Fascin

概述:
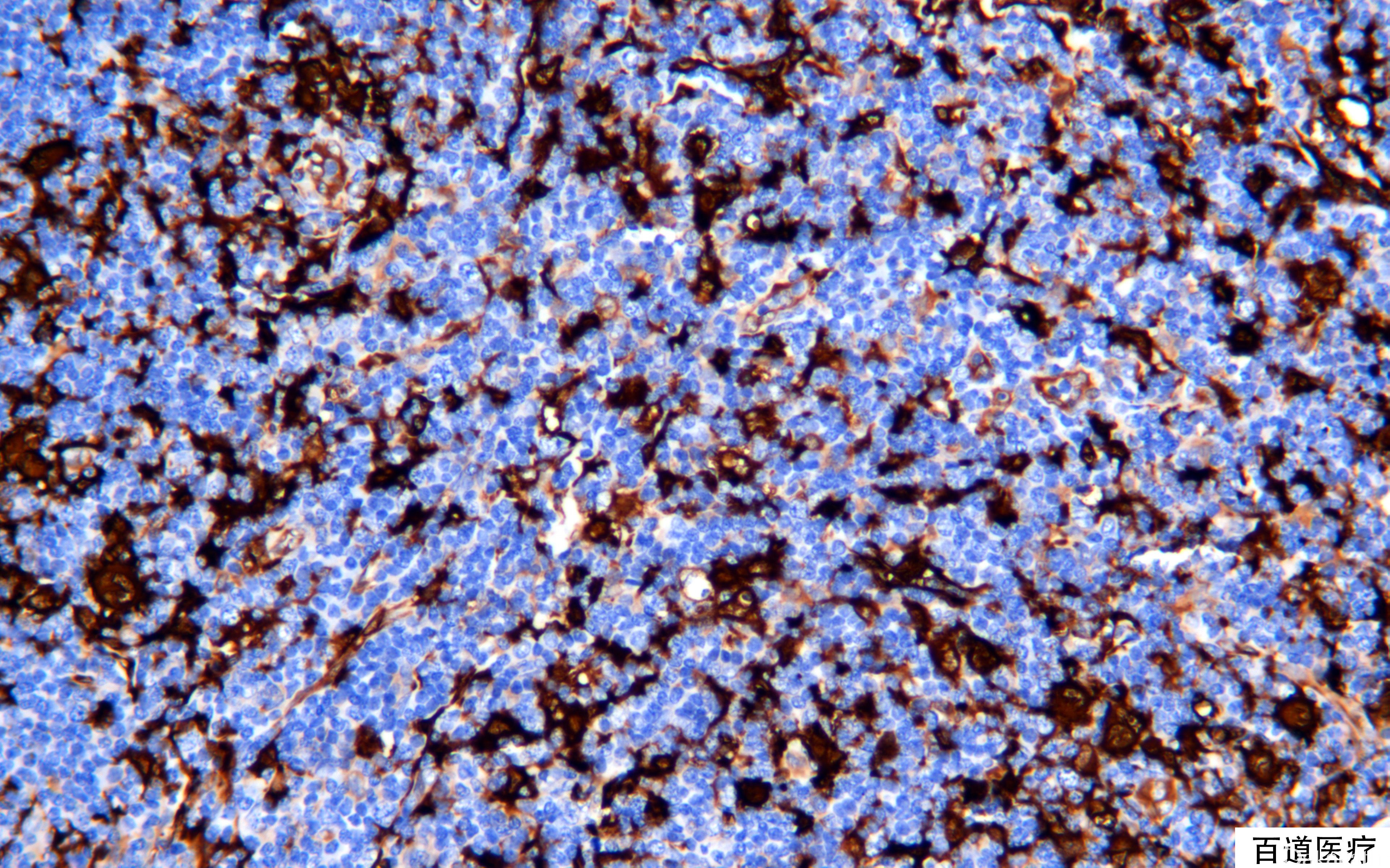
为肌动蛋白结合蛋白,在树突细胞中表达,正常不表达于淋巴细胞、髓样细胞和浆细胞,EB 病毒能诱导B细胞表达该抗原,在 HL 中 RS 细胞阳性。
信号定位: 胞质
在病理学中的应用:
RS 细胞的确定及经典型霍奇金淋巴瘤的诊断;
朗格汉斯细胞组织细胞增生症的诊断。
商品化试剂(排名不分先后,本网站对抗体质量不负责!)
公司 | 克隆号 | 即用型(ml) | 原液(ml) | ||||
基因科技 | 55K-2 | / | 2 | 4 | 7 | / | 0.2 |
赛诺特 | IM20 | 1 | 3 | 6 | / | 0.1 | 0.2 |
中杉金桥 | IM20 | 1.5 | 3 | 6 | / | 0.1 | 0.2 |
福建迈新 | FCN01 | / | / | / | / | / | 0.2 |
在肿瘤中的表达情况:
几乎全部阳性(≥95%的病例阳性): 多形性脂肪肉瘤、组织细胞肉瘤、经典型霍奇金淋巴瘤、非典型性脂肪瘤性肿瘤、去分化脂肪肉瘤、血管肉瘤、胰腺母细胞瘤、幼年性黄色肉芽肿、滑膜肉瘤、胰腺未分化癌伴破骨巨细胞、胰腺导管腺癌
通常阳性(<95%,≥75%的病例阳性): 胰腺导管内乳头状癌、胰腺交界性导管内乳头状瘤、未分化多形性肉瘤、胰腺实性假乳头状肿瘤、滤泡树突状细胞肿瘤、良性胸腺瘤、促结缔组织增生性黑色素瘤、交指状树突状细胞肿瘤、胆管癌
经常阳性(<75%,≥55%的病例阳性): 平滑肌肉瘤,NOS、肝细胞癌、胰腺高级别上皮内瘤变
有时阳性(<55%,≥35%的病例阳性): 胰腺导管内腺瘤、结直肠腺癌、炎性假瘤、血管瘤样恶性纤维组织细胞瘤、宫颈腺癌,非特指型
少数阳性(<35%,≥15%的病例阳性): 弥漫大 B 型大 B 细胞淋巴瘤,非特指型、胰腺腺泡细胞癌、胃肠道间质瘤、胰腺低级别上皮内瘤变
偶尔阳性(<15%,≥5%的病例阳性): 纤维肉瘤、宫颈原位腺癌、胰腺导管内管状乳头状肿瘤
几乎全部阴性(<5%的病例阳性): 恶性外周神经鞘膜瘤、皮肤纤维瘤