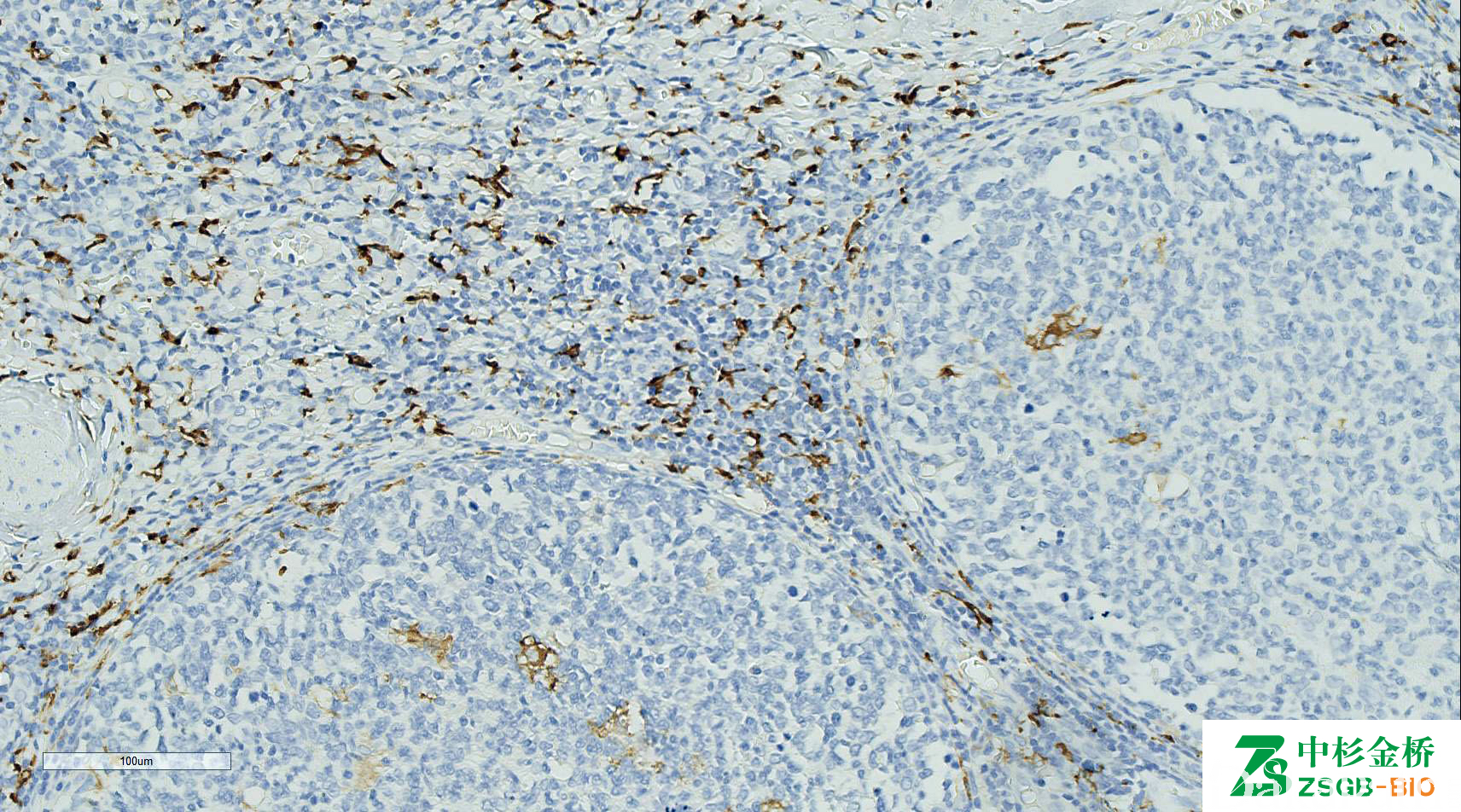
CD163

别名: 10D6
概述:
是一种 I 型膜蛋白,介导细胞吞噬结合珠蛋白与血红蛋白复合体,几乎表达于所有组织的单核巨噬细胞。不表达于不成熟的单核细胞、肺泡内的巨噬细胞及小胶质细胞;不表达于淋巴滤泡生发中心、套区的 FDC 细胞。
10D6 克隆为福尔马林固定组织组织细胞最特异性的抗体
信号定位: 胞膜
在病理学中的应用:
滑膜巨噬细胞(阳性)与滑膜纤维母细胞的鉴别;
组织细胞的识别;
单核细胞白血病与其它髓系白血病的鉴别;
FDC 肉瘤的排除性诊断,FDC 肉瘤 CD163 阴性。
商品化试剂(排名不分先后,本网站对抗体质量不负责!)
公司 | 克隆号 | 即用型(ml) | 原液(ml) | ||||
基因科技 | 10D6 | / | 2 | 4 | 7 | / | 0.2 |
赛诺特 | MRQ-26 | 1 | 3 | 6 | / | 0.1 | 0.2 |
10D6 | |||||||
中杉金桥 | 10D6 | 1.5 | 3 | 6 | / | 0.1 | 0.2 |
安必平 | MRQ-26 | 1.5 | 3 | 6 | / | 0.1 | 0.2 |
福建迈新 | 10D6 | 1.5 | 3 | 6 | / | / | 0.2 |
在肿瘤中的表达情况:
几乎全部阳性(≥95%的病例阳性): 慢性髓系白血病、腱鞘巨细胞瘤、幼年性黄色肉芽肿、黄色瘤、窦组织细胞增生症伴巨大淋巴结肿大、黄色肉芽肿、慢性粒-单核白血病、窦岸细胞血管瘤
通常阳性(<95%,≥75%的病例阳性): 组织细胞肉瘤、弥漫型腱鞘巨细胞瘤
经常阳性(<75%,≥55%的病例阳性): 良性纤维组织细胞瘤、非典型纤维性组织细胞瘤、上皮样纤维组织细胞瘤
少数阳性(<35%,≥15%的病例阳性): 隆突性皮肤纤维肉瘤、急性髓系白血病(M5)
偶尔阳性(<15%,≥5%的病例阳性): 孤立性纤维性肿瘤、非典型纤维黄色瘤、非典型性脂肪瘤性肿瘤、组织细胞/树突状细胞肉瘤
几乎全部阴性(<5%的病例阳性): 急性髓系白血病,NOS、黏液性/圆细胞脂肪肉瘤、血管内皮瘤,NOS、弥漫大 B 型大 B 细胞淋巴瘤,非特指型、结直肠腺癌、恶性黑色素瘤、横纹肌肉瘤,NOS、纤维肉瘤、平滑肌肉瘤,NOS、神经鞘膜瘤,NOS、血管周细胞瘤、前列腺腺泡性癌、间皮瘤,NOS、宫颈鳞状细胞癌、皮肤基底细胞癌、未分化多形性肉瘤、肝细胞癌、T 淋巴母细胞白血病/淋巴瘤、滤泡性淋巴瘤 III 级、膀胱尿路上皮癌、恶性外周神经鞘膜瘤、睾丸混合性生殖细胞肿瘤、滤泡性淋巴瘤、滤泡性淋巴瘤 I 级、肾细胞癌、子宫内膜间质肉瘤、Burkitt 淋巴瘤、神经鞘黏液瘤、恶性混合性苗勒管肿瘤、颗粒细胞瘤、血管瘤、甲状腺滤泡性癌、胃泌素瘤、甲状腺乳头状癌、滤泡树突状细胞肿瘤、食管鳞状细胞癌、腺泡状软组织肉瘤、经典型霍奇金淋巴瘤、肾上腺皮脂腺瘤、嗜铬细胞瘤、胃肠道间质瘤、尤文肉瘤、急性髓系白血病(M2)、血管球瘤、Kaposi 肉瘤、促结缔组织增生性小圆细胞肿瘤、神经母细胞瘤、耳鼻喉鳞状细胞癌、神经纤维瘤、低级别纤维黏液肉瘤、纤维瘤病、卵巢无性细胞瘤、炎性假瘤、血管肉瘤、透明细胞肉瘤、结节性筋膜炎、色素性 Spitz 痣、急性髓系白血病(M4)、卵巢黏液性癌、外阴鳞状细胞癌、子宫内膜透明细胞癌、肝母细胞瘤、食管腺癌、脾脏边缘区淋巴瘤、黏液性软骨肉瘤、边缘区 B 细胞淋巴瘤、套细胞淋巴瘤、胆管癌、黏液瘤,NOS、子宫内膜腺癌、卵巢透明细胞癌、弹力纤维瘤、乳腺浸润性癌,非特殊类型、滑膜肉瘤、浆细胞骨髓瘤、急性髓系白血病(M3)、卵巢浆液性癌、外周 T 细胞淋巴瘤、上皮样肉瘤、冬眠瘤、脂肪母细胞瘤、肛管鳞状细胞癌、肛管鳞状细胞癌、胃腺癌、急性髓系白血病(M1)、尿路上皮癌、平滑肌瘤、肾嗜酸细胞瘤、肺腺癌、胰腺导管腺癌