CK20

别名: Cytokeratin 20 (CK20, K20)
概述:
分子量为 46kD。部分胃、几乎全部肠道腺癌(+)、尿路上皮细胞癌可(+)、 Merkel 细胞癌等(+),需与 CK7 参照。
信号定位: 胞质
在病理学中的应用:
与 CK7 联合使用用于转移癌原发部位的鉴别诊断;
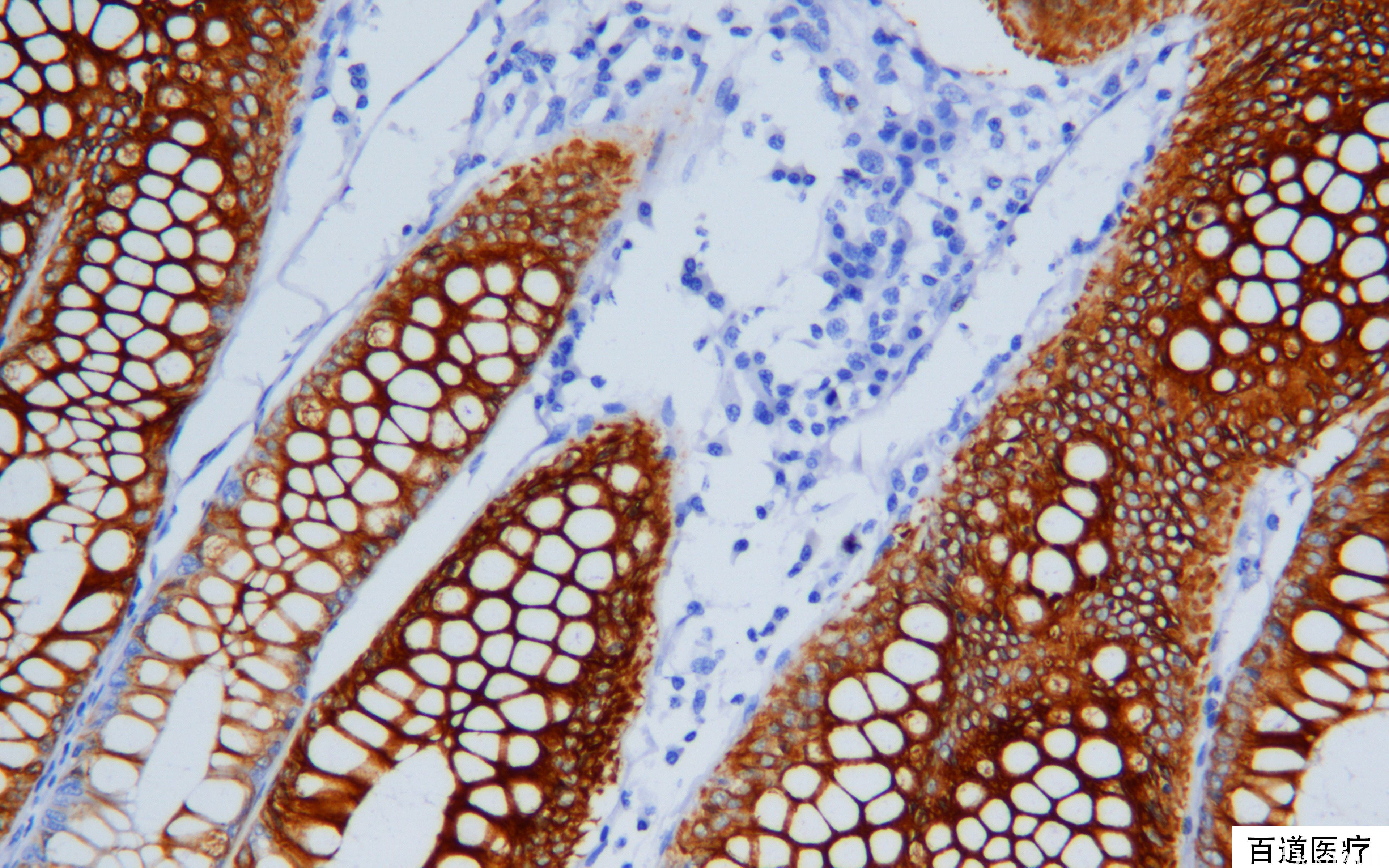
尿路上皮原位癌(深部细胞阳性)与反应性尿路上皮增生(仅表面细胞阳性)的鉴别;
Merkel 细胞癌的诊断。
商品化试剂(排名不分先后,本网站对抗体质量不负责!)
公司 | 克隆号 | 即用型(ml) | 原液(ml) | ||||
基因科技 | Ks 20.8 | 1 | 2 | 4 | 7 | / | 0.2 |
赛诺特 | Ks 20.8 | 1 | 3 | 6 | / | 0.1 | 0.2 |
中杉金桥 | Ks 20.8 | 1.5 | 3 | 6 | / | 0.1 | 0.2 |
EP23 | |||||||
安必平 | Ks 20.8 | 1.5 | 3 | 6 | / | 0.1 | 0.2 |
在肿瘤中的表达情况:
几乎全部阳性(≥95%的病例阳性): 阑尾腺癌、结直肠黏液性腺癌、睾丸浆液性囊腺瘤、脐尿管黏液性囊腺瘤、脐尿管低度恶性潜能未定的黏液性囊性肿瘤、膀胱黏液性癌、壶腹腺瘤、十二指肠腺瘤,非壶腹部
通常阳性(<95%,≥75%的病例阳性): 结直肠腺癌、鼻窦腺癌,肠型、壶腹腺癌,肠型、卵巢黏液性交界性肿瘤/非典型增生性黏液性肿瘤、膀胱浸润性尿路上皮癌、皮肤 Merkel 细胞癌、前列腺产黏液腺癌,尿路上皮型、结直肠印戒细胞癌、肛管腺癌、肛周 Paget 病
经常阳性(<75%,≥55%的病例阳性): 胰腺及壶腹腺癌、胰腺腺癌,肠型、胸腺黏液表皮样癌、膀胱尿路上皮癌、膀胱原位尿路上皮癌、胰腺黏液性囊性肿瘤、卵巢非小细胞神经内分泌癌、阑尾囊腺瘤、膀胱透明细胞癌、胃印戒细胞癌、卵巢黏液性癌、肺贴壁型腺癌,黏液非黏液混合性、膀胱腺癌,非特指型、食管未分化癌、胰腺黏液性囊腺癌、软骨母细胞瘤,NOS、肺贴壁型腺癌,黏液性、小肠腺癌、胃黏液腺癌、巢状尿路上皮癌、淋巴瘤样或浆细胞样尿路上皮癌、胆囊腺瘤、肛周 Paget 病伴直肠腺癌、小汗腺圆柱瘤
有时阳性(<55%,≥35%的病例阳性): 胰腺导管内乳头状肿瘤、涎腺导管腺癌、食管腺癌、耳鼻喉神经内分泌癌、壶腹神经内分泌癌,高级别、壶腹腺癌、胆管癌、胆道腺瘤、乳腺伴大汗腺分化的癌、肺浸润性黏液腺癌、混合性锯齿状和腺瘤性息肉、胃肝样腺癌、胃腺癌、壶腹印戒细胞癌、阑尾印戒细胞癌、胰腺导管腺癌
少数阳性(<35%,≥15%的病例阳性): 胃腺癌,远端、前列腺腺泡性癌、类癌、阴道混合瘤、肝混合性肝细胞胆管癌、卵巢低级别浆液性癌、卵巢黏液性囊腺瘤、肝外胆管癌、宫颈子宫内膜样癌、胰腺腺癌、涎腺黏液性腺癌、透明细胞软骨肉瘤、肾髓质癌、胰腺腺鳞癌、胆囊腺癌、乳腺外 Paget 病、胰胆管腺癌、壶腹黏液性腺癌、子宫内膜浆液性癌、宫颈腺癌,肠型、尿路上皮癌、肺肠型腺癌、胆管内乳头状-管状肿瘤、结直肠淋巴上皮瘤样癌、肾嗜酸细胞瘤、乳腺圆柱瘤
偶尔阳性(<15%,≥5%的病例阳性): 肝细胞癌、乳腺导管原位癌、腺样囊性癌、肺大细胞癌、膀胱肉瘤样尿路上皮癌、耵聍腺腺瘤、黏液表皮样癌、肺鳞状细胞癌、壶腹腺癌,胰胆管型、胰腺导管内乳头状黏液性肿瘤、脊索瘤、腺样基底细胞癌、子宫内膜腺癌、脉络丛乳头状瘤,NOS、膀胱鳞状细胞癌、涎腺腺淋巴瘤、黏液表皮样癌,低级别、卵巢 Brenner 瘤、胃腺癌,胃底、宫颈腺癌,非特指型、卵巢浆液性癌、上皮样肉瘤、肺嗜酸细胞腺癌、肺腺癌
几乎全部阴性(<5%的病例阳性): 肾嫌色细胞癌、微囊性附属器癌、弥漫大 B 型大 B 细胞淋巴瘤,非特指型、皮肤鳞状细胞癌、囊性肾瘤-囊上皮、恶性黑色素瘤、皮脂腺腺癌、横纹肌肉瘤,NOS、肾小细胞嗜酸细胞瘤、间皮瘤,NOS、宫颈鳞状细胞癌、乳头状肾细胞癌、皮肤基底细胞癌、恶性外周神经鞘膜瘤、乳腺化生性癌、中肾瘤,NOS、肾上腺皮质癌、上皮肌上皮癌、肾细胞癌、副神经节瘤、神经鞘黏液瘤、肾混合性上皮和间质肿瘤,上皮、恶性混合性苗勒管肿瘤、甲状腺髓样癌、甲状腺滤泡性腺瘤、子宫内膜腺癌,NOS、前列腺腺样囊腺癌,基底细胞、甲状腺滤泡性癌、肺 NUT 癌、软骨肉瘤、甲状腺乳头状癌、食管鳞状细胞癌、耵聍腺癌、腺泡状软组织肉瘤、原始神经外胚层瘤、嗜铬细胞瘤、胃肠道间质瘤、恶性横纹肌样瘤、尤文肉瘤、孤立性浆细胞瘤、睾丸青春期后型卵黄囊瘤、肺贴壁型腺癌、滑膜肉瘤,单向分化、涎腺腺泡细胞癌、纵膈精原细胞瘤、乳腺浸润性微乳头状癌、促结缔组织增生性小圆细胞肿瘤、骨外黏液性软骨肉瘤、耳鼻喉鳞状细胞癌、子宫内膜黏液腺癌、淋巴瘤、乳腺黏液癌、血管肉瘤、透明细胞肉瘤、脑膜瘤,NOS、血管肌脂肪瘤、胚胎性癌、垂体腺瘤、肺肉瘤样癌、皮脂腺上皮瘤、阴道腺癌、毛发上皮瘤、阴道鳞状细胞癌、小汗腺螺旋腺瘤、上皮样血管肉瘤、外阴鳞状细胞癌、子宫内膜透明细胞癌、恶性嗜铬细胞瘤、局限性恶性间皮瘤、间叶性软骨肉瘤、小细胞性骨肉瘤、涎腺透明细胞腺癌、生殖细胞肿瘤,非胚胎型、副脊索瘤、肺细胞腺肌上皮瘤,肌上皮成分、肺细胞腺肌上皮瘤,上皮成分、皮肤黏液癌、中线外室管膜瘤、分泌黏液的内分泌汗腺癌、鼻窦腺癌,非肠型、鲍温病、肾上腺嗜酸细胞性肾上腺皮质肿瘤、室管膜瘤、硬化性神经束膜瘤、嗅神经母细胞瘤、乳腺 Paget 病、腺瘤样瘤,NOS、颅外脑膜瘤、肺硬化性肺细胞瘤、喉梭形细胞癌、卵巢透明细胞癌、乳腺浸润性癌,非特殊类型、乳腺乳头状癌、睾丸交界性乳头状浆液性肿瘤、皮肤小汗腺腺癌、滑膜肉瘤、腹膜原发性腺癌、内翻性乳头状瘤、肺腺鳞癌、中肾腺瘤、乳腺癌,腔 B 型、乳腺癌,腔 A 型、卵巢交界性 Brenner 瘤、甲状腺滤泡型乳头状癌、结直肠苗勒管癌、精囊腺腺癌、颅咽管瘤,造釉细胞瘤型、肺印戒细胞癌、宫颈黏液腺癌,非特指型、大细胞神经内分泌癌、肛管鳞状细胞癌、肛管鳞状细胞癌、涎腺小管腺瘤、浸润性微乳头涎腺导管癌、滑膜肉瘤,上皮成分、滑膜肉瘤,双向型,梭形细胞成分、肾黏液管状和梭形细胞癌、上皮样肉瘤,横纹肌样特征、甲状腺柱状细胞型乳头状癌、直肠鳞状细胞癌、阴经鳞状细胞癌、肾集合管癌、尿路淋巴上皮瘤样癌、乳腺浸润性小叶癌、肺黏液表皮样癌、输卵管透明细胞乳头状囊腺瘤、壶腹癌、壶腹部腺鳞癌、肾源性腺瘤、多形性腺瘤、乳腺髓样癌、前庭大腺腺癌、汗腺瘤、皮肤附属器透明细胞癌、乳腺癌伴印戒细胞样细胞分化