RCC

别名: Renal cell carcinoma marker (RCC Ma) ;PN-15;SPM314;4C2
概述:
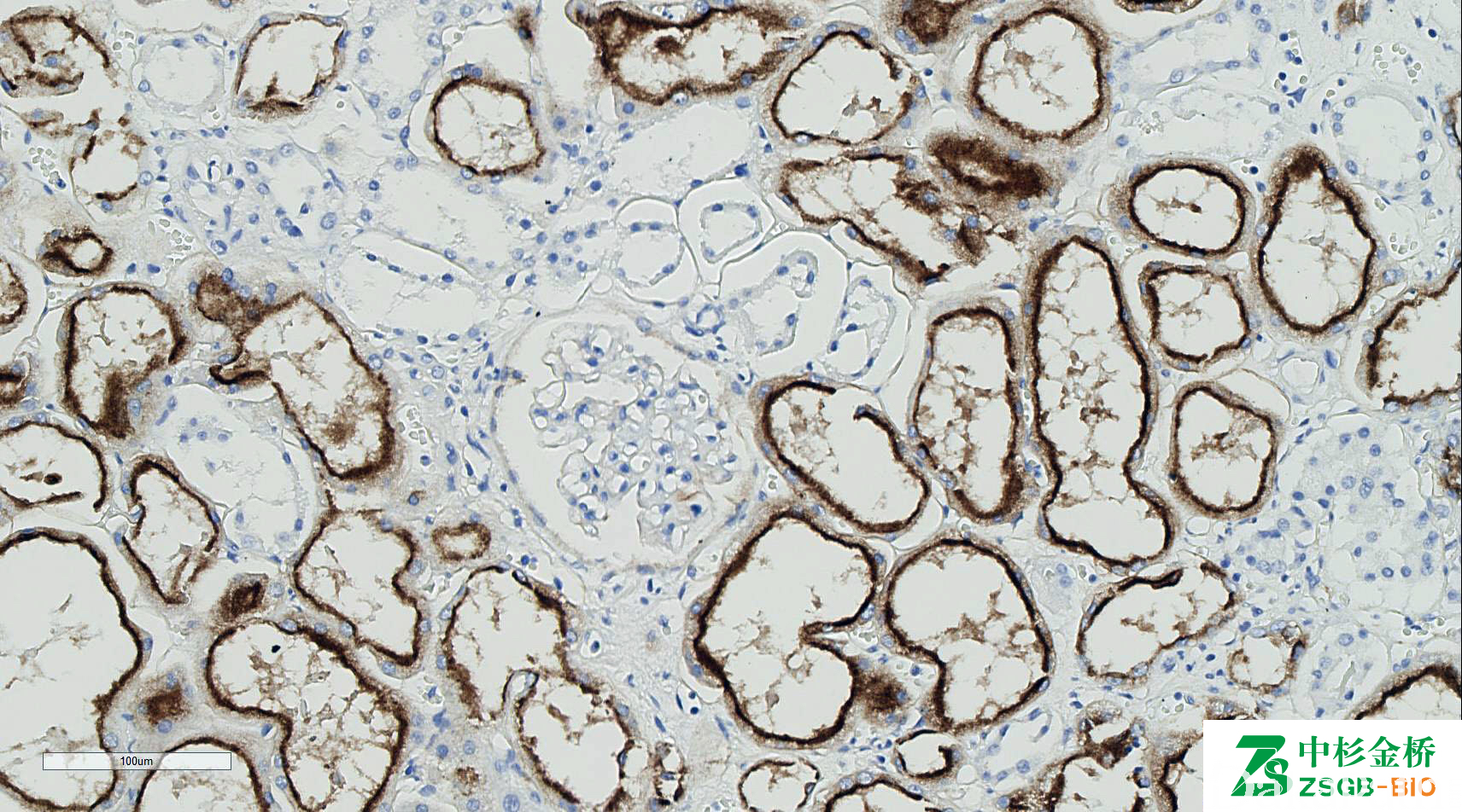
肾细胞癌标记物, 表达于正常近曲小管上皮和肾细胞癌细胞,特异性差。
84%的肾透明细胞癌、96%的乳头状肾细胞癌、45%嫌色细胞癌、25%肉瘤样癌中至少 10%的细胞表达阳性;
67%的转移性肾细胞癌阳性,2%-20%转移性非肾细胞癌(主要为乳腺癌)呈阳性表达;
肾嗜酸细胞瘤和集合管癌不表达;
乳腺癌、肾上腺皮质肿瘤、前列腺癌、卵巢癌、肺癌、甲状旁腺肿瘤等都可不同程度阳性表达。
信号定位: 胞质、胞膜
在病理学中的应用:
- 肾细胞癌的分型(透明细胞癌与嫌色细胞癌的鉴别);
- 与其他抗体联用用于转移癌的鉴别诊断。
商品化试剂(排名不分先后,本网站对抗体质量不负责!)
公司 | 克隆号 | 即用型(ml) | 原液(ml) | ||||
基因科技 | PN15 | / | 2 | 4 | 7 | / | 0.2 |
中杉金桥 | 66.4. C2 | 1.5 | 3 | 6 | / | 0.1 | 0.2 |
在肿瘤中的表达情况:
几乎全部阳性(≥95%的病例阳性): 涎腺腺泡细胞癌、纵膈精原细胞瘤、耳鼻喉鳞状细胞癌、垂体腺瘤、乳腺良性叶状肿瘤、睾丸精原细胞瘤、膀胱透明细胞癌、阴道鳞状细胞癌、阴道透明细胞腺癌,DES 相关、涎腺透明细胞腺癌、甲状旁腺腺瘤、胰腺浆液性微囊性腺瘤、脉络丛乳头状瘤,NOS、乳腺导管内乳头状瘤
通常阳性(<95%,≥75%的病例阳性): 乳头状肾细胞癌、肾细胞癌、肾细胞癌伴 Xp11.2 异位、肾细胞癌伴 t(X;17)(p11;q25)
经常阳性(<75%,≥55%的病例阳性): 透明细胞肾细胞癌、甲状腺乳头状癌、卵巢浆液性癌、甲状旁腺癌
有时阳性(<55%,≥35%的病例阳性): 胰腺导管内乳头状黏液性肿瘤、卵巢透明细胞癌、甲状腺岛状癌、子宫内膜浆液性癌、乳腺浸润性小叶癌、肺腺癌
少数阳性(<35%,≥15%的病例阳性): 皮肤鳞状细胞癌、透明细胞乳头状肾细胞癌、间皮瘤,NOS、肾上腺皮质癌、乳头状肾细胞癌伴嗜酸细胞、胚胎性癌、肺鳞状细胞癌、脊索瘤、乳腺浸润性癌,非特殊类型、输卵管透明细胞乳头状囊腺瘤
偶尔阳性(<15%,≥5%的病例阳性): 肾嫌色细胞癌、囊性肾瘤-囊上皮、上皮样间皮瘤、副神经节瘤、肾黏液管状和梭形细胞癌
几乎全部阴性(<5%的病例阳性): 黏液性/圆细胞脂肪肉瘤、肾细胞癌伴 t(6;11)(p21;q12)、脑膜瘤,乳头状、结直肠腺癌、皮脂腺腺癌、前列腺腺泡性癌、未分化多形性肉瘤、肝细胞癌、膀胱尿路上皮癌、中肾瘤,NOS、类癌、甲状腺滤泡性癌、软骨肉瘤、腺泡状软组织肉瘤、肾上腺皮脂腺瘤、肺大细胞癌、睾丸青春期后型卵黄囊瘤、卵巢黏液性交界性肿瘤/非典型增生性黏液性肿瘤、黏液表皮样癌、淋巴瘤、乳腺黏液癌、血管肌脂肪瘤、宫颈透明细胞癌、肝外胆管癌、血管母细胞瘤、胰腺腺鳞癌、囊性肾瘤-间质、腹膜原发性腺癌、肾混合性间质和上皮肿瘤、囊性肾瘤、黏液乳头状室管膜瘤、肾上腺皮质肿瘤,NOS、乳头状颅咽管瘤、甲状腺嗜酸细胞腺瘤、肾集合管癌、肉瘤样肾细胞癌、宫颈乳头状鳞状细胞癌、肝透明细胞型肝细胞癌、肾嗜酸细胞瘤、胰腺导管腺癌、脑膜瘤,透明细胞