Hep-Par1

别名: hepatocyte paraffin1;OCH1E5.2;HapPar-1
概述:
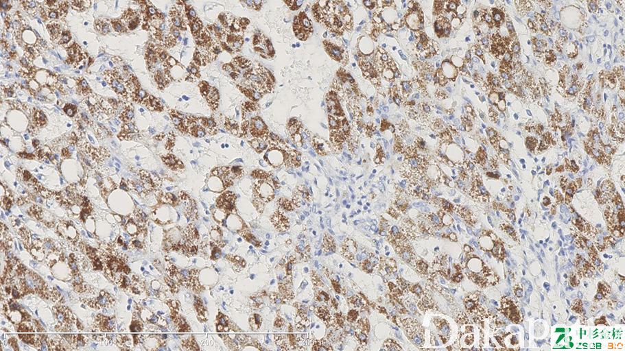
标记正常肝细胞、多数肝癌细胞。HCC 诊断中,HepPar1 是一种具有较高敏感性和特异性的标记物,它的特异性靶点在肝细胞的线粒体,可生产弥漫的颗粒状物质,胞质呈颗粒状。
信号定位: 胞质
在病理学中的应用:
肝细胞癌与胆管癌及转移癌的鉴别诊断;
早期 Barrett 的诊断;
除少数胃肠道来源的肿瘤外,其他肿瘤均(-)。
商品化试剂(排名不分先后,本网站对抗体质量不负责!)
公司 | 克隆号 | 即用型(ml) | 原液(ml) | ||||
中杉金桥 | OCH1E5 | 1.5 | 3 | 6 | / | 0.1 | 0.2 |
在肿瘤中的表达情况:
几乎全部阳性(≥95%的病例阳性): 肝母细胞瘤、肝细胞腺瘤、肝局灶结节增生、肝结节性异型增生、肝透明细胞型肝细胞癌
通常阳性(<95%,≥75%的病例阳性): 肝细胞癌、胃印戒细胞癌、肝纤维板层型肝细胞癌
经常阳性(<75%,≥55%的病例阳性): 胃肝样腺癌
有时阳性(<55%,≥35%的病例阳性): 肝混合性肝细胞胆管癌、卵巢透明细胞癌、小肠腺癌、肝混合性肝细胞胆管细胞癌,肝细胞癌成分
少数阳性(<35%,≥15%的病例阳性): 肝硬化型肝细胞癌、睾丸青春期后型卵黄囊瘤、卵巢黏液性癌、食管腺癌、结直肠黏液性腺癌、胆囊腺癌、结直肠印戒细胞癌、大细胞神经内分泌癌、肝混合性肝细胞胆管细胞癌,胆管癌成分、胃腺癌
偶尔阳性(<15%,≥5%的病例阳性): 结直肠腺癌、恶性黑色素瘤、肾上腺皮质癌、副神经节瘤、膀胱腺癌,非特指型、胆管癌、肝内胆管细胞癌、宫颈腺癌,非特指型、肺腺癌、胰腺导管腺癌
几乎全部阴性(<5%的病例阳性): 黏液性/圆细胞脂肪肉瘤、肾嫌色细胞癌、卵巢子宫内膜样癌、横纹肌肉瘤,NOS、纤维肉瘤、隆突性皮肤纤维肉瘤、平滑肌肉瘤,NOS、神经鞘膜瘤,NOS、血管周细胞瘤、前列腺腺泡性癌、间皮瘤,NOS、宫颈鳞状细胞癌、乳头状肾细胞癌、皮肤基底细胞癌、未分化多形性肉瘤、孤立性纤维性肿瘤、膀胱尿路上皮癌、睾丸混合性生殖细胞肿瘤、肾细胞癌、透明细胞肾细胞癌、子宫内膜间质肉瘤、皮肤纤维瘤、类癌、恶性混合性苗勒管肿瘤、甲状腺髓样癌、甲状腺滤泡性腺瘤、颗粒细胞瘤、甲状腺滤泡性癌、胃泌素瘤、甲状腺乳头状癌、恶性神经鞘瘤、食管鳞状细胞癌、良性胸腺瘤、上皮样血管瘤、淋巴上皮癌、腺泡状软组织肉瘤、涎腺导管腺癌、原始神经外胚层瘤、肾上腺皮脂腺瘤、腺样囊性癌、嗜铬细胞瘤、肺大细胞癌、胃肠道间质瘤、恶性横纹肌样瘤、毛细血管瘤、肾母细胞瘤、血管球瘤、Kaposi 肉瘤、神经母细胞瘤、甲状腺间变性癌、耳鼻喉鳞状细胞癌、神经纤维瘤、淋巴瘤、痣,NOS、卵巢无性细胞瘤、血管肉瘤、血管肌脂肪瘤、胚胎性癌、肺鳞状细胞癌、睾丸精原细胞瘤、阴道鳞状细胞癌、外阴鳞状细胞癌、子宫内膜透明细胞癌、胰腺腺癌、黏膜相关淋巴组织边缘区 B 细胞淋巴瘤、弥漫型腱鞘巨细胞瘤、甲状旁腺腺瘤、间皮瘤,双向分化、子宫内膜腺癌、乳腺 Paget 病、皮肤 Merkel 细胞癌、腺瘤样瘤,NOS、脂肪瘤、乳腺浸润性癌,非特殊类型、甲状腺腺瘤、滑膜肉瘤、肾上腺皮质肿瘤,NOS、卵巢浆液性癌、上皮样肉瘤、肛管鳞状细胞癌、肛管鳞状细胞癌、甲状旁腺癌、髓系白血病、卵巢卵黄囊瘤、阴经鳞状细胞癌、乳腺浸润性小叶癌、平滑肌瘤、宫颈原位鳞状细胞癌、多形性腺瘤、肾嗜酸细胞瘤、神经内分泌肿瘤、乳腺癌伴印戒细胞样细胞分化
← H3K27me3 Galectin-3 →