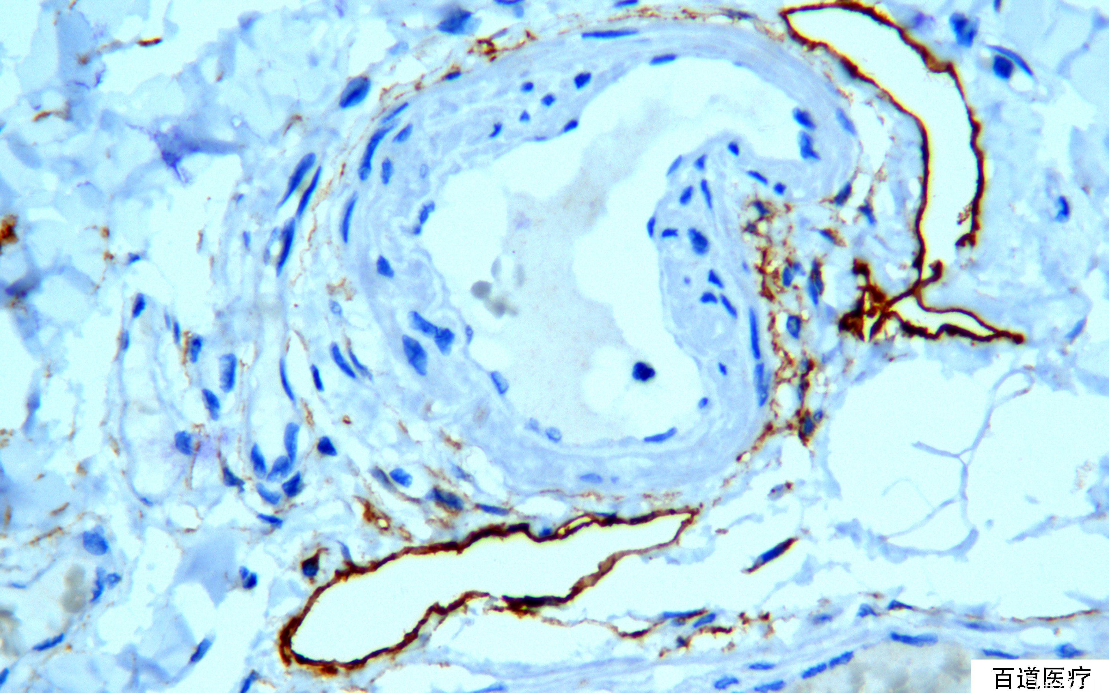
Podoplanin

别名: D2-40;M2A
概述:
膜黏蛋白,标记淋巴管内皮细胞而不标记血管内皮细胞
信号定位: 胞质
在病理学中的应用:
确定淋巴管内癌栓,与血管内癌栓鉴别;
间皮瘤与腺癌的鉴别。
商品化试剂(排名不分先后,本网站对抗体质量不负责!)
公司 | 克隆号 | 即用型(ml) | 原液(ml) | ||||
安必平 | D2-40 | 1.5 | 3 | 6 | / | 0.1 | 0.2 |
在肿瘤中的表达情况:
几乎全部阳性(≥95%的病例阳性): 血管内皮细胞瘤,Kaposi 型、脉络丛癌、皮肤鳞状细胞癌、皮脂腺腺癌、皮肤纤维瘤、滤泡树突状细胞肿瘤、Kaposi 肉瘤、黏液表皮样癌、睾丸原位生殖细胞瘤、脑膜瘤,NOS、睾丸精原细胞瘤、间皮增生、腱鞘巨细胞瘤、黏液性软骨肉瘤、淋巴管瘤、室管膜瘤、松果体生殖细胞瘤、胶质母细胞瘤,NOS、低级别软骨肉瘤、软骨瘤,NOS、脉络丛乳头状瘤,NOS、腺瘤样瘤,NOS、内生性软骨瘤、颅咽管瘤,造釉细胞瘤型、室管膜母细胞瘤、多形性腺瘤、获得性簇状血管瘤
通常阳性(<95%,≥75%的病例阳性): 鞋钉样血管瘤、上皮样间皮瘤、间皮瘤,NOS、乳腺导管原位癌、软骨肉瘤、腺样囊性癌、脊索样胶质瘤、间皮瘤,双向分化、脑膜瘤,脊索样、恶性毛根鞘瘤
经常阳性(<75%,≥55%的病例阳性): 微囊性附属器癌、上皮样血管内皮瘤、滑膜肉瘤,双向型、血管肉瘤、汗腺透明细胞腺癌、上皮样肉瘤
有时阳性(<55%,≥35%的病例阳性): 宫颈鳞状细胞癌、乳头状肾细胞癌、睾丸混合性生殖细胞肿瘤、髓母细胞瘤,NOS、耳鼻喉鳞状细胞癌、胚胎性癌、皮肤 Merkel 细胞癌、皮肤小汗腺腺癌、汗腺癌
少数阳性(<35%,≥15%的病例阳性): 组织细胞肉瘤、炎性假瘤、肺鳞状细胞癌、肺肉瘤样癌、乳腺浸润性癌,非特殊类型、小汗腺汗孔癌、弥漫性纤维型星形细胞瘤、卵巢浆液性癌
偶尔阳性(<15%,≥5%的病例阳性): 平滑肌肉瘤,NOS、皮肤基底细胞癌、恶性外周神经鞘膜瘤、胃肠道间质瘤、睾丸青春期后型卵黄囊瘤、滑膜肉瘤,单向分化、滑膜肉瘤
几乎全部阴性(<5%的病例阳性): 肾嫌色细胞癌、血管内皮瘤,NOS、疣状血管瘤、弥漫大 B 型大 B 细胞淋巴瘤,非特指型、结直肠腺癌、隆突性皮肤纤维肉瘤、血管周细胞瘤、前列腺腺泡性癌、肝细胞癌、膀胱尿路上皮癌、肾细胞癌、子宫内膜绒毛膜癌、血管瘤、海绵状血管瘤、涎腺导管腺癌、毛细血管瘤、尤文肉瘤、血管球瘤、涎腺腺泡细胞癌、乳腺浸润性微乳头状癌、骨外黏液性软骨肉瘤、淋巴瘤、血管肌脂肪瘤、胰腺腺癌、脊索瘤、交指状树突状细胞肿瘤、皮肤黏液癌、胆管癌、子宫内膜腺癌、乳腺外 Paget 病、乳腺 Paget 病、皮肤大汗腺腺癌、甲状腺腺瘤、多形性胶质母细胞瘤、宫颈腺癌,非特指型、卵巢卵黄囊瘤、胃腺癌、胆囊上皮内瘤变 III 级、普通型婴幼儿血管瘤
← PKC-theta Osteocalcin →