Calponin

别名: CALP,钙调蛋白
概述:
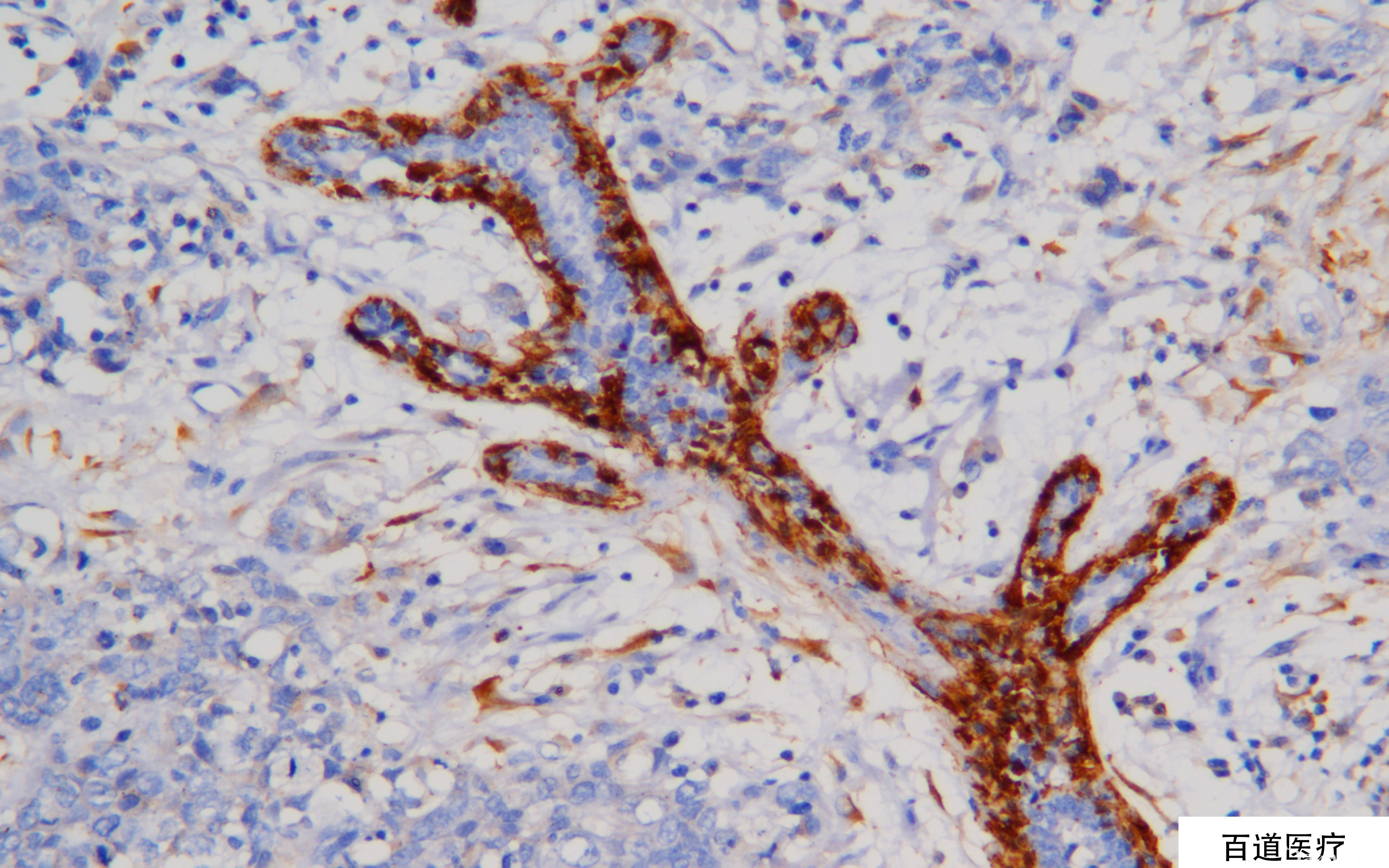
结合肌球蛋白和 F-肌动蛋白的一种钙调蛋白,与平滑肌细胞收缩和调节有关。为平滑肌特异性蛋白,表达于平滑肌及肌上皮细胞胞质。用于标记乳腺肌上皮及平滑肌细胞肿瘤。肌纤维母细胞也可阳性。
信号定位: 胞浆
在病理学中的应用:
确定乳腺肌上皮细胞存在与否;
鉴别乳腺棘球小体病与腺样囊性癌;
平滑肌源性肿瘤的诊断。
商品化试剂(排名不分先后,本网站对抗体质量不负责!)
公司 | 克隆号 | 即用型(ml) | 原液(ml) | ||||
基因科技 | CALP | 1 | 2 | 4 | 7 | / | 0.2 |
赛诺特 | CALP | 1 | 3 | 6 | / | 0.1 | 0.2 |
中杉金桥 | CALP | 1.5 | 3 | 6 | / | 0.1 | 0.2 |
EP63 | |||||||
福建迈新 | CALP | 1.5 | 3 | 6 | / | / | 0.2 |
基因科技 | CALP | 1 | 2 | 4 | 7 | / | 0.2 |
在肿瘤中的表达情况:
几乎全部阳性(≥95%的病例阳性): 乳腺导管原位癌、乳腺胶原小体病、腺样囊性癌、基底细胞腺瘤、血管肌脂肪瘤、肺细胞腺肌上皮瘤,肌上皮成分、恶性肌上皮瘤、上皮样平滑肌瘤、平滑肌瘤、多形性腺瘤
通常阳性(<95%,≥75%的病例阳性): 肌上皮瘤、真皮肌纤维瘤、子宫平滑肌肉瘤、平滑肌肉瘤,NOS、血管球瘤、胃肠血管球瘤、炎性假瘤、血管瘤样恶性纤维组织细胞瘤、神经鞘黏液瘤,细胞型和混合性、子宫外平滑肌肉瘤、乳腺包裹性乳头状癌
经常阳性(<75%,≥55%的病例阳性): 肌上皮癌、子宫内膜间质肉瘤、多形性平滑肌肉瘤、滑膜肉瘤,单向分化、去分化脂肪肉瘤、深部韧带样纤维瘤病、结节性筋膜炎、皮脂腺上皮肌上皮癌、上皮肌上皮癌,肌上皮成分
有时阳性(<55%,≥35%的病例阳性): 皮肤基底细胞癌、未分化多形性肉瘤、上皮肌上皮癌、神经鞘黏液瘤、涎腺腺淋巴瘤、涎腺小管腺瘤
少数阳性(<35%,≥15%的病例阳性): 血管周细胞瘤、孤立性纤维性肿瘤、上皮样胃肠道间质瘤、胃肠道间质瘤、皮肤纤维肉瘤
几乎全部阴性(<5%的病例阳性): 神经鞘膜瘤,NOS、膀胱尿路上皮癌、恶性外周神经鞘膜瘤、肾细胞癌、涎腺导管腺癌、尤文肉瘤、涎腺嗜酸细胞瘤、涎腺腺泡细胞癌、血管周上皮样细胞肿瘤、乳腺腺样囊性癌、涎腺透明细胞腺癌、涎腺类似于乳腺的分泌性癌、肺细胞腺肌上皮瘤,上皮成分、上皮肌上皮癌,上皮成分、乳腺浸润性癌,非特殊类型、滑膜肉瘤、前列腺基底细胞增生、丛状纤维组织细胞瘤、鼻窦腺癌,NOS、涎腺鳞状细胞癌、内翻性乳头状瘤、黏液表皮样癌,低级别