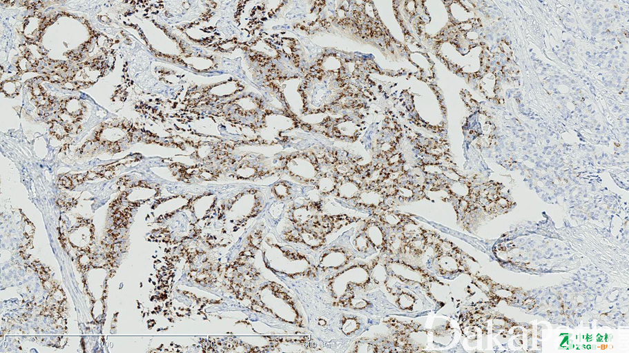
P501S

别名: Prostein;10E3; PSMA
概述:
为前列腺敏感及特异性标记,在前列腺癌中表达增强(低分化强阳性),少数脐尿管癌、膀胱腺癌可表达。
信号定位: 胞质(核旁高尔基体)
在病理学中的应用:
- 转移性前列腺癌的诊断;
- 前列腺癌与膀胱及直肠腺癌的鉴别。
商品化试剂(排名不分先后,本网站对抗体质量不负责!)
公司 | 克隆号 | 即用型(ml) | 原液(ml) | ||||
基因科技 | ZR9 | / | 2 | 4 | 7 | / | 0.2 |
中杉金桥 | 10E3 | 1.5 | 3 | 6 | / | 0.1 | 0.2 |
在肿瘤中的表达情况:
几乎全部阳性(≥95%的病例阳性): 前列腺腺泡性癌、前列腺癌,≥gleason8 分
少数阳性(<35%,≥15%的病例阳性): 脐尿管癌
偶尔阳性(<15%,≥5%的病例阳性): 膀胱尿路上皮癌、膀胱腺癌,非特指型
几乎全部阴性(<5%的病例阳性): 结直肠腺癌