VILLIN

别名: 绒毛蛋白
概述:
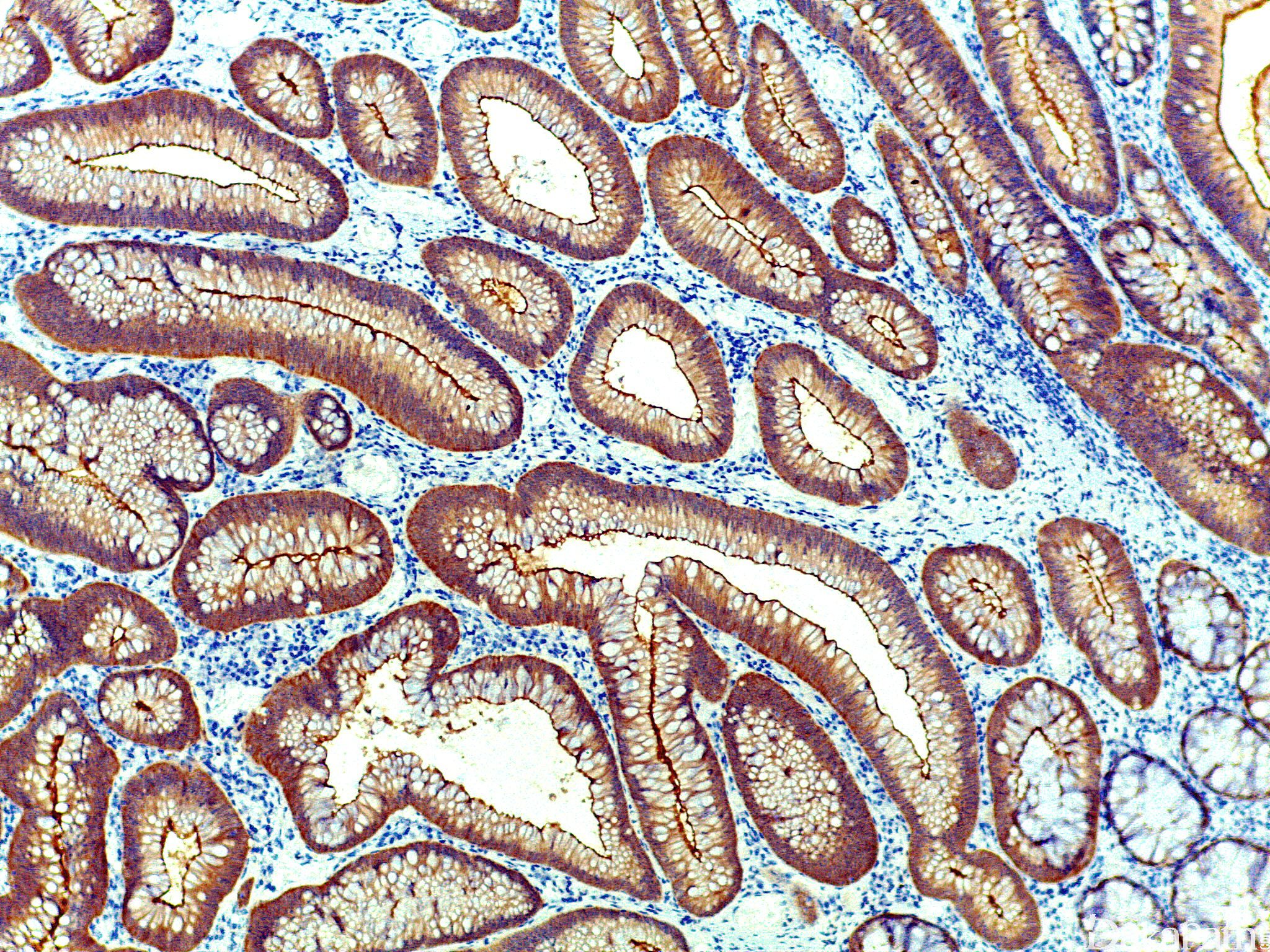
绒毛蛋白是一种分子量为 95KD 的细胞骨架蛋白,为肌动蛋白结合蛋白,存在于常微绒毛细胞骨架,对保持刷状缘组织结构具有关键作用。正常分布于肠上皮和肾近曲小管上皮,可用于肠上皮来源肿瘤与非肠上皮肿瘤的鉴别诊断,亦可作为胃肠道神经内分泌肿瘤诊断的参考指标。
信号定位: 胞质、胞膜
在病理学中的应用:
- 膀胱腺癌与结直肠癌的鉴别诊断;
- 结直肠癌与卵巢癌的鉴别诊断;
- 与 CDX2 联合用于转移癌原发部位的推断。CDX2-Villin-:基本排除胃肠道来源;CDX2 + Villin +:胃肠道来源;CDX2+++Villin-:结肠来源可能性大。
商品化试剂(排名不分先后,本网站对抗体质量不负责!)
公司 | 克隆号 | 即用型(ml) | 原液(ml) | ||||
基因科技 | CWWB1 | 1 | 2 | 4 | 7 | 0.2 | 1 |
中杉金桥 | OTI3B3 | 1.5 | 3 | 6 | / | 0.1 | 0.2 |
EP163 | |||||||
安必平 | CWWB1 | 1.5 | 3 | 6 | / | 0.1 | 0.2 |
福建迈新 | CWWB1 | 1.5 | 3 | 6 | / | / | 0.2 |
在肿瘤中的表达情况:
几乎全部阳性(≥95%的病例阳性): 胃印戒细胞癌、结直肠黏液性腺癌、肝内胆管细胞癌、结直肠印戒细胞癌
通常阳性(<95%,≥75%的病例阳性): 结直肠腺癌、鼻窦腺癌,肠型、食管腺癌
经常阳性(<75%,≥55%的病例阳性): 卵巢黏液性癌、膀胱腺癌,非特指型、小肠腺癌、胆囊胆管型癌
有时阳性(<55%,≥35%的病例阳性): 胆管癌、胃腺癌、胰腺导管腺癌
少数阳性(<35%,≥15%的病例阳性): 肝细胞癌、类癌、肺印戒细胞癌、肺腺癌、乳腺癌伴印戒细胞样细胞分化
偶尔阳性(<15%,≥5%的病例阳性): 肺贴壁型腺癌、肺贴壁型腺癌,黏液性、结直肠淋巴上皮瘤样癌
几乎全部阴性(<5%的病例阳性): 皮肤鳞状细胞癌、间皮瘤,NOS、宫颈鳞状细胞癌、膀胱尿路上皮癌、肾细胞癌、乳腺导管原位癌、涎腺导管腺癌、卵巢黏液性交界性肿瘤/非典型增生性黏液性肿瘤、耳鼻喉鳞状细胞癌、肺鳞状细胞癌、阴道鳞状细胞癌、卵巢黏液性囊腺瘤、外阴鳞状细胞癌、乳腺浸润性癌,非特殊类型、膀胱鳞状细胞癌、肺浸润性黏液腺癌、肛管鳞状细胞癌、肛管鳞状细胞癌、直肠鳞状细胞癌、阴经鳞状细胞癌、肾集合管癌、多形性腺瘤