Arginase-1

别名: ARG-1、精氨酸酶-1
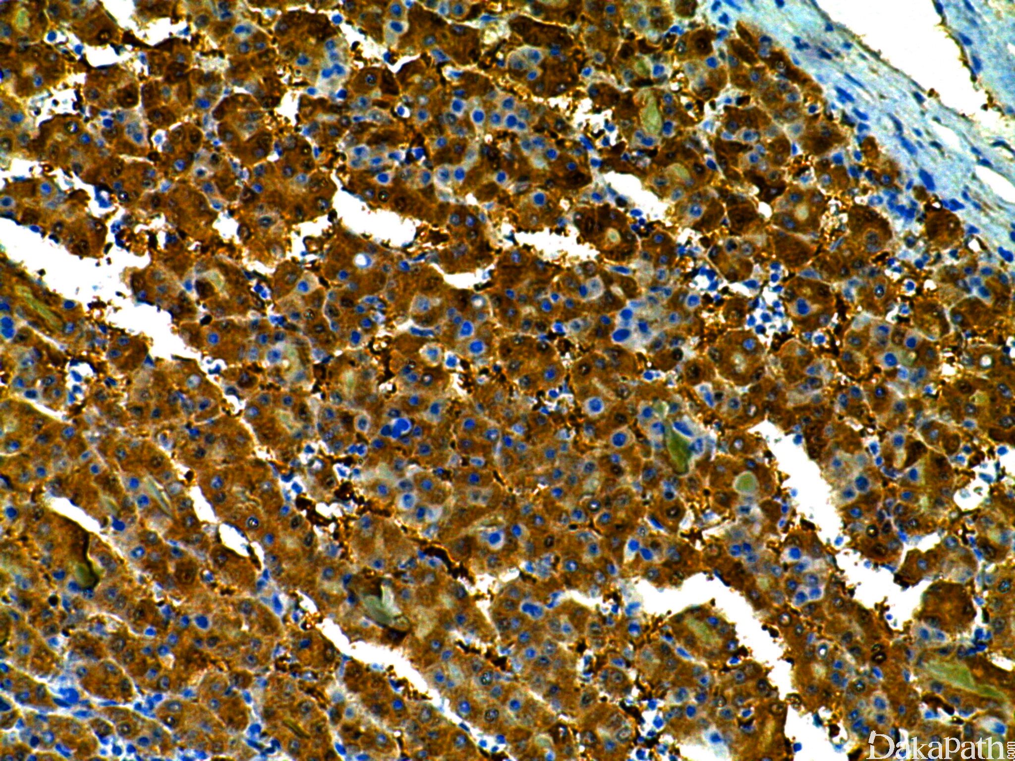
概述:
尿素氮循环关键酶之一,在肝脏中发现,正常肝细胞中的表达具有很高的特异性,胆管上皮细胞、肝窦内皮细胞、血管内皮细胞及 Kupffr cell 不表达。是肝细胞腺瘤及肝细胞癌的特异性及敏感性指标(较 HepPar1 和 Glypican-3 更敏感和特异)。
信号定位: 胞浆、胞核
在病理学中的应用:
肝细胞癌的敏感性标记,用于原发性肝细胞癌与转移性癌及胆管癌的鉴别诊断。
商品化试剂(排名不分先后,本网站对抗体质量不负责!)
公司 | 克隆号 | 即用型(ml) | 原液(ml) | ||||
赛诺特 | SP156 | 1 | 3 | 6 | / | 0.1 | 0.2 |
基因科技 | SP156 | 2 | 4 | 7 | / | / | 0.2 |
中杉金桥 | EPR6672(B)/(previously known as EP261) | 1.5 | 3 | 6 | / | 0.1 | 0.2 |
安必平 | SP156 | 1.5 | 3 | 6 | / | 0.1 | 0.2 |
基因科技 | SP156 | / | 2 | 4 | 7 | / | 0.2 |
在肿瘤中的表达情况:
几乎全部阳性(≥95%的病例阳性): 肝细胞腺瘤、肝局灶结节增生、肝结节性异型增生
通常阳性(<95%,≥75%的病例阳性): 肝细胞癌、肝硬化型肝细胞癌
有时阳性(<55%,≥35%的病例阳性): 胆管癌
偶尔阳性(<15%,≥5%的病例阳性): 肝内胆管细胞癌
几乎全部阴性(<5%的病例阳性): 肾嫌色细胞癌、结直肠腺癌、恶性黑色素瘤、前列腺腺泡性癌、乳头状肾细胞癌、膀胱尿路上皮癌、肾上腺皮质癌、肾细胞癌、透明细胞肾细胞癌、甲状腺髓样癌、甲状腺滤泡性癌、甲状腺乳头状癌、甲状腺间变性癌、胚胎性癌、肺鳞状细胞癌、胰腺腺癌、食管腺癌、子宫内膜腺癌、乳腺浸润性癌,非特殊类型、宫颈腺癌,非特指型、卵巢浆液性癌、胃腺癌、乳腺浸润性小叶癌、肾嗜酸细胞瘤、肺腺癌
← Annexin-A1 BRAF-V600E →