SOX2

别名: SRY (sex determining region Y);ANOP3
概述:
转录因子,SOX 区域 Y 蛋白家族成员之一,在器官早期发育中起重要作用。
信号定位: 胞核
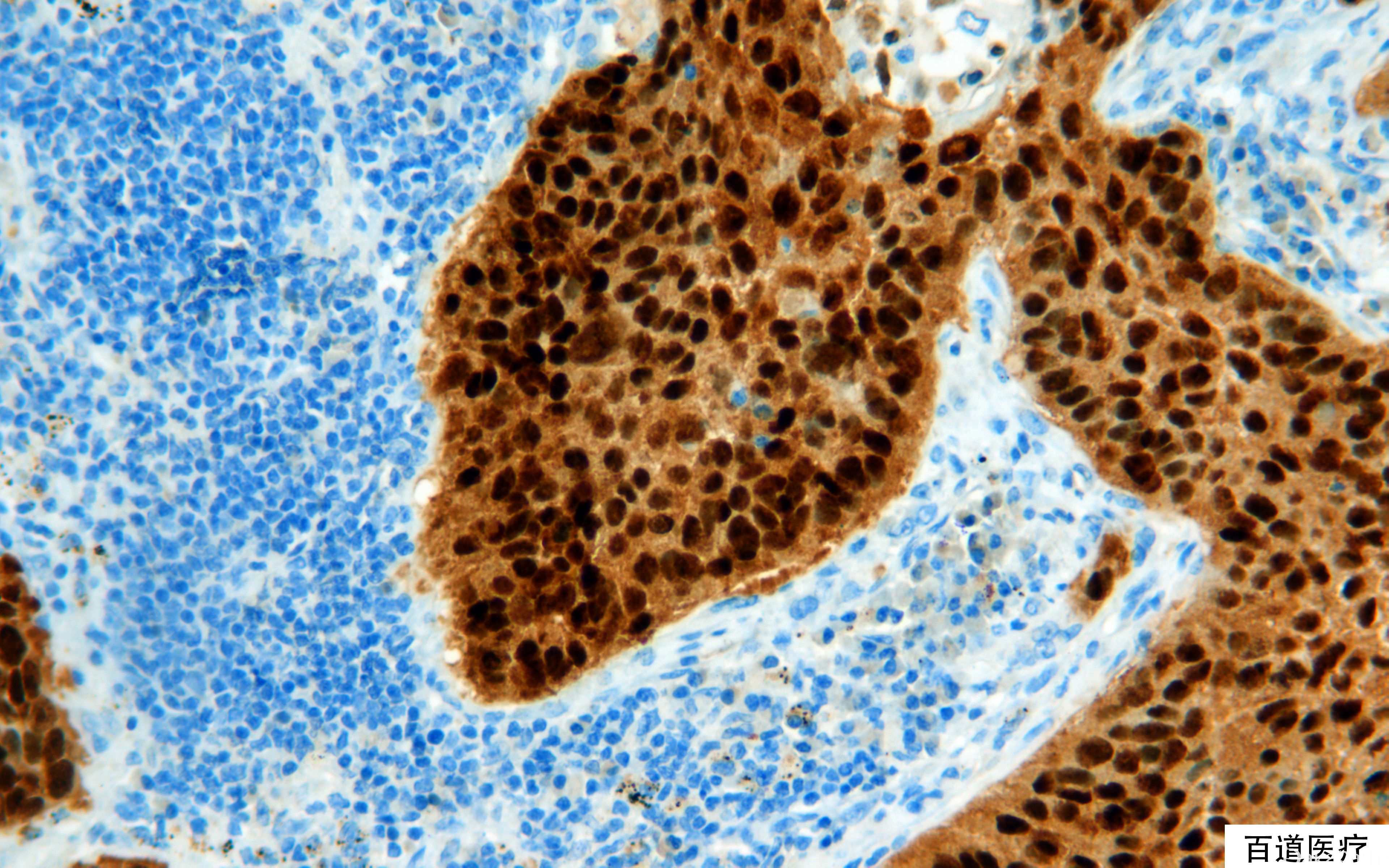
在病理学中的应用:
辅助生殖细胞肿瘤的鉴别诊断.90%的胚胎性癌表达 SOX2,而精原细胞瘤、卵黄囊瘤及绒毛膜癌不表达。
商品化试剂(排名不分先后,本网站对抗体质量不负责!)
公司 | 克隆号 | 即用型(ml) | 原液(ml) | ||||
基因科技 | SP76 | / | 2 | 4 | 7 | / | 0.2 |
中杉金桥 | EP103 | 1.5 | 3 | 6 | / | 0.1 | 0.2 |
安必平 | SP76 | 1.5 | 3 | 6 | / | 0.1 | 0.2 |
在肿瘤中的表达情况:
几乎全部阳性(≥95%的病例阳性): 细胞性神经鞘瘤
通常阳性(<95%,≥75%的病例阳性): 恶性外周神经鞘膜瘤、卵巢不成熟畸胎瘤、胚胎性癌、肺鳞状细胞癌、卵巢黏液性癌、基底样鳞状细胞癌、卵巢浆液性交界性肿瘤/非典型增生性浆液性肿瘤、卵巢浆液性癌、肺大细胞神经内分泌癌、肺小细胞癌、肺腺癌
经常阳性(<75%,≥55%的病例阳性): 恶性黑色素瘤、肺大细胞癌、卵巢黏液性交界性肿瘤/非典型增生性黏液性肿瘤、卵巢无性细胞瘤、卵巢黏液性囊腺瘤、卵巢浆液性囊腺瘤
有时阳性(<55%,≥35%的病例阳性): 结直肠腺癌、睾丸青春期后型畸胎瘤
少数阳性(<35%,≥15%的病例阳性): 恶性横纹肌样瘤、非典型畸胎瘤样横纹肌样瘤、肺类癌
偶尔阳性(<15%,≥5%的病例阳性): 痣,NOS
几乎全部阴性(<5%的病例阳性): 弥漫大 B 型大 B 细胞淋巴瘤,非特指型、皮肤基底细胞癌、子宫内膜绒毛膜癌、睾丸精母细胞性肿瘤、经典型霍奇金淋巴瘤、睾丸青春期后型卵黄囊瘤、纵膈精原细胞瘤、睾丸原位生殖细胞瘤、睾丸精原细胞瘤、间变性大细胞淋巴瘤