CD3

别名: OKT3
概述:
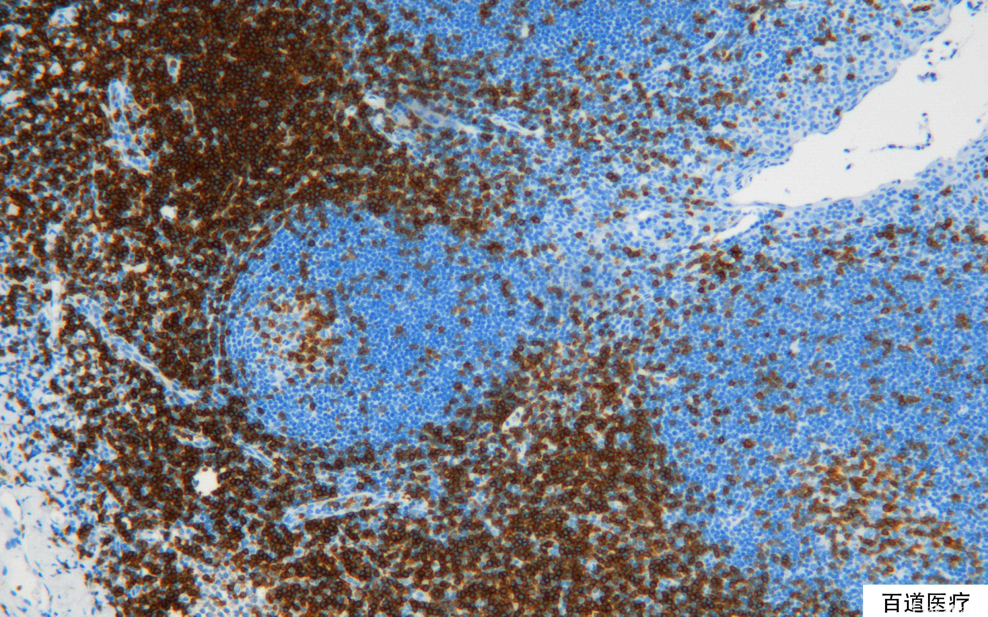
全 T 细胞标记,免疫球蛋白超家族成员,识别 T 细胞的常用抗体,由 delt、epsilon、gamma、zeta 等链组成的复合体。
信号定位: 胞膜、胞浆
在病理学中的应用:
T 细胞淋巴瘤的诊断,为 T 细胞最特异的抗体。
- Most specific T cell antibody; usually to identify T cells in benign and malignant disorders; most antibodies are directed against epsilon chain
- CD3 / CD20 immunostains are often performed in initial cytological evaluation of lymphoid-rich pleural effusions, but their cost-effectiveness has been questioned (Diagn Cytopathol 2012;40:565)
- Does NOT improve detection of gluten sensitive enteropathy when H&E sections are normal.(Mod Pathol 2013;26:1241)
商品化试剂(排名不分先后,本网站对抗体质量不负责!)
公司 | 克隆号 | 即用型(ml) | 原液(ml) | ||||
基因科技 | LN10 | 1 | 2 | 4 | 7 | / | 0.2 |
SP7 | / | 2 | 4 | 7 | / | 0.2 | |
poly | |||||||
赛诺特 | LN10 | 1 | 3 | 6 | / | 0.1 | 0.2 |
MRQ-39 | |||||||
中杉金桥 | LN10 | 1.5 | 3 | 6 | / | 0.1 | 0.2 |
EP41 | |||||||
安必平 | MRQ-39 | 1.5 | 3 | 6 | / | 0.1 | 0.2 |
福建迈新 | SP7 | / | 3 | 6 | / | / | / |
在肿瘤中的表达情况:
几乎全部阳性(≥95%的病例阳性): 间变性室管膜瘤、T 淋巴母细胞白血病/淋巴瘤、儿童 NK/T 细胞淋巴瘤,EBV+、外周 T 细胞淋巴瘤、种痘水疱病样 T 细胞淋巴瘤
通常阳性(<95%,≥75%的病例阳性): 淋巴瘤样丘疹病、T 细胞淋巴瘤、结外 NK/T 细胞淋巴瘤,鼻型、皮下脂膜炎样 T 细胞淋巴瘤、肠病相关 T 细胞淋巴瘤、T 细胞大颗粒淋巴细胞白血病、T 细胞淋巴瘤,Gamma/Delta
经常阳性(<75%,≥55%的病例阳性): 多形性胶质母细胞瘤、NK 细胞淋巴瘤
有时阳性(<55%,≥35%的病例阳性): 间变性星形细胞瘤
少数阳性(<35%,≥15%的病例阳性): 混合性少突-星形细胞瘤、原发性渗出性淋巴瘤,HHV-8 相关
偶尔阳性(<15%,≥5%的病例阳性): 经典型霍奇金淋巴瘤、结节硬化型经典型霍奇金淋巴瘤
几乎全部阴性(<5%的病例阳性): 急性髓系白血病,NOS、原发性皮肤大 B 细胞淋巴瘤,腿型、弥漫大 B 型大 B 细胞淋巴瘤,非特指型、结直肠腺癌、恶性黑色素瘤、弥漫大 B 细胞淋巴瘤,c-myc 重排、横纹肌肉瘤,NOS、母细胞性浆细胞样树突状细胞肿瘤、前列腺腺泡性癌、间皮瘤,NOS、皮肤基底细胞癌、肝细胞癌、膀胱尿路上皮癌、弥漫大 B 细胞淋巴瘤,生发中心细胞来源、恶性外周神经鞘膜瘤、睾丸混合性生殖细胞肿瘤、滤泡性淋巴瘤、滤泡性淋巴瘤 I 级、肾细胞癌、B 淋巴母细胞白血病/淋巴瘤、皮肤纤维瘤、Burkitt 淋巴瘤、类癌、甲状腺髓样癌、甲状腺滤泡性腺瘤、甲状腺乳头状癌、组织细胞肉瘤、滤泡树突状细胞肿瘤、化生性胸腺瘤,梭形细胞成分、胸腺化生性胸腺瘤,上皮成分、腺泡状软组织肉瘤、涎腺导管腺癌、毛细胞白血病、尤文肉瘤、孤立性浆细胞瘤、急性髓系白血病(M2)、促结缔组织增生性小圆细胞肿瘤、骨外黏液性软骨肉瘤、淋巴瘤、血管肉瘤、透明细胞肉瘤、套细胞淋巴瘤,母细胞型、急性髓系白血病(M5)、急性髓系白血病(M4)、结节性淋巴细胞为主型霍奇金淋巴瘤、间叶性软骨肉瘤、小细胞性骨肉瘤、交指状树突状细胞肿瘤、生殖细胞肿瘤,非胚胎型、脾脏边缘区淋巴瘤、黏膜相关淋巴组织边缘区 B 细胞淋巴瘤、弥漫大 B 细胞淋巴瘤,非生发中心来源、边缘区 B 细胞淋巴瘤、套细胞淋巴瘤、嗅神经母细胞瘤、食管未分化癌、胆管癌、子宫内膜腺癌、软骨母细胞瘤,NOS、皮肤 Merkel 细胞癌、乳腺浸润性癌,非特殊类型、滑膜肉瘤、T 细胞/组织细胞丰富型大 B 细胞淋巴瘤、肾上腺皮质肿瘤,NOS、急性巨核细胞白血病、急性髓系白血病(M6)、淋巴细胞消减型经典型霍奇金淋巴瘤、急性髓系白血病(M3)、混合细胞型经典型霍奇金淋巴瘤、上皮样肉瘤、血管内大 B 细胞淋巴瘤、胃腺癌、急性髓系白血病(M1)、急性白血病,混合表型、急性嗜碱粒细胞白血病、淋巴瘤样肉芽肿、慢性嗜酸细胞白血病、浆母细胞性淋巴瘤、肺腺癌、神经内分泌肿瘤、胰腺导管腺癌