BOB-1

别名: SC955;TG14
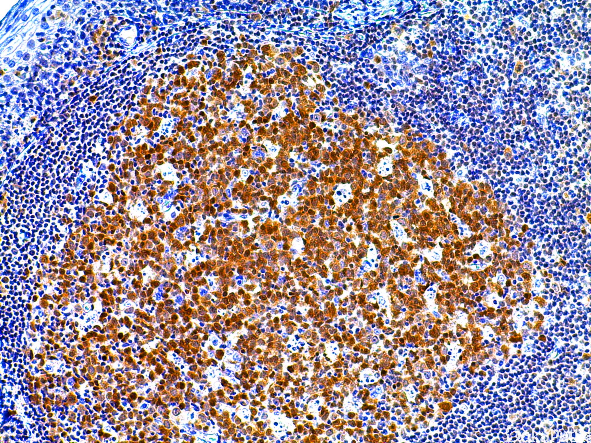
概述:
是一种转录因子,为生发中心形成及免疫球蛋白产生所必需。
信号定位: 细胞核
在病理学中的应用:
与 OCT2 联用用于鉴别经典型霍奇金淋巴瘤与结节性淋巴细胞为主型淋巴瘤;
富于 T/组织细胞的弥漫性大 B 细胞淋巴瘤与经典型淋巴瘤的鉴别诊断。
商品化试剂(排名不分先后,本网站对抗体质量不负责!)
公司 | 克隆号 | 即用型(ml) | 原液(ml) | ||||
中杉金桥 | UMAB219 | 1.5 | 3 | 6 | / | 0.1 | 0.2 |
基因科技 | C20 | / | 2 | 4 | 7 | / | 0.2 |
福建迈新 | 多克隆 | 1.5 | 3 | 6 | / | / | 0.2 |
基因科技 | C20 | / | 2 | 4 | 7 | / | 0.2 |
在肿瘤中的表达情况:
几乎全部阳性(≥95%的病例阳性): 弥漫大 B 型大 B 细胞淋巴瘤,非特指型、滤泡性淋巴瘤、滤泡性淋巴瘤 I 级、结节性淋巴细胞为主型霍奇金淋巴瘤、纵膈大 B 细胞淋巴瘤
通常阳性(<95%,≥75%的病例阳性): B 淋巴母细胞白血病/淋巴瘤、Burkitt 淋巴瘤、原发性渗出性淋巴瘤,HHV-8 相关、套细胞淋巴瘤、急性髓系白血病,伴多系异型增生、特征介于弥漫大 B 细胞淋巴瘤和经典型霍奇金淋巴瘤之间的未分类 B 细胞淋巴瘤
经常阳性(<75%,≥55%的病例阳性): 淋巴细胞丰富型经典型霍奇金淋巴瘤
有时阳性(<55%,≥35%的病例阳性): 急性髓系白血病,伴 t(8;21)(q22;q22)、急性髓系白血病(M4)、急性髓系白血病(M3)、急性髓系白血病(M1)
少数阳性(<35%,≥15%的病例阳性): 急性髓系白血病,NOS、经典型霍奇金淋巴瘤、急性髓系白血病(M2)、淋巴细胞消减型经典型霍奇金淋巴瘤、混合细胞型经典型霍奇金淋巴瘤、结节硬化型经典型霍奇金淋巴瘤
几乎全部阴性(<5%的病例阳性): 组织细胞/树突状细胞肉瘤