CD15

别名: LeuM1, Lewis X, 3-fucosyl-N-acetyl-lactosamine
概述:
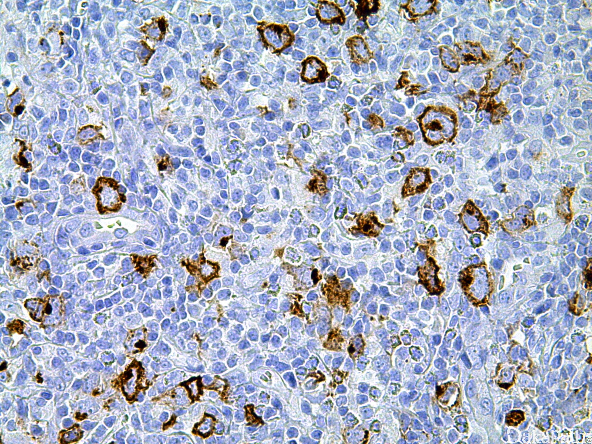
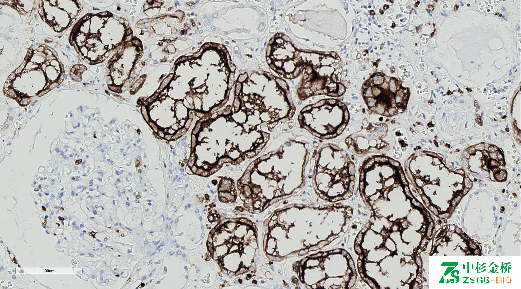
是一种碳水化合物,标记何杰金 R-S 细胞,髓细胞白血病/肉瘤(是相对成熟髓细胞的标记物; CD117 标记相对幼稚的髓细胞,而 MPO 是相对广谱的髓细胞标记物)。腺癌阳性,可用于与间皮瘤( -)鉴别,但效果不如 BerEP4 等其它腺癌标志物。
信号定位: 胞膜、胞质
在病理学中的应用:
霍奇金淋巴瘤的诊断;
白血病免疫分型;
间皮瘤与腺癌的鉴别诊断。
商品化试剂(排名不分先后,本网站对抗体质量不负责!)
公司 | 克隆号 | 即用型(ml) | 原液(ml) | ||||
基因科技 | MMA | / | 2 | 4 | 7 | / | 0.2 |
赛诺特 | Carb-3 | 1 | 3 | 6 | / | 0.1 | 0.2 |
MMA | 1 | 3 | 6 | / | 0.1 | 0.2 | |
中杉金桥 | MMA+BY87 | 1.5 | 3 | 6 | / | 0.1 | 0.2 |
安必平 | MMA | 1.5 | 3 | 6 | / | 0.1 | 0.2 |
福建迈新 | Carb-3 | 1 | 3 | 6 | / | / | 0.2 |
在肿瘤中的表达情况:
几乎全部阳性(≥95%的病例阳性): 结直肠腺癌、乳头状肾细胞癌、膀胱透明细胞癌、毛发上皮瘤、大汗腺腺瘤、卵巢透明细胞癌、皮肤大汗腺腺癌、胸腺乳头状癌、睾丸交界性乳头状浆液性肿瘤、睾丸浆液性囊腺瘤、涎腺小管腺瘤、肾嗜酸细胞瘤、皮肤小汗腺乳头状腺瘤
通常阳性(<95%,≥75%的病例阳性): 经典型霍奇金淋巴瘤、膀胱浸润性尿路上皮癌、膀胱腺癌,非特指型、胆管癌、淋巴细胞消减型经典型霍奇金淋巴瘤、混合细胞型经典型霍奇金淋巴瘤、结节硬化型经典型霍奇金淋巴瘤、髓系白血病、肾源性腺瘤、大汗腺混合瘤、大汗腺囊腺瘤、胰腺导管腺癌
经常阳性(<75%,≥55%的病例阳性): 卵巢子宫内膜样癌、囊性肾瘤-囊上皮、鼻窦腺癌,肠型、肾细胞癌、涎腺导管腺癌、卵巢低级别浆液性癌、促结缔组织增生性小圆细胞肿瘤、乳腺浸润性癌,非特殊类型、特征介于弥漫大 B 细胞淋巴瘤和经典型霍奇金淋巴瘤之间的未分类 B 细胞淋巴瘤、淋巴细胞丰富型经典型霍奇金淋巴瘤、肺腺癌
有时阳性(<55%,≥35%的病例阳性): 皮脂腺腺癌、膀胱尿路上皮癌、肺大细胞癌、睾丸青春期后型卵黄囊瘤、乳头状汗管囊腺瘤、肾横纹肌样肾细胞癌,横纹肌样成分、腹膜原发性腺癌、卵巢浆液性癌、胃腺癌
少数阳性(<35%,≥15%的病例阳性): 前列腺腺泡性癌、类癌、甲状腺乳头状癌、组织细胞肉瘤、良性胸腺瘤、肺贴壁型腺癌、肺鳞状细胞癌、小汗腺汗孔瘤、幼年性黄色肉芽肿、T 细胞淋巴瘤、肉瘤样肾细胞癌
偶尔阳性(<15%,≥5%的病例阳性): 急性髓系白血病,NOS、肾嫌色细胞癌、微囊性附属器癌、上皮样间皮瘤、肝细胞癌、淋巴瘤样丘疹病、滑膜肉瘤,双向型、淋巴瘤、结节性淋巴细胞为主型霍奇金淋巴瘤、间皮瘤,双向分化、小汗腺汗孔癌
几乎全部阴性(<5%的病例阳性): 黏液性/圆细胞脂肪肉瘤、皮肤鳞状细胞癌、恶性黑色素瘤、横纹肌肉瘤,NOS、纤维肉瘤、神经鞘膜瘤,NOS、间皮瘤,NOS、皮肤基底细胞癌、未分化多形性肉瘤、上皮样血管内皮瘤、B 淋巴母细胞白血病/淋巴瘤、副神经节瘤、皮肤纤维瘤、颗粒细胞瘤、软骨肉瘤、腺泡状软组织肉瘤、巨细胞血管纤维瘤、原始神经外胚层瘤、毛细胞白血病、膀胱肉瘤样尿路上皮癌、尤文肉瘤、鼻咽癌,角化性、乳腺恶性叶状肿瘤、乳腺黏液癌、血管肉瘤、儿童 NK/T 细胞淋巴瘤,EBV+、透明细胞肉瘤、脑膜瘤,NOS、胚胎性癌、小汗腺螺旋腺瘤、间皮增生、原发性渗出性淋巴瘤,HHV-8 相关、局限性恶性间皮瘤、间叶性软骨肉瘤、小细胞性骨肉瘤、蜕膜样间皮瘤、良性纤维组织细胞瘤、血管母细胞瘤、皮肤黏液癌、高分化乳头状间皮瘤、滑膜肉瘤,单向分化,纤维型、黄色瘤、横纹肌样瘤、乳腺外 Paget 病、腺瘤样瘤,NOS、肺硬化性肺细胞瘤、肺胸区恶性小圆细胞肿瘤、汗腺透明细胞腺癌、皮肤小汗腺腺癌、滑膜肉瘤、中肾腺瘤、T 细胞/组织细胞丰富型大 B 细胞淋巴瘤、浆细胞骨髓瘤、上皮样肉瘤、炎性黏液玻璃样变肿瘤、血管内大 B 细胞淋巴瘤、间变性脑膜瘤、透明细胞汗腺瘤、先天性颗粒细胞瘤、非骨化性纤维瘤、黄色肉芽肿、肛周 Paget 病、肛周 Paget 病伴直肠腺癌、纵膈大 B 细胞淋巴瘤、生发中心进行性转化、小汗腺混合瘤、慢性淋巴细胞白血病/B 小淋巴细胞淋巴瘤