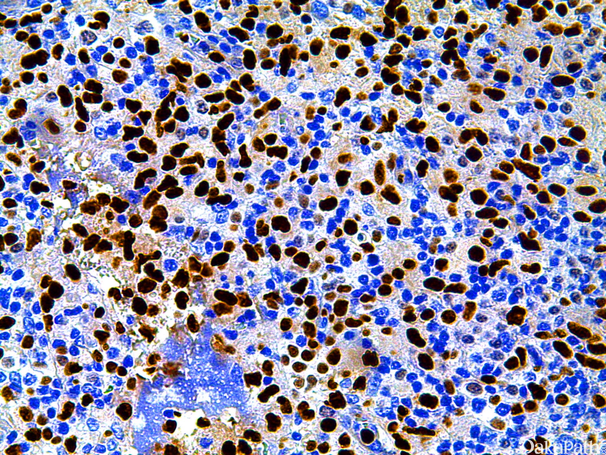
PU.1

别名: G148-74
概述:
转录因子,通过调节细胞因子及免疫球蛋白的表达在淋巴细胞、髓系细胞发育中起关键作用。
信号定位: 胞核
在病理学中的应用:
结节性淋巴细胞为主型霍奇金淋巴瘤(常阳性)与经典型霍奇金淋巴瘤(阴性)的鉴别诊断;
B 淋巴母细胞白血病/淋巴瘤与纵膈大 B 细胞淋巴瘤的敏感指标。
商品化试剂(排名不分先后,本网站对抗体质量不负责!)
公司 | 克隆号 | 即用型(ml) | 原液(ml) | ||||
安必平 | EPR3158Y | 1.5 | 3 | 6 | / | 0.1 | 0.2 |
在肿瘤中的表达情况:
几乎全部阳性(≥95%的病例阳性): 滤泡性淋巴瘤 I 级、B 淋巴母细胞白血病/淋巴瘤、边缘区 B 细胞淋巴瘤、套细胞淋巴瘤、组织细胞/树突状细胞肉瘤、纵膈大 B 细胞淋巴瘤
通常阳性(<95%,≥75%的病例阳性): T 淋巴母细胞白血病/淋巴瘤、Burkitt 淋巴瘤、特征介于弥漫大 B 细胞淋巴瘤和经典型霍奇金淋巴瘤之间的未分类 B 细胞淋巴瘤
经常阳性(<75%,≥55%的病例阳性): 结节性淋巴细胞为主型霍奇金淋巴瘤
有时阳性(<55%,≥35%的病例阳性): 弥漫大 B 型大 B 细胞淋巴瘤,非特指型
几乎全部阴性(<5%的病例阳性): 经典型霍奇金淋巴瘤、淋巴细胞消减型经典型霍奇金淋巴瘤、混合细胞型经典型霍奇金淋巴瘤、结节硬化型经典型霍奇金淋巴瘤