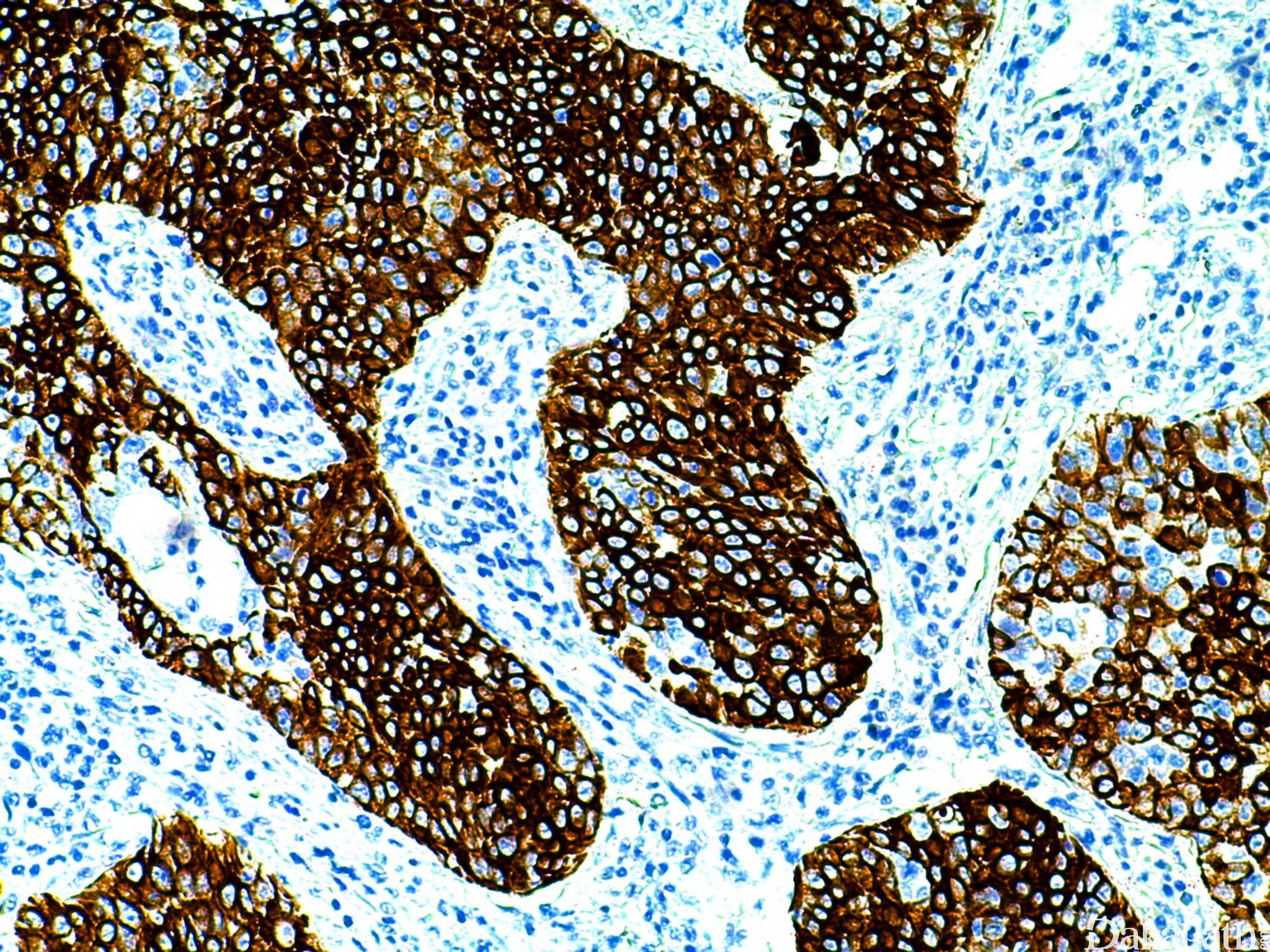
CK5/6

别名: 常用抗体为 34BE12
概述:
CK5 分子量为 58kDa,与 CD14 协同作用,和 CK6 关系密切(抗体常同时与 CK5、CK6 反应)。鳞状上皮及导管上皮的基底细胞和部分鳞状上皮生发层细胞、间皮细胞阳性,腺上皮细胞阴性。胸腺瘤中的上皮样成分阳性。基底细胞样乳腺癌的确诊标记物之一。也用于乳腺 UDH 与导管上皮异性增 生(ADH、DCIS、ALH、LCIS 等)的鉴别。
信号定位: 胞质
在病理学中的应用:
乳腺导管增生(强阳)与实性乳头状癌(阴性);
与 P63 联用(双阳性)提示低分化癌为鳞癌可能;
鉴别肺腺癌与上皮样间皮瘤;
皮肤梭形细胞鳞癌与表浅上皮样肉瘤(灶状阳性);
辅助判断浸润性乳腺癌基底样亚型;
CK5/6 阳性乳腺导管内癌预后较差。
商品化试剂(排名不分先后,本网站对抗体质量不负责!)
公司 | 克隆号 | 即用型(ml) | 原液(ml) | ||||
基因科技 | D5/16 B4 | 1 | 2 | 4 | 7 | 0.2 | 1 |
赛诺特 | D5/16 B4 | 1 | 3 | 6 | / | 0.1 | 0.2 |
中杉金桥 | OTI1C7 | 1.5 | 3 | 6 | / | 0.1 | 0.2 |
安必平 | D5&16 B4 | 1.5 | 3 | 6 | / | 0.1 | 0.2 |
在肿瘤中的表达情况:
几乎全部阳性(≥95%的病例阳性): 皮肤鳞状细胞癌、上皮样间皮瘤、宫颈鳞状细胞癌、皮肤基底细胞癌、涎腺母细胞瘤、食管鳞状细胞癌、良性胸腺瘤、涎腺导管腺癌、腺样囊性癌、乳腺基底样导管内癌、涎腺腺泡细胞癌、乳腺腺样囊性癌、汗管瘤、阴道鳞状细胞癌、外阴鳞状细胞癌、蜕膜样间皮瘤、高分化乳头状间皮瘤、膀胱鳞状细胞癌、涎腺腺淋巴瘤、肺腺鳞癌、宫颈腺癌,非特指型、颅咽管瘤,造釉细胞瘤型、肛管鳞状细胞癌、肛管鳞状细胞癌、前列腺高级别上皮内瘤变、直肠鳞状细胞癌、阴经鳞状细胞癌、多形性腺瘤、乳腺导管增生、乳腺乳头状瘤
通常阳性(<95%,≥75%的病例阳性): 间皮瘤,NOS、乳腺分泌性癌、耵聍腺腺瘤、耳鼻喉鳞状细胞癌、滑膜肉瘤,双向型、鼻咽癌,角化性、肺鳞状细胞癌、局限性恶性间皮瘤、间皮瘤,双向分化、胰腺腺鳞癌、基底样鳞状细胞癌、皮肤大汗腺腺癌、耳鼻喉非角化性鳞状细胞癌、涎腺小管腺瘤、尿路上皮癌
经常阳性(<75%,≥55%的病例阳性): 膀胱尿路上皮癌、子宫内膜腺癌、乳腺伴大汗腺分化的癌、脑膜瘤,分泌性、乳腺基底样癌,三阴性、乳腺大汗腺型导管原位癌、滑膜肉瘤,上皮成分、肺黏液表皮样癌、乳腺髓样癌、汗腺癌、乳腺导管内乳头状瘤
有时阳性(<55%,≥35%的病例阳性): 乳腺化生性癌、耵聍腺癌、鼻窦未分化癌、脊索样胶质瘤、卵巢浆液性癌、胰腺导管腺癌
少数阳性(<35%,≥15%的病例阳性): 乳头状肾细胞癌、肺大细胞癌、滑膜肉瘤,单向分化、结直肠神经内分泌癌、滑膜肉瘤,单向分化,纤维型、胆管癌、腺瘤样瘤,NOS、乳腺浸润性导管癌,高级别、滑膜肉瘤、腹膜原发性腺癌、乳腺小叶原位癌、上皮样肉瘤、乳腺多形性小叶原位癌、胃肝样腺癌、肾集合管癌、前列腺不典型小腺泡增生
偶尔阳性(<15%,≥5%的病例阳性): 结直肠腺癌、肾细胞癌、类癌、中间型滋养细胞肿瘤、乳腺导管原位癌、喉梭形细胞癌、乳腺浸润性癌,非特殊类型、甲状腺腺瘤、乳腺乳头状癌、乳腺癌,腔 A 型、乳腺导管非典型增生、胃腺癌、滑膜肉瘤,双向型,梭形细胞成分、肺腺癌、乳腺柱状细胞变
几乎全部阴性(<5%的病例阳性): 肾嫌色细胞癌、横纹肌肉瘤,NOS、平滑肌肉瘤,NOS、前列腺腺泡性癌、肝细胞癌、恶性外周神经鞘膜瘤、非典型纤维黄色瘤、恶性混合性苗勒管肿瘤、甲状腺髓样癌、甲状腺滤泡性腺瘤、肺透明细胞癌、甲状腺滤泡性癌、软骨肉瘤、甲状腺乳头状癌、卵巢纤维卵泡膜瘤、肺贴壁型腺癌、纵膈精原细胞瘤、促结缔组织增生性小圆细胞肿瘤、乳腺黏液癌、血管肉瘤、胚胎性癌、垂体腺瘤、卵巢幼年型粒层细胞瘤、卵巢纤维瘤、乳腺癌,腔型、脊索瘤、肾髓质癌、食管未分化癌、乳腺小管小叶癌、乳腺筛状癌、皮肤 Merkel 细胞癌、肺硬化性肺细胞瘤、乳腺浸润性导管癌,低级别、乳腺小管癌、肺胸区恶性小圆细胞肿瘤、肺贴壁型腺癌,黏液性、卵巢成人颗粒细胞瘤、乳腺癌,腔 B 型、肾上腺皮质肿瘤,NOS、大细胞神经内分泌癌、脑膜瘤,横纹肌样、肾黏液管状和梭形细胞癌、乳腺浸润性小叶癌、肉瘤样肾细胞癌、乳腺叶状肿瘤,梭形细胞成分、肾嗜酸细胞瘤、乳腺大汗腺化生