MUC2

别名: CCP58;LDQ10;MRP;黏糖蛋白 2;Mucin-2
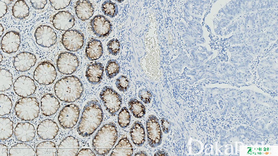
概述:
由肠杯状细胞和呼吸道上皮产生,正常只表达于肠上皮,又称肠型黏液。
信号定位: 胞质
在病理学中的应用:
MUC 系列用于黏液性肿瘤黏液上皮分化类型的鉴别,特异性差;
结直肠来源 Paget 病的诊断具有相对特异性。
商品化试剂(排名不分先后,本网站对抗体质量不负责!)
公司 | 克隆号 | 即用型(ml) | 原液(ml) | ||||
基因科技 | Ccp58 | / | 2 | 4 | 7 | / | 0.2 |
赛诺特 | Ccp58 | 1 | 3 | 6 | / | 0.1 | 0.2 |
中杉金桥 | Ccp58 | 1.5 | 3 | 6 | / | 0.1 | 0.2 |
安必平 | MRQ-18 | 1.5 | 3 | 6 | / | 0.1 | 0.2 |
在肿瘤中的表达情况:
几乎全部阳性(≥95%的病例阳性): 鼻窦印戒细胞癌、胰腺导管内乳头状黏液性肿瘤,肠型、胰腺胶样癌、胰腺嗜酸细胞型导管内乳头状癌、胰腺嗜酸细胞型导管内乳头状癌伴浸润成分、胰腺黏液性非囊性癌、乳腺黏液癌、涎腺黏液性腺癌、皮肤黏液癌、结直肠黏液性腺癌、胰腺低度恶性潜能黏液性囊腺癌、结直肠印戒细胞癌、卵巢交界性黏液性肿瘤,胃肠型、壶腹黏液性腺癌、膀胱黏液性癌、肛周 Paget 病、阑尾印戒细胞癌
通常阳性(<95%,≥75%的病例阳性): 鼻窦腺癌,肠型、壶腹腺癌,肠型、阑尾腺癌、胆管内乳头状肿瘤、胃黏液腺癌、宫颈腺癌,肠型、壶腹印戒细胞癌
经常阳性(<75%,≥55%的病例阳性): 胃腺癌,弥漫性、胰腺导管内乳头状癌、胰腺导管内乳头状癌伴浸润成分、胰腺导管内乳头状肿瘤、胃印戒细胞癌、胰腺黏液性囊腺癌、肺浸润性黏液腺癌
有时阳性(<55%,≥35%的病例阳性): 胃腺癌,肠型、胰腺导管内管状腺瘤,幽门腺型、胸腺黏液表皮样癌、结直肠腺癌、前列腺腺泡性癌、胰腺导管内乳头状黏液性肿瘤、胰腺多发性浆液性囊性肿瘤,Von Hippel-Lindau 相关、乳腺外 Paget 病、小肠腺癌、宫颈黏液腺癌,非特指型、胃腺癌
少数阳性(<35%,≥15%的病例阳性): 胰腺导管内乳头状黏液性肿瘤,胰胆管型、胰腺交界性导管内乳头状瘤、胰腺黏液性囊性肿瘤、低级别阑尾黏液性肿瘤、阑尾囊腺瘤、卵巢黏液性交界性肿瘤/非典型增生性黏液性肿瘤、黏液表皮样癌、子宫内膜黏液腺癌、卵巢黏液性癌、壶腹腺癌,胰胆管型、食管腺癌、宫颈微偏腺癌、壶腹腺癌、胆管癌、乳腺 Paget 病、宫颈原位腺癌、肺肠型腺癌、肛管腺癌、乳腺癌伴印戒细胞样细胞分化
偶尔阳性(<15%,≥5%的病例阳性): 胃幽门腺腺瘤、胰腺导管内乳头状黏液性肿瘤,null 型、胰腺腺癌,肠型、膀胱尿路上皮癌、肺鳞状细胞癌、卵巢黏液性囊腺瘤、鼻窦腺癌,非肠型、胆囊腺癌、胰腺浆液性微囊性腺瘤、乳腺浸润性癌,非特殊类型、宫颈腺癌,非特指型、肺印戒细胞癌、乳腺浸润性小叶癌、胆管内乳头状-管状肿瘤
几乎全部阴性(<5%的病例阳性): 胰腺上皮内肿瘤、肝细胞癌、肾上腺皮质癌、肾细胞癌、宫颈浆液性癌、宫颈腺癌,透明细胞型、宫颈子宫内膜样癌、宫颈腺鳞癌、胰腺局限性浆液性寡囊腺瘤、子宫内膜腺癌、肺贴壁型腺癌,黏液性、胰胆管腺癌、胃腺癌,主细胞分化、胰腺导管内管状乳头状肿瘤、胰腺高级别上皮内瘤变、胰腺低级别上皮内瘤变、壶腹部腺鳞癌、肺腺癌、胰腺导管腺癌