BCA-225

别名: 乳腺癌抗原-225,breast cancer antigen-225;BRST-1
概述:
乳腺细胞分泌的糖蛋白。
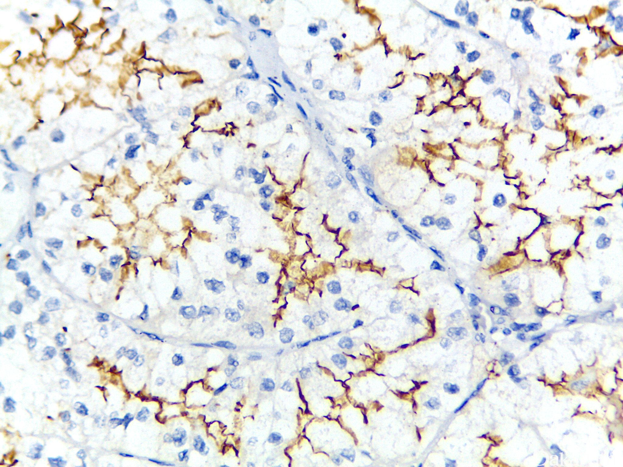
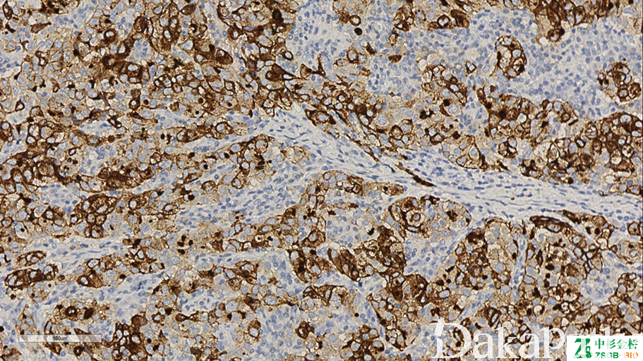
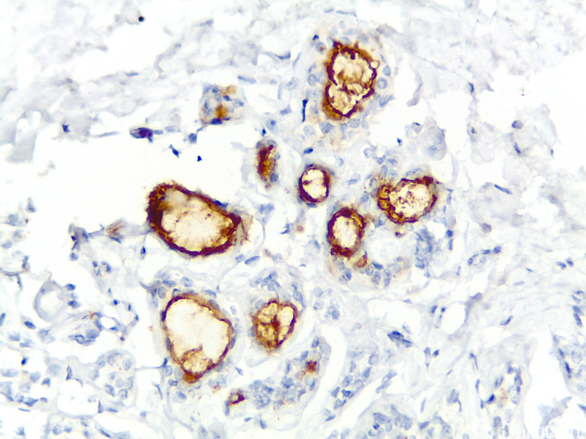
信号定位: 胞质
在病理学中的应用:
与其它抗体联用用于转移性腺癌原发部位的判断。
商品化试剂(排名不分先后,本网站对抗体质量不负责!)
公司 | 克隆号 | 即用型(ml) | 原液(ml) | ||||
基因科技 | Cu-18 | / | / | / | / | / | 0.2 |
赛诺特 | Cu-18 | 1 | 3 | 6 | / | 0.1 | 0.2 |
中杉金桥 | Cu-18 | 1.5 | 3 | 6 | / | 0.1 | 0.2 |
安必平 | CU-18 | 1.5 | 3 | 6 | / | 0.1 | 0.2 |
福建迈新 | CU-18 | / | / | / | / | / | 0.2 |
基因科技 | CU-18 | / | / | / | / | / | 0.2 |
在肿瘤中的表达情况:
几乎全部阳性(≥95%的病例阳性): 皮脂腺腺癌
通常阳性(<95%,≥75%的病例阳性): 肾细胞癌、涎腺导管腺癌、乳腺浸润性癌,非特殊类型、小汗腺汗孔癌
经常阳性(<75%,≥55%的病例阳性): 鼻窦腺癌,肠型、子宫内膜腺癌、乳腺外 Paget 病、肺腺癌、胰腺导管腺癌
有时阳性(<55%,≥35%的病例阳性): 前列腺腺泡性癌、膀胱尿路上皮癌、甲状腺乳头状癌、胆管癌、宫颈腺癌,非特指型
少数阳性(<35%,≥15%的病例阳性): 甲状腺滤泡性癌、食管腺癌、胃腺癌
偶尔阳性(<15%,≥5%的病例阳性): 结直肠腺癌、肝细胞癌、甲状腺腺瘤
几乎全部阴性(<5%的病例阳性): 皮肤鳞状细胞癌、皮肤基底细胞癌、间皮增生