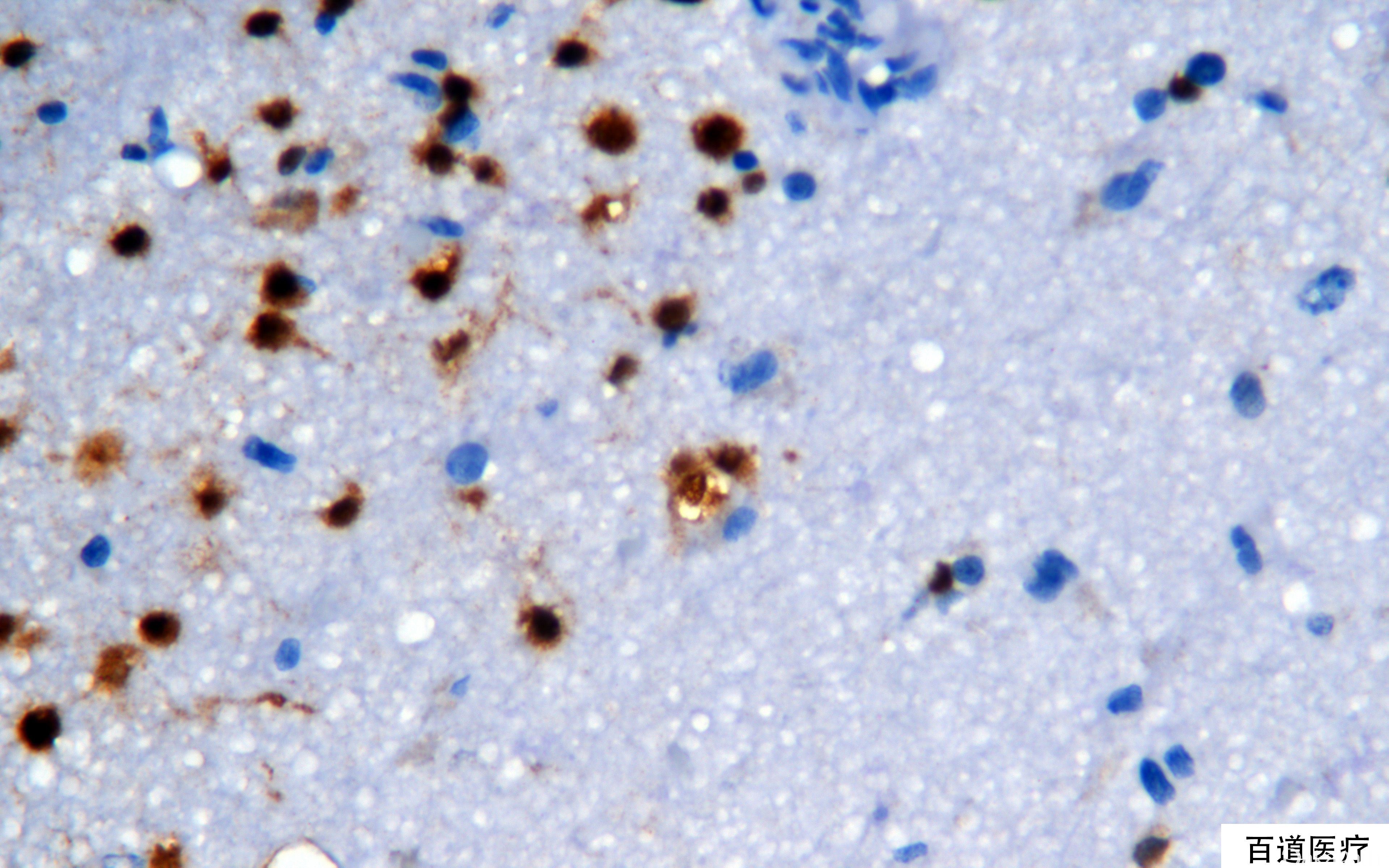
NeuN

概述:
特异性地与神经元细胞核的抗原结合,在正常脑组织的锥体神经元和颗粒性神经元表达,而小脑蒲肯野细胞不表达。NeuN 只在趋于成熟的神经元中表达。
信号定位: 胞核
在病理学中的应用:
中枢神经细胞瘤与胶质瘤的鉴别;
鉴别正常组织以及肿瘤中的不成熟神经组织。
商品化试剂(排名不分先后,本网站对抗体质量不负责!)
公司 | 克隆号 | 即用型(ml) | 原液(ml) | ||||
基因科技 | A60 | / | 2 | 4 | 7 | / | 0.2 |
中杉金桥 | A60 | 1.5 | 3 | 6 | / | 0.1 | 0.2 |
安必平 | A60 | 1.5 | 3 | 6 | / | 0.1 | 0.2 |
福建迈新 | A60 | 1.5 | 3 | 6 | / | / | 0.2 |
在肿瘤中的表达情况:
几乎全部阳性(≥95%的病例阳性): 上皮样多形性胶质母细胞瘤
通常阳性(<95%,≥75%的病例阳性): 中枢神经细胞瘤
偶尔阳性(<15%,≥5%的病例阳性): 原始神经外胚层瘤