CD10

别名: Common Acute Lymphoblastic Leukemia Antigen (CALLA)
概述:
一种锌依赖性细胞膜金属结合蛋白。
淋巴造血细胞肿瘤中主要标记急性 B 淋巴母细胞白血病/淋巴瘤、血管免疫母细胞性 T 细胞淋巴瘤、生发中心源性淋巴瘤;
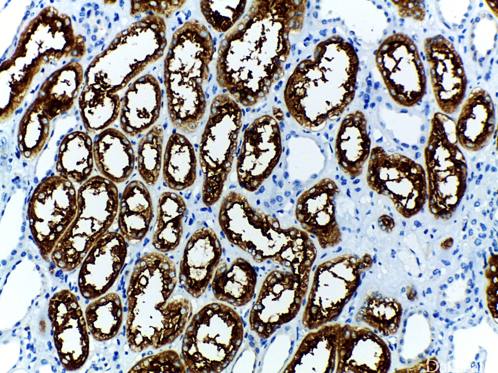
淋巴造血系统以外肿瘤对肾细胞癌、子宫内膜间质肿瘤比较敏感,但特异性差,其它阳性表达肿瘤包括尿路上皮癌、前列腺癌、神经鞘瘤、恶黑、横纹肌肉瘤、平滑肌肉瘤、血管周细胞肿瘤、孤立性纤维性肿瘤、肝细胞癌(毛细胆管模式).
信号定位: 胞膜
在病理学中的应用:
急性白血病的分类;
淋巴瘤分类及分型。生发中心细胞及其来源肿瘤标记物:Burkitt 淋巴瘤、DLBCL(GC)、FL、AITL 均阳性。
子宫内膜间质肿瘤与平滑肌源性肿瘤的鉴别诊断(注意少数平滑肌肉瘤可 CD10 阳性);
肾细胞癌与形态类似肿瘤的鉴别诊断;
肝细胞癌(毛细胆管模式)与转移性癌的鉴别诊断;
肾透明细胞癌(+)与嫌色细胞癌及嗜酸细胞腺瘤的鉴别;
卵巢透明细胞癌、Wolffian 肿瘤、肌上皮细胞及肿瘤、毛细胆管、胰腺实性假乳头状肿瘤、肠上皮、肾小管近曲小管上皮的刷状缘及其来源肿瘤(透明细胞癌、乳头状癌等)可阳性表达。
商品化试剂(排名不分先后,本网站对抗体质量不负责!)
公司 | 克隆号 | 即用型(ml) | 原液(ml) | ||||
基因科技 | 56C6 | 1 | 2 | 4 | 7 | 0.1 | 0.2 |
赛诺特 | 56C6 | 1 | 3 | 6 | / | 0.1 | 0.2 |
中杉金桥 | UMAB235 | 1.5 | 3 | 6 | / | 0.1 | 0.2 |
SP67 | |||||||
安必平 | 56C6 | 1.5 | 3 | 6 | / | 0.1 | 0.2 |
福建迈新 | MXD02 | 1.5 | 3 | 6 | / | / | 0.2 |
在肿瘤中的表达情况:
几乎全部阳性(≥95%的病例阳性): 胰腺实性假乳头状肿瘤、非典型纤维黄色瘤、乳头状肾细胞癌伴嗜酸细胞、神经鞘黏液瘤、子宫内膜绒毛膜癌、肾细胞癌伴 Xp11.2 异位、肾混合性上皮和间质肿瘤,上皮、炎性肌纤维母细胞瘤、中肾残留、梭形细胞鳞状细胞癌、肾细胞癌伴 t(X;17)(p11;q25)、阴道混合瘤、中间型滋养细胞肿瘤、胰腺导管内乳头状肿瘤、子宫内膜间质肿瘤、卵巢微囊性间质肿瘤、恶性混合性苗勒管肿瘤
通常阳性(<95%,≥75%的病例阳性): 未分化多形性肉瘤、中肾癌、中肾瘤,NOS、肾混合性上皮和间质肿瘤,间质成分、上皮样血管内皮瘤、中肾残留增生、壶腹腺癌,肠型、支持-间质细胞肿瘤、滤泡性淋巴瘤、滤泡性淋巴瘤 I 级、上皮肌上皮癌、肾细胞癌、B 淋巴母细胞白血病/淋巴瘤、透明细胞肾细胞癌、管囊性肾细胞癌、子宫内膜间质肉瘤、双打击淋巴瘤、膀胱原位尿路上皮癌、非浸润性乳头状尿路上皮癌,高级别、胰腺黏液性囊性肿瘤、皮肤纤维瘤、Burkitt 淋巴瘤
经常阳性(<75%,≥55%的病例阳性): 子宫类似于卵巢性索肿瘤、皮肤基底细胞癌、尿路上皮异型增生、肝细胞癌、T 淋巴母细胞白血病/淋巴瘤、孤立性纤维性肿瘤、滤泡性淋巴瘤 III 级、膀胱尿路上皮癌、高级别子宫内膜间质肉瘤、胰腺腺泡细胞癌、弥漫大 B 细胞淋巴瘤,生发中心细胞来源、低级别子宫内膜间质肉瘤、恶性外周神经鞘膜瘤、乳腺化生性癌
有时阳性(<55%,≥35%的病例阳性): 囊性肾瘤-囊上皮、透明细胞乳头状肾细胞癌、乳腺产间质癌、恶性黑色素瘤、肌上皮癌、皮脂腺腺癌、弥漫大 B 细胞淋巴瘤,c-myc 重排、卵巢子宫内膜样交界性肿瘤/非典型增生性子宫内膜样肿瘤、横纹肌肉瘤,NOS、纤维肉瘤、隆突性皮肤纤维肉瘤、平滑肌肉瘤,NOS、皮脂腺腺瘤、鼻窦腺癌,肠型、神经鞘膜瘤,NOS、上皮样间皮瘤、肾小细胞嗜酸细胞瘤、血管周细胞瘤、前列腺腺泡性癌、间皮瘤,NOS、宫颈鳞状细胞癌、非浸润性乳头状尿路上皮癌,低级别、乳头状肾细胞癌
少数阳性(<35%,≥15%的病例阳性): 黏液性/圆细胞脂肪肉瘤、肾嫌色细胞癌、原发性皮肤大 B 细胞淋巴瘤,腿型、低度恶性潜能的乳头状尿路上皮肿瘤、宫颈高级别鳞状上皮内病变、微囊性附属器癌、卵巢子宫内膜样癌、肌上皮瘤、弥漫大 B 型大 B 细胞淋巴瘤,非特指型、肾细胞癌伴 t(6;11)(p21;q12)、皮肤鳞状细胞癌、真皮肌纤维瘤、子宫平滑肌肉瘤、结直肠腺癌、肾黏液管状和梭形细胞癌、宫颈腺癌,肠型、肾集合管癌、乳腺浸润性小叶癌、肉瘤样肾细胞癌、平滑肌瘤、乳腺叶状肿瘤,梭形细胞成分、输卵管透明细胞乳头状囊腺瘤、肝透明细胞型肝细胞癌、纵膈大 B 细胞淋巴瘤、肾源性腺瘤、卵巢甲状腺肿、多形性腺瘤、乳腺髓样癌、浆母细胞性淋巴瘤、肾嗜酸细胞瘤、肺腺癌、神经内分泌肿瘤、慢性淋巴细胞白血病/B 小淋巴细胞淋巴瘤、胰腺导管腺癌、脑膜瘤,透明细胞、浆细胞骨髓瘤,浆母细胞性
偶尔阳性(<15%,≥5%的病例阳性): 卵巢透明细胞癌、乳腺浸润性癌,非特殊类型、滑膜肉瘤、卵巢成人颗粒细胞瘤、上皮样平滑肌瘤、T 细胞/组织细胞丰富型大 B 细胞淋巴瘤、宫颈原位腺癌、肾上腺皮质肿瘤,NOS、宫颈腺癌,非特指型、卵巢浆液性癌、外周 T 细胞淋巴瘤、上皮样肉瘤、子宫内膜浆液性癌、大细胞神经内分泌癌、乳腺基底样癌,三阴性、性索间质肿瘤、涎腺小管腺瘤、卵巢卵黄囊瘤、透明细胞汗腺瘤、胃腺癌、乳腺包裹性乳头状癌、急性髓系白血病(M1)、上皮样纤维组织细胞瘤、原发皮肤小/中等 CD4+ T 细胞淋巴瘤
几乎全部阴性(<5%的病例阳性): 睾丸混合性生殖细胞肿瘤、肾上腺皮质癌、副神经节瘤、类癌、甲状腺髓样癌、甲状腺滤泡性腺瘤、子宫内膜腺癌,NOS、宫颈隧道样腺丛、甲状腺滤泡性癌、甲状腺乳头状癌、良性胸腺瘤、经典型霍奇金淋巴瘤、原始神经外胚层瘤、腺样囊性癌、胃肠道间质瘤、卵巢纤维卵泡膜瘤、急性髓系白血病(M2)、乳头状汗腺腺瘤、卵巢黏液性交界性肿瘤/非典型增生性黏液性肿瘤、子宫内膜黏液腺癌、乳腺黏液癌、儿童 NK/T 细胞淋巴瘤,EBV+、汗管瘤、套细胞淋巴瘤,母细胞型、毛发上皮瘤、小汗腺汗孔瘤、卵巢纤维瘤、宫颈微腺体增生、胰腺导管内乳头状黏液性肿瘤、乳腺癌,腔型、结节性淋巴细胞为主型霍奇金淋巴瘤、宫颈微偏腺癌、血管母细胞瘤、皮肤黏液癌、脾脏边缘区淋巴瘤、黏膜相关淋巴组织边缘区 B 细胞淋巴瘤、弥漫大 B 细胞淋巴瘤,非生发中心来源、边缘区 B 细胞淋巴瘤、套细胞淋巴瘤、胆管癌、子宫内膜腺癌、皮肤 Merkel 细胞癌