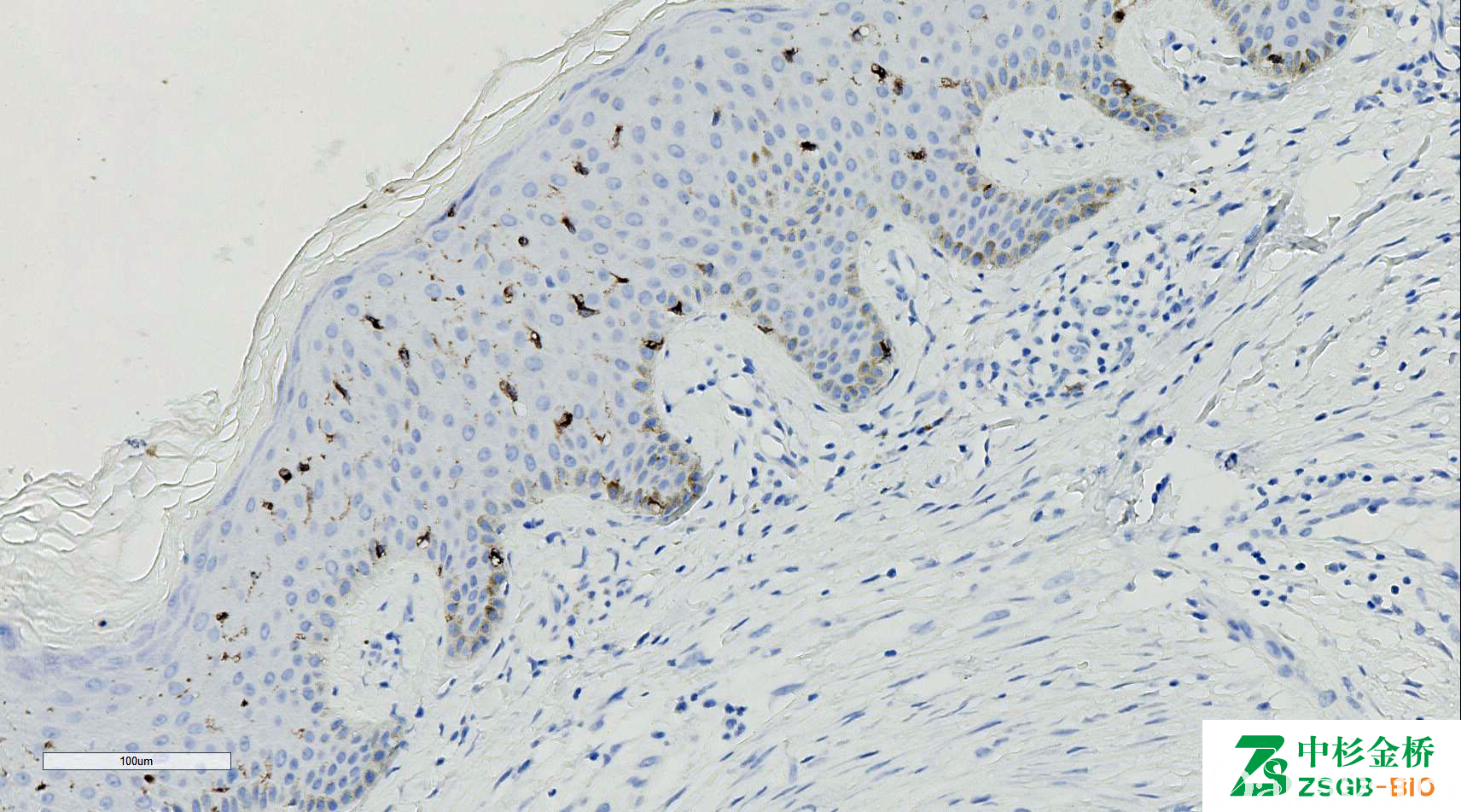
LANGERIN

别名: CD207;12D6
概述:
由 Langerhans 细胞产生,是具有甘露糖结合特异性的 II 型跨膜 C 型凝集素,介导 Birbeck 颗粒形成。
信号定位: 胞膜
在病理学中的应用:
肺朗格汉斯细胞组织细胞增生症和肺外朗格汉斯细胞肉芽肿的诊断;
未成熟树突状细胞可有表达。
商品化试剂(排名不分先后,本网站对抗体质量不负责!)
公司 | 克隆号 | 即用型(ml) | 原液(ml) | ||||
基因科技 | 12D6 | / | 2 | 4 | 7 | / | 0.2 |
赛诺特 | 12D6 | 1 | 3 | 6 | / | 0.1 | 0.2 |
中杉金桥 | 12D6 | 1.5 | 3 | 6 | / | 0.1 | 0.2 |
安必平 | 12D6 | 1.5 | 3 | 6 | / | 0.1 | 0.2 |
福建迈新 | 12D6 | 1.5 | 3 | 6 | / | / | 0.2 |
在肿瘤中的表达情况:
有时阳性(<55%,≥35%的病例阳性): 组织细胞/树突状细胞肉瘤