Desmin

别名: 结蛋白
概述:
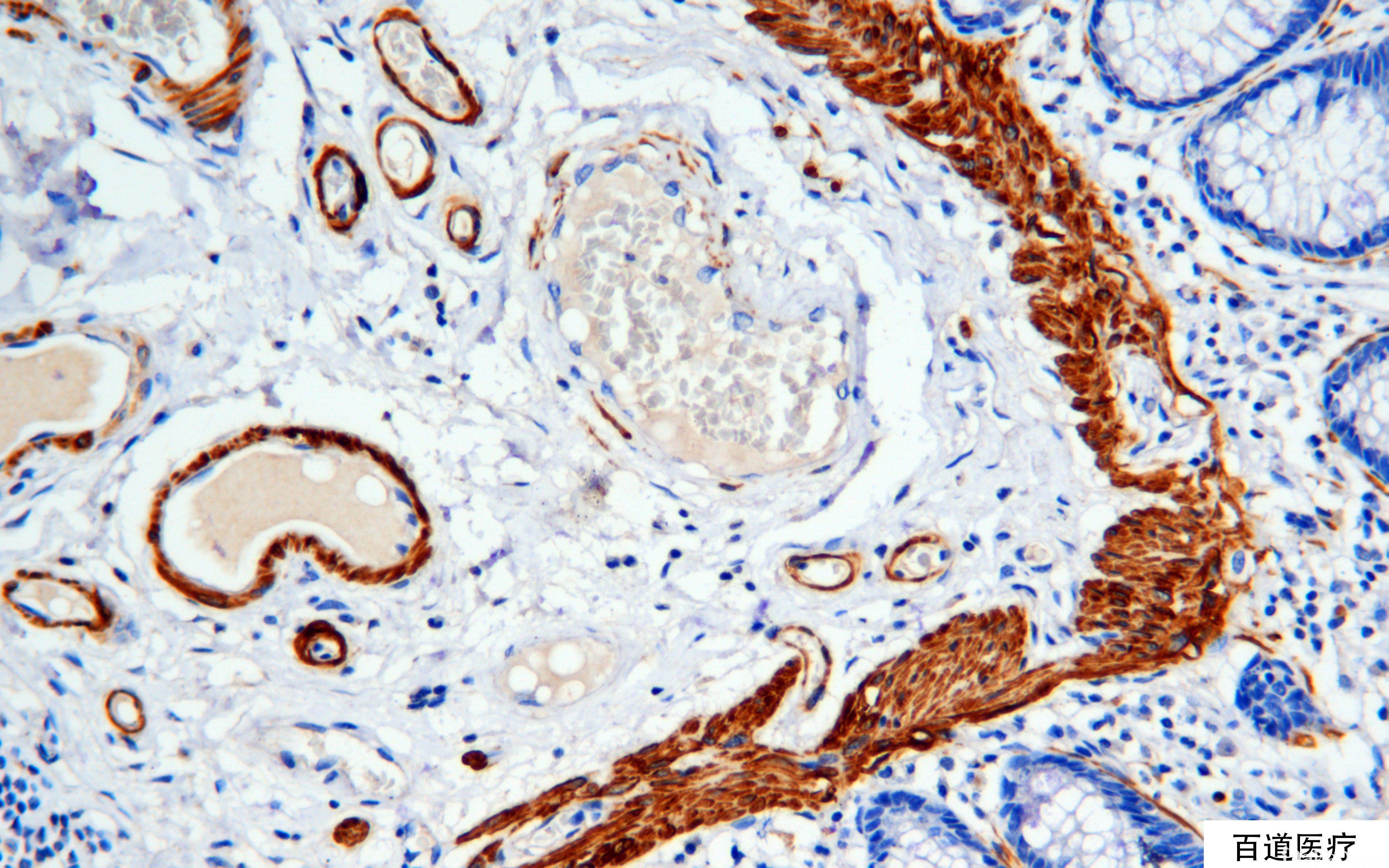
中间丝,在肌小节 Z 线附近,存在于平滑肌、骨骼肌和心肌及其肿瘤。
信号定位: 胞质
在病理学中的应用:
梭形细胞肿瘤的鉴别诊断,确定肌源性肿瘤的标记物(平滑肿瘤及横纹肌肿瘤),但只有月 70%平滑肌肉瘤呈阳性反应;
核旁“逗点状”阳性着色对促结缔组织增生性小圆细胞肿瘤诊断具较好的特异性;
部分具有纤维母细胞成分的肿瘤科表达 Desmin。
商品化试剂(排名不分先后,本网站对抗体质量不负责!)
公司 | 克隆号 | 即用型(ml) | 原液(ml) | ||||
基因科技 | GTM2 | / | 2 | 4 | 7 | / | 0.2 |
D33 | 1 | 2 | 4 | 7 | 0.2 | 1 | |
赛诺特 | D33 | 1 | 3 | 6 | / | 0.1 | 0.2 |
EP15 | |||||||
DE-R-11 | |||||||
中杉金桥 | D33 | 1.5 | 3 | 6 | / | 0.1 | 0.2 |
EP15 | |||||||
安必平 | D33 | 1.5 | 3 | 6 | / | 0.1 | 0.2 |
福建迈新 | D33 | / | 3 | 6 | / | / | / |
在肿瘤中的表达情况:
几乎全部阳性(≥95%的病例阳性): 子宫内膜腺癌,NOS、腺泡状横纹肌肉瘤、葡萄状横纹肌肉瘤、卵巢幼年型粒层细胞瘤、肌脂肪瘤、性索肿瘤伴粒层细胞分化、耳鼻喉神经内分泌癌、睾丸大细胞钙化性支持细胞肿瘤、上皮样横纹肌肉瘤、多形性横纹肌肉瘤、胚胎性横纹肌肉瘤、血管肌瘤、肺母细胞瘤、浅表宫颈阴道肌纤维母细胞瘤、胚胎性横纹肌瘤、平滑肌瘤
通常阳性(<95%,≥75%的病例阳性): 子宫平滑肌肉瘤、横纹肌肉瘤,NOS、子宫类似于卵巢性索肿瘤、炎性肌纤维母细胞瘤、阴道混合瘤、促结缔组织增生性小圆细胞肿瘤、前列腺恶性潜能未定的间质肿瘤、血管肌纤维母细胞瘤、上皮样炎性纤维母细胞肉瘤、卵巢硬化性间质瘤
经常阳性(<75%,≥55%的病例阳性): 血管瘤样纤维组织细胞瘤、平滑肌肉瘤,NOS、子宫内膜间质肿瘤、腹壁韧带样纤维瘤病、肾母细胞瘤、血管周上皮样细胞肿瘤、血管肌脂肪瘤、恶性潜能未定的平滑肌肿瘤、间皮增生、腱鞘巨细胞瘤、子宫外平滑肌肉瘤、浅表血管黏液瘤、淋巴管瘤病,NOS、上皮样肉瘤,横纹肌样特征
有时阳性(<55%,≥35%的病例阳性): 子宫内膜间质肉瘤、非典型性脂肪瘤性肿瘤、卵巢卵泡膜细胞瘤、多形性平滑肌肉瘤、去分化脂肪肉瘤、耳鼻喉鳞状细胞癌、炎性假瘤、卵巢癌肉瘤、子宫癌肉瘤、血管瘤样恶性纤维组织细胞瘤、肺淋巴管平滑肌瘤病、弥漫型腱鞘巨细胞瘤、肌纤维母细胞瘤、黏液瘤,NOS、多形性胶质母细胞瘤、非典型平滑肌瘤、软组织恶性骨化性纤维黏液样肿瘤、肺癌肉瘤
少数阳性(<35%,≥15%的病例阳性): 梭形细胞脂肪肉瘤、中枢性原始神经外胚层瘤、未分化多形性肉瘤、低级别子宫内膜间质肉瘤、支持-间质细胞肿瘤、恶性混合性苗勒管肿瘤、多形性脂肪肉瘤、腺泡状软组织肉瘤、上皮样多形性脂肪肉瘤、腺样囊性癌、膀胱肉瘤样尿路上皮癌、恶性横纹肌样瘤、畸胎性癌肉瘤、血管球瘤、纤维瘤病、间叶性软骨肉瘤、副脊索瘤、胶质肉瘤,胶质成分、横纹肌样瘤、囊性肾瘤-间质、上皮样平滑肌瘤、耳鼻喉梭形细胞癌、性索间质肿瘤、骨外骨肉瘤、软组织骨化性纤维黏液样肿瘤、肌周皮细胞瘤、良性混合性平滑肌-间质肿瘤、多形性腺瘤
偶尔阳性(<15%,≥5%的病例阳性): 肌上皮瘤、透明细胞乳头状肾细胞癌、纤维肉瘤、上皮样间皮瘤、间皮瘤,NOS、孤立性纤维性肿瘤、恶性外周神经鞘膜瘤、皮肤纤维瘤、髓母细胞瘤,NOS、细胞性血管纤维瘤、胃肠道间质瘤、胃肠外间质肿瘤、深部韧带样纤维瘤病、肺肉瘤样癌、小细胞性骨肉瘤、肌纤维瘤、血管母细胞瘤、腺样外周神经鞘瘤、恶性肌上皮瘤、婴幼儿纤维肉瘤、间皮瘤,双向分化、卵巢成人颗粒细胞瘤、脑膜瘤,血管母细胞性、血管外皮细胞瘤、钙化性纤维瘤、神经纤维肉瘤、细胞性纤维组织细胞瘤、乳腺叶状肿瘤,梭形细胞成分
几乎全部阴性(<5%的病例阳性): 黏液性/圆细胞脂肪肉瘤、听神经鞘瘤、硬化性纤维瘤、弥漫大 B 型大 B 细胞淋巴瘤,非特指型、肾细胞癌伴 t(6;11)(p21;q12)、皮肤鳞状细胞癌、真皮肌纤维瘤、囊性肾瘤-囊上皮、恶性黑色素瘤、隆突性皮肤纤维肉瘤、鼻窦腺癌,肠型、神经鞘膜瘤,NOS、血管周细胞瘤、皮肤基底细胞癌、膀胱尿路上皮癌、上皮样血管内皮瘤、肾上腺皮质癌、上皮肌上皮癌、肾细胞癌、Burkitt 淋巴瘤、非典型纤维黄色瘤、神经鞘黏液瘤、梭形细胞鳞状细胞癌、肾细胞癌伴 t(X;17)(p11;q25)、卵巢微囊性间质肿瘤、颗粒细胞瘤、恶性孤立性纤维性肿瘤、血管瘤、肺 NUT 癌、胃泌素瘤、软骨肉瘤、组织细胞肉瘤、滤泡树突状细胞肿瘤、色素性神经鞘瘤细胞瘤、上皮样血管瘤、球旁细胞瘤、星形细胞瘤,高分化、巨细胞血管纤维瘤、胃肠自主神经瘤、促结缔组织增生性黑色素瘤、原始神经外胚层瘤、鼻窦未分化癌、骨外尤文肉瘤、上消化道基底样鳞状细胞癌、肾上腺皮脂腺瘤、上皮样外周神经鞘瘤、上皮样胃肠道间质瘤、肾横纹肌样肾细胞癌,非横纹肌样成分、涎腺导管癌、尤文肉瘤、孤立性浆细胞瘤、黏液恶性纤维组织细胞瘤、神经束膜瘤、低分化滑膜肉瘤、胃肠血管球瘤、梭形和上皮样细胞痣、Kaposi 肉瘤、骨外黏液性软骨肉瘤、神经母细胞瘤、甲状腺间变性癌、滑膜肉瘤,双向型、神经纤维瘤病相关性胃肠道间质瘤、鼻咽癌,角化性、神经纤维瘤、淋巴瘤、鼻血管周细胞瘤、低级别纤维黏液肉瘤、皮内痣、卵巢无性细胞瘤、血管肉瘤、透明细胞肉瘤、脑膜瘤,NOS、结节性筋膜炎、子宫间质结节、急性髓系白血病(M4)、上皮样血管肉瘤、低级别平滑肌肉瘤、骨巨细胞瘤、脊索瘤、交指状树突状细胞肿瘤、视网膜母细胞瘤,NOS、恶性腱鞘巨细胞瘤、巨细胞血管母细胞瘤、软骨样脊索瘤、良性纤维组织细胞瘤、栅栏样包裹性神经瘤、皮肤纤维肉瘤、生殖细胞肿瘤,非胚胎型、肺细胞腺肌上皮瘤,肌上皮成分、肺细胞腺肌上皮瘤,上皮成分、阴茎肉瘤样癌、脊索样胶质瘤、鼻窦腺癌,非肠型、胶质肉瘤,肉瘤成分、树突状细胞神经纤维瘤伴假菊型团、造釉细胞瘤、间变性星形细胞瘤、滑膜肉瘤,单向分化,纤维型、硬化性神经束膜瘤、嗅神经母细胞瘤、黄色瘤、上皮样纤维肉瘤、食管未分化癌、胶质母细胞瘤,NOS、乳腺叶状肿瘤,上皮成分、软骨母细胞瘤,NOS、非典型纤维性组织细胞瘤、皮肤 Merkel 细胞癌、腺瘤样瘤,NOS、喉梭形细胞癌、肺胸区恶性小圆细胞肿瘤、弹力纤维瘤、滑膜肉瘤、心脏黏液瘤、腹膜原发性腺癌、丛状纤维组织细胞瘤、中肾腺瘤、脑膜瘤,分泌性、胶原性纤维瘤、指获得性反应性纤维瘤、胰腺横纹肌样未分化癌、上皮样肉瘤、炎性黏液玻璃样变肿瘤、腱膜钙化性纤维瘤、脂肪母细胞性神经鞘瘤、胰胆管囊腺癌伴间叶性间质,黏液、低分化硬化性脂肪肉瘤、涎腺小管腺瘤、上皮样滋养层细胞肿瘤、先天性颗粒细胞瘤、恶性潜能未定的外周神经鞘瘤、黄色肉芽肿、纤维组织细胞瘤、透明细胞牙源癌、子宫上皮样平滑肌肉瘤、恶性血管周细胞瘤、食管基底样鳞状细胞癌、脑膜瘤,横纹肌样、脑膜瘤,纤维型、脑膜瘤,移行型、骨母细胞瘤、骨骨软骨黏液瘤、支气管黏液腺腺瘤、上皮样纤维组织细胞瘤、横纹肌样多形性胶质母细胞瘤、上皮样多形性胶质母细胞瘤、骨外间叶性软骨肉瘤、黏液性神经纤维瘤、恶性血管球瘤、十二指肠间质肿瘤、肢端浅表纤维黏液瘤、环状肉芽肿、透明细胞肌黑色素瘤、颈动脉体瘤、颈静脉体瘤、青春期外阴纤维瘤、色素性神经纤维瘤