CD21

别名: CR2
概述:
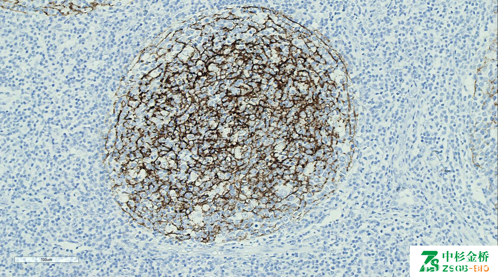
树突细胞标记物,是 EBV 及 HHV8 等病毒受体,表达于滤泡树突细胞、边缘区细胞及套细胞,用于显示生发生心轮廓。
信号定位: 胞膜
在病理学中的应用:
滤泡树突细胞肿瘤的诊断;
显示滤泡树突网,用于滤泡性淋巴瘤与血管免疫母细胞性 T 细胞淋巴瘤的诊断。
商品化试剂(排名不分先后,本网站对抗体质量不负责!)
公司 | 克隆号 | 即用型(ml) | 原液(ml) | ||||
基因科技 | 2G9 | 1 | 2 | 4 | 7 | 0.2 | 1 |
赛诺特 | 2G9 | 1 | 3 | 6 | / | 0.1 | 0.2 |
EP3093 | 1 | 3 | 6 | / | 0.1 | 0.2 | |
中杉金桥 | 2G9 | 1.5 | 3 | 6 | / | 0.1 | 0.2 |
EP64 | |||||||
安必平 | EP3093 | 1.5 | 3 | 6 | / | 0.1 | 0.2 |
福建迈新 | EP3093 | 1.5 | 3 | 6 | / | 0.1 | 0.2 |
2G9 | 1.5 | 3 | 6 | / | 0.1 | 0.2 | |
在肿瘤中的表达情况:
通常阳性(<95%,≥75%的病例阳性): 滤泡树突状细胞肿瘤
经常阳性(<75%,≥55%的病例阳性): 脾脏边缘区淋巴瘤、窦岸细胞血管瘤
有时阳性(<55%,≥35%的病例阳性): 淋巴细胞消减型经典型霍奇金淋巴瘤、生发中心进行性转化
少数阳性(<35%,≥15%的病例阳性): 结节硬化型经典型霍奇金淋巴瘤
偶尔阳性(<15%,≥5%的病例阳性): 血管瘤样纤维组织细胞瘤、淋巴瘤、淋巴管瘤、混合细胞型经典型霍奇金淋巴瘤
几乎全部阴性(<5%的病例阳性): 平滑肌肉瘤,NOS、神经鞘膜瘤,NOS、皮肤纤维瘤、血管瘤、组织细胞肉瘤、膀胱肉瘤样尿路上皮癌、葡萄状横纹肌肉瘤、炎性假瘤、血管肉瘤、血管瘤样恶性纤维组织细胞瘤、腱鞘巨细胞瘤、结节性淋巴细胞为主型霍奇金淋巴瘤、交指状树突状细胞肿瘤、蜕膜样间皮瘤、树突状细胞神经纤维瘤伴假菊型团、边缘区 B 细胞淋巴瘤、纵膈大 B 细胞淋巴瘤