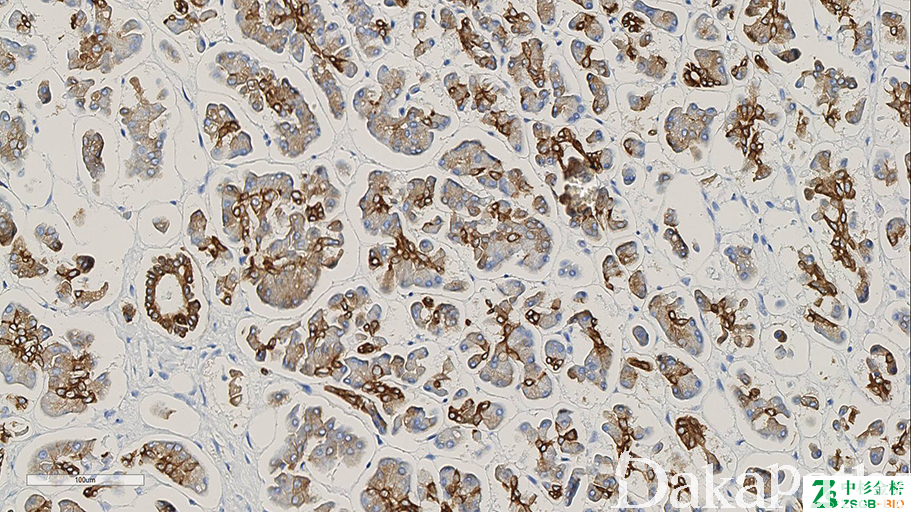
AE3

概述:
细胞角蛋白,能识别所有已知的碱性(II 型)细胞角蛋白。
信号定位: 胞质
在病理学中的应用:
肿瘤上皮性分化的标记之一。
商品化试剂(排名不分先后,本网站对抗体质量不负责!)
公司 | 克隆号 | 即用型(ml) | 原液(ml) | ||||
中杉金桥 | AE3 | 1.5 | 3 | 6 | / | 0.1 | 0.2 |
在肿瘤中的表达情况:
几乎全部阳性(≥95%的病例阳性): 肺鳞状细胞癌、膀胱透明细胞癌、毛发上皮瘤、肾上腺嗜酸细胞性肾上腺皮质肿瘤、脑膜瘤,分泌性、食管基底样鳞状细胞癌、肾源性腺瘤
通常阳性(<95%,≥75%的病例阳性): 涎腺导管腺癌、涎腺玻璃样变透明细胞癌、肺腺癌
经常阳性(<75%,≥55%的病例阳性): 骨纤维结构不良、造釉细胞瘤、胆管癌
有时阳性(<55%,≥35%的病例阳性): 乳腺浸润性癌,非特殊类型、胃腺癌、鼻咽癌,非角化性、胰腺导管腺癌
少数阳性(<35%,≥15%的病例阳性): 肝细胞癌、非典型性脑膜瘤、鼻咽未分化癌
偶尔阳性(<15%,≥5%的病例阳性): 脑膜瘤,砂粒体型、脑膜瘤,横纹肌样、脑膜瘤,纤维型、脑膜瘤,移行型
几乎全部阴性(<5%的病例阳性): 肾细胞癌伴 Xp11.2 异位、黏液性软骨肉瘤、脑膜瘤,微囊性