OCT4

别名: POU5F1, OTF3, OCT3/4、Octamer-binding transcription factor 4
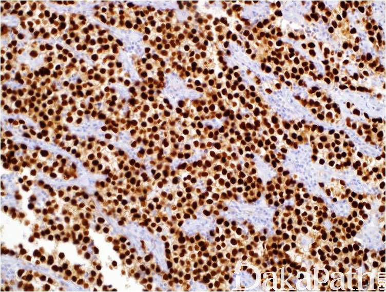
概述:
主要的多潜能及胚胎干细胞调节基因。
信号定位: 细胞核
在病理学中的应用:
精原细胞瘤的诊断;
睾丸原位生殖细胞肿瘤与生精停滞的鉴别诊断。
商品化试剂(排名不分先后,本网站对抗体质量不负责!)
公司 | 克隆号 | 即用型(ml) | 原液(ml) | ||||
中杉金桥 | / | 1.5 | 3 | 6 | / | 0.1 | 0.2 |
安必平 | MRQ-10 | 1.5 | 3 | 6 | / | 0.1 | 0.2 |
在肿瘤中的表达情况:
几乎全部阳性(≥95%的病例阳性): 睾丸混合性生殖细胞肿瘤
经常阳性(<75%,≥55%的病例阳性): 卵巢无性细胞瘤
几乎全部阴性(<5%的病例阳性): 黏液性/圆细胞脂肪肉瘤、肾嫌色细胞癌、卵巢子宫内膜样癌、胰腺上皮内肿瘤、结直肠腺癌、恶性黑色素瘤、横纹肌肉瘤,NOS、纤维肉瘤、隆突性皮肤纤维肉瘤、神经鞘膜瘤,NOS、血管周细胞瘤、前列腺腺泡性癌、间皮瘤,NOS、宫颈鳞状细胞癌、乳头状肾细胞癌、皮肤基底细胞癌、肝细胞癌、膀胱尿路上皮癌、肾上腺皮质癌、肾细胞癌、子宫内膜间质肉瘤、副神经节瘤、类癌、恶性混合性苗勒管肿瘤、甲状腺髓样癌、血管瘤、甲状腺滤泡性癌、胃泌素瘤、髓母细胞瘤,NOS、甲状腺乳头状癌、恶性神经鞘瘤、食管鳞状细胞癌、腺泡状软组织肉瘤、经典型霍奇金淋巴瘤、原始神经外胚层瘤、腺样囊性癌、嗜铬细胞瘤、肺大细胞癌、胃肠道间质瘤、睾丸青春期后型卵黄囊瘤、血管球瘤、涎腺腺泡细胞癌、Kaposi 肉瘤、黏液表皮样癌、耳鼻喉鳞状细胞癌、神经纤维瘤、淋巴瘤、乳腺黏液癌、痣,NOS、血管肉瘤、脑膜瘤,NOS、血管肌脂肪瘤、肺鳞状细胞癌、乳腺良性叶状肿瘤、阴道鳞状细胞癌、卵巢黏液性癌、外阴鳞状细胞癌、食管腺癌、黏膜相关淋巴组织边缘区 B 细胞淋巴瘤、室管膜瘤、嗅神经母细胞瘤、胶质母细胞瘤,NOS、胆囊腺癌、乳腺筛状癌、子宫内膜腺癌、皮肤 Merkel 细胞癌、腺瘤样瘤,NOS、乳腺小管癌、脂肪瘤、乳腺伴大汗腺分化的癌、乳腺浸润性癌,非特殊类型、膀胱鳞状细胞癌、滑膜肉瘤、小肠腺癌、弥漫性纤维型星形细胞瘤、卵巢成人颗粒细胞瘤、肾上腺皮质肿瘤,NOS、宫颈腺癌,非特指型、颅咽管瘤,造釉细胞瘤型、卵巢浆液性癌、上皮样肉瘤、肛管鳞状细胞癌、肛管鳞状细胞癌、甲状旁腺癌、胃腺癌、阴经鳞状细胞癌、乳腺浸润性小叶癌、平滑肌瘤、宫颈原位鳞状细胞癌、多形性腺瘤、乳腺髓样癌、肾嗜酸细胞瘤、肺腺癌、胰腺导管腺癌、颈动脉体瘤