BCL-2

别名: B-cell lymphoma-2
概述:
基因位于 18 号染色体,为细胞凋亡蛋白家族成员,抑制细胞凋亡。
信号定位: 胞膜/浆
在病理学中的应用:
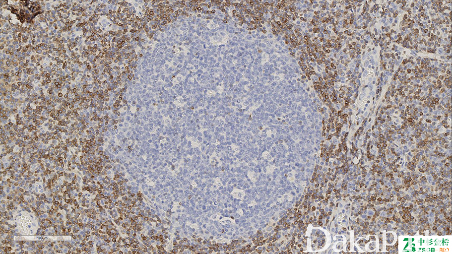
滤泡性淋巴瘤与反应性滤泡增生的鉴别;
皮肤纤维瘤及纤维瘤病与孤立性纤维性肿瘤及隆突性皮肤纤维肉瘤的鉴别;
单核样 B 细胞增生(阴性)与边缘区淋巴瘤(阳性)的鉴别;
Burkitt 淋巴瘤与弥漫性大 B 细胞淋巴瘤的鉴别。
商品化试剂(排名不分先后,本网站对抗体质量不负责!)
公司 | 克隆号 | 即用型(ml) | 原液(ml) | ||||
基因科技 | 124 | 1 | 2 | 4 | 7 | / | 0.2 |
Bcl-2-100 | / | 2 | 4 | 7 | / | 0.2 | |
赛诺特 | Bcl-2/100/D5 | 1 | 3 | 6 | / | 0.1 | 0.2 |
124 | 1 | 3 | 6 | / | 0.1 | 0.2 | |
SP66 | 1 | 3 | 6 | / | 0.1 | 0.2 | |
中杉金桥 | bcl-2/100/D5 | 1.5 | 3 | 6 | / | 0.1 | 0.2 |
EP36 | |||||||
安必平 | 124 | 1.5 | 3 | 6 | / | 0.1 | 0.2 |
福建迈新 | SP66 | 1.5 | 3 | 3 | / | / | 0.2 |
8C8 | |||||||
基因科技 | Bcl-2-100 | / | 2 | 4 | 7 | / | 0.2 |
124 | 1 | 2 | 4 | 7 | / | 0.2 | |
在肿瘤中的表达情况:
几乎全部阳性(≥95%的病例阳性): 原发性皮肤大 B 细胞淋巴瘤,腿型、皮肤鳞状细胞癌、子宫平滑肌肉瘤、神经鞘膜瘤,NOS、母细胞性浆细胞样树突状细胞肿瘤、皮肤基底细胞癌、孤立性纤维性肿瘤、中肾残留增生、B 淋巴母细胞白血病/淋巴瘤、双打击淋巴瘤、淋巴上皮癌、毛细胞白血病、腺样囊性癌、滑膜肉瘤,单向分化、复合痣、异型增生性痣、痣,NOS、宫颈腺鳞癌、鲍温病、套细胞淋巴瘤、滑膜肉瘤、乳腺癌,腔 A 型、树突状纤维黏液脂肪瘤、肺淋巴上皮瘤样癌、慢性淋巴细胞白血病/B 小淋巴细胞淋巴瘤
通常阳性(<95%,≥75%的病例阳性): 恶性黑色素瘤、弥漫大 B 细胞淋巴瘤,c-myc 重排、滤泡性淋巴瘤、滤泡性淋巴瘤 I 级、甲状腺髓样癌、前列腺腺样囊腺癌,基底细胞、甲状腺乳头状癌、巨细胞血管纤维瘤、胃肠道间质瘤、间变性大细胞淋巴瘤,ALK 阴性、Kaposi 肉瘤、神经纤维瘤病相关性胃肠道间质瘤、鼻咽癌,角化性、神经纤维瘤、低级别纤维黏液肉瘤、透明细胞肉瘤、恶性嗜铬细胞瘤、膀胱腺癌,非特指型、脾脏边缘区淋巴瘤、黏膜相关淋巴组织边缘区 B 细胞淋巴瘤、肌纤维母细胞瘤、甲状旁腺腺瘤、乳腺叶状肿瘤,上皮成分、皮肤 Merkel 细胞癌、节细胞胶质瘤、甲状腺腺瘤、卵巢成人颗粒细胞瘤、大细胞神经内分泌癌、血管内大 B 细胞淋巴瘤、梭形细胞脂肪瘤、滤泡性淋巴瘤 II 级、肾源性腺瘤
经常阳性(<75%,≥55%的病例阳性): 弥漫大 B 型大 B 细胞淋巴瘤,非特指型、血管周细胞瘤、宫颈鳞状细胞癌、T 淋巴母细胞白血病/淋巴瘤、滤泡性淋巴瘤 III 级、透明细胞肾细胞癌、乳腺导管原位癌、良性胸腺瘤、嗜铬细胞瘤、黏液恶性纤维组织细胞瘤、乳腺良性叶状肿瘤、膀胱透明细胞癌、弥漫大 B 细胞淋巴瘤,非生发中心来源、恶性肌上皮瘤、边缘区 B 细胞淋巴瘤、淋巴细胞消减型经典型霍奇金淋巴瘤、结节硬化型经典型霍奇金淋巴瘤、子宫内膜浆液性癌、肠病相关 T 细胞淋巴瘤、脑膜瘤,血管母细胞性、间变性脑膜瘤、平滑肌瘤、纵膈大 B 细胞淋巴瘤、浆细胞骨髓瘤,浆母细胞性
有时阳性(<55%,≥35%的病例阳性): 横纹肌肉瘤,NOS、隆突性皮肤纤维肉瘤、前列腺腺泡性癌、未分化多形性肉瘤、膀胱尿路上皮癌、弥漫大 B 细胞淋巴瘤,生发中心细胞来源、副神经节瘤、食管鳞状细胞癌、肺大细胞癌、孤立性浆细胞瘤、肺贴壁型腺癌、耳鼻喉鳞状细胞癌、儿童 NK/T 细胞淋巴瘤,EBV+、肺鳞状细胞癌、胰腺腺癌、T 细胞淋巴瘤、子宫内膜腺癌、结外 NK/T 细胞淋巴瘤,鼻型、乳腺浸润性癌,非特殊类型、肺腺鳞癌、T 细胞/组织细胞丰富型大 B 细胞淋巴瘤、外周 T 细胞淋巴瘤、胃腺瘤、甲状旁腺非典型腺瘤、甲状旁腺癌、前列腺高级别上皮内瘤变、甲状腺嗜酸细胞腺癌、非典型性脑膜瘤、乳腺叶状肿瘤,梭形细胞成分、肺腺癌
少数阳性(<35%,≥15%的病例阳性): 卵巢子宫内膜样癌、结直肠腺癌、纤维肉瘤、平滑肌肉瘤,NOS、肝细胞癌、恶性外周神经鞘膜瘤、肾上腺皮质癌、肾细胞癌伴 Xp11.2 异位、类癌、肾上腺皮脂腺瘤、阑尾腺癌、尤文肉瘤、卵巢低级别浆液性癌、阑尾囊腺瘤、梭形和上皮样细胞痣、炎性假瘤、脑膜瘤,NOS、卵巢黏液性癌、结节性淋巴细胞为主型霍奇金淋巴瘤、室管膜瘤、基底样鳞状细胞癌、腹膜原发性腺癌、肾上腺皮质肿瘤,NOS、宫颈腺癌,非特指型、卵巢浆液性癌、室管膜母细胞瘤、胰胆管囊腺癌伴间叶性间质,黏液、室管膜下巨细胞星形细胞瘤、巢状尿路上皮癌、甲状腺未分化癌、甲状腺嗜酸细胞腺瘤、肛管鳞状细胞癌、肛管鳞状细胞癌、胃腺癌、乳腺浸润性小叶癌、胰腺导管腺癌
偶尔阳性(<15%,≥5%的病例阳性): 宫颈高级别鳞状上皮内病变、Burkitt 淋巴瘤、乳腺恶性叶状肿瘤、淋巴瘤、系统性肥大细胞增生症、肝母细胞瘤、间皮瘤,双向分化、嗅神经母细胞瘤、宫颈原位腺癌、间变性大细胞淋巴瘤,ALK 阳性
几乎全部阴性(<5%的病例阳性): 上皮样间皮瘤、乳头状肾细胞癌、皮肤纤维瘤、鼻血管周细胞瘤、纤维瘤病、乳腺交界性叶状肿瘤、结节性筋膜炎、间皮增生、宫颈微腺体增生、脊索瘤、指获得性反应性纤维瘤、宫颈淋巴上皮瘤样癌、脂肪母细胞性神经鞘瘤、低分化硬化性脂肪肉瘤、坏死性涎腺化生、骨外骨肉瘤、乳腺大汗腺型导管原位癌、浆母细胞性淋巴瘤