TLE1

别名: Transducin-Like Enhancer of split 1
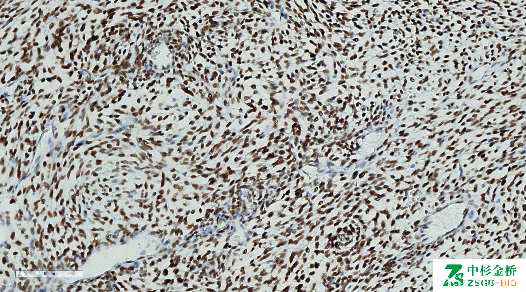
概述:
胚胎发育过程中一过性表达。参与造血及神经分化和终末上皮细胞分化。
信号定位: 胞核
在病理学中的应用:
对滑膜肉瘤的诊断敏感性达到 82%,特异性 92%,用于滑膜肉瘤的诊断,与 EMA、BCL2、AE1/AE3 联用对诊断滑膜肉瘤特异性及敏感性均很高。但热修复会导致非特异性着色。
18%的恶性外周神经鞘瘤及 8%的孤立性纤维性肿瘤表达 TLE-1,但多为弱表达或局灶表达。
商品化试剂(排名不分先后,本网站对抗体质量不负责!)
公司 | 克隆号 | 即用型(ml) | 原液(ml) | ||||
基因科技 | 1F5 | / | 2 | 4 | 7 | / | 0.2 |
中杉金桥 | UMAB253 | 1.5 | 3 | 6 | / | 0.1 | 0.2 |
福建迈新 | 多克隆 | 1.5 | 3 | 6 | / | / | 0.2 |
在肿瘤中的表达情况:
通常阳性(<95%,≥75%的病例阳性): 滑膜肉瘤,单向分化、低分化滑膜肉瘤、滑膜肉瘤,双向型、滑膜肉瘤
有时阳性(<55%,≥35%的病例阳性): 血管周细胞瘤
少数阳性(<35%,≥15%的病例阳性): 细胞性神经鞘瘤、纤维肉瘤、神经鞘膜瘤,NOS、恶性外周神经鞘膜瘤、纤维黄色瘤
偶尔阳性(<15%,≥5%的病例阳性): 孤立性纤维性肿瘤、恶性孤立性纤维性肿瘤、胃肠道间质瘤、尤文肉瘤、透明细胞肉瘤、高级别软骨肉瘤
几乎全部阴性(<5%的病例阳性): 恶性黑色素瘤、横纹肌肉瘤,NOS、隆突性皮肤纤维肉瘤、平滑肌肉瘤,NOS、间皮瘤,NOS、未分化多形性肉瘤、上皮样血管内皮瘤、子宫内膜间质肉瘤、颗粒细胞瘤、血管瘤、多形性脂肪肉瘤、恶性神经鞘瘤、非典型性脂肪瘤性肿瘤、上皮样多形性脂肪肉瘤、原始神经外胚层瘤、毛细血管瘤、黏液恶性纤维组织细胞瘤、神经束膜瘤、腺泡状横纹肌肉瘤、去分化脂肪肉瘤、血管球瘤、Kaposi 肉瘤、促结缔组织增生性小圆细胞肿瘤、神经纤维瘤、低级别纤维黏液肉瘤、纤维瘤病、炎性假瘤、血管肉瘤、结节性筋膜炎、间叶性软骨肉瘤、黏液性软骨肉瘤、弥漫型腱鞘巨细胞瘤、低级别软骨肉瘤、黏液瘤,NOS、软骨瘤,NOS、软骨母细胞瘤,NOS、乳腺浸润性癌,非特殊类型、软骨黏液样纤维瘤、上皮样肉瘤、脂肪母细胞瘤、平滑肌瘤、丛状神经纤维瘤