CD2

别名: T11、LFA-3
概述:
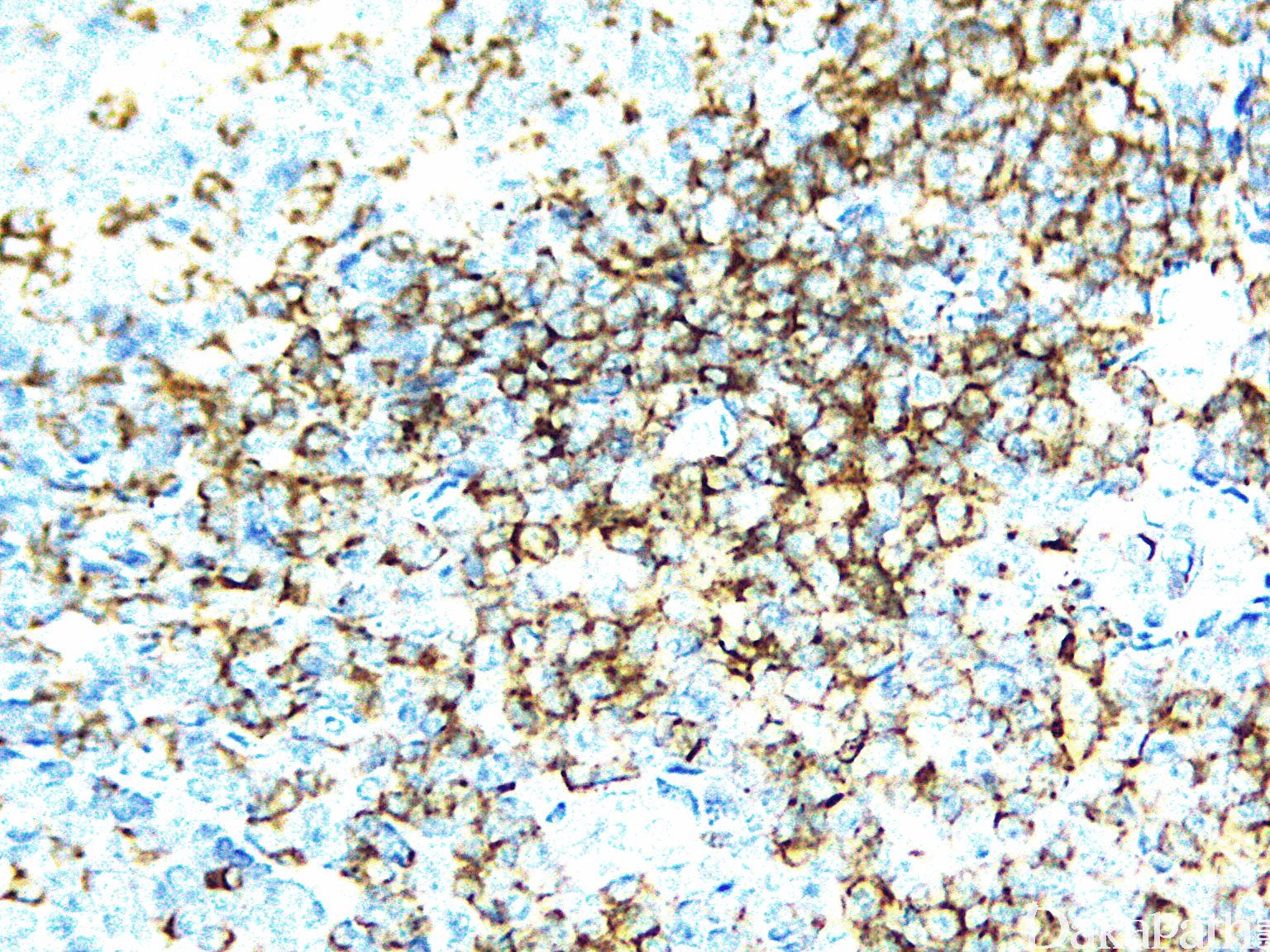
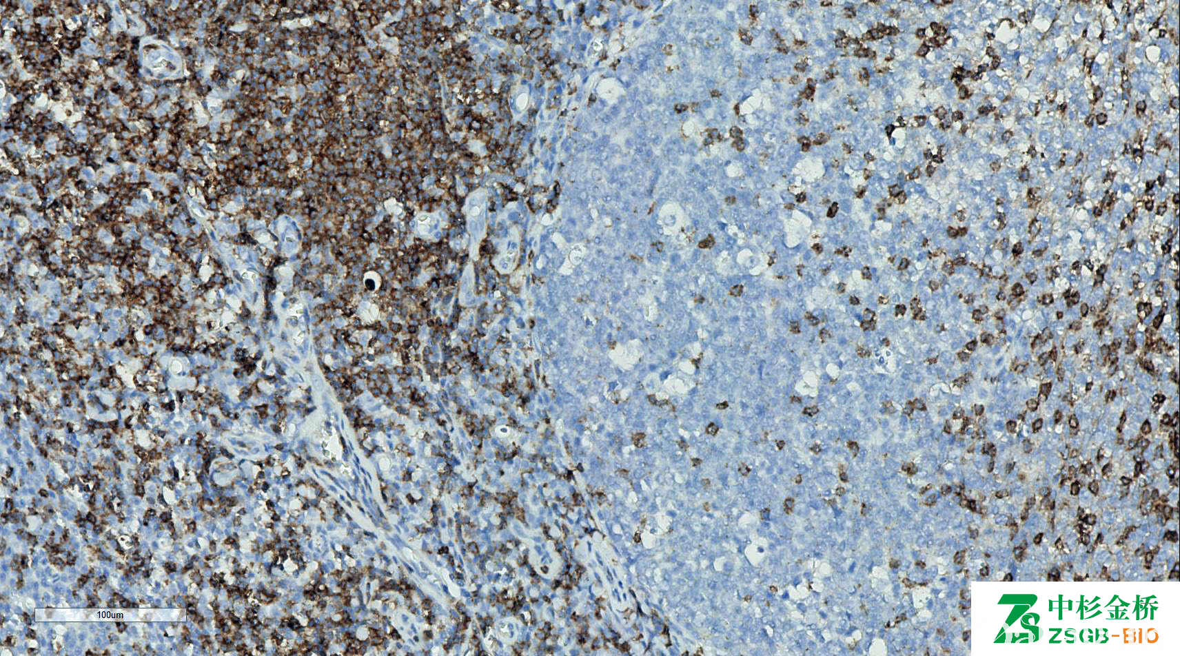
广谱且较稳定的全 T 细胞抗原,表达于成熟 T 细胞及胸腺细胞,也可表达于 NK 细胞,用于 T 细胞及 NK 细胞来源肿瘤的诊断与鉴别。
信号定位: 细胞膜
在病理学中的应用:
1、T 细胞淋巴瘤的诊断。
2、对于 T 细胞标记易丢失的 T 细胞肿瘤(如 ALCL),CD2 是较好的补充标记。
- T cell marker (membranous staining), although CD3 is more commonly used
- Marker of systemic mastocytosis
商品化试剂(排名不分先后,本网站对抗体质量不负责!)
公司 | 克隆号 | 即用型(ml) | 原液(ml) | ||||
基因科技 | AB75 | 2 | 4 | 7 | / | / | 0.2 |
赛诺特 | AB75 | 1 | 3 | 6 | / | 0.1 | 0.2 |
EP222 | 1 | 3 | 6 | / | 0.1 | 0.2 | |
MRQ-11 | 1 | 3 | 6 | / | 0.1 | 0.2 | |
中杉金桥 | UMAB6 | 1.5 | 3 | 6 | / | 0.1 | 0.2 |
安必平 | AB75 | 1.5 | 3 | 6 | / | 0.1 | 0.2 |
福建迈新 | AB75 | 1.5 | 3 | 6 | / | / | 0.2 |
在肿瘤中的表达情况:
几乎全部阳性(≥95%的病例阳性): 淋巴瘤样丘疹病
通常阳性(<95%,≥75%的病例阳性): 系统性肥大细胞增生症、结外 NK/T 细胞淋巴瘤,鼻型、NK 细胞淋巴瘤
经常阳性(<75%,≥55%的病例阳性): 儿童 NK/T 细胞淋巴瘤,EBV+、外周 T 细胞淋巴瘤、皮下脂膜炎样 T 细胞淋巴瘤、肠病相关 T 细胞淋巴瘤
有时阳性(<55%,≥35%的病例阳性): 母细胞性浆细胞样树突状细胞肿瘤、T 淋巴母细胞白血病/淋巴瘤、T 细胞淋巴瘤,Gamma/Delta
少数阳性(<35%,≥15%的病例阳性): 淋巴细胞消减型经典型霍奇金淋巴瘤
偶尔阳性(<15%,≥5%的病例阳性): 结节硬化型经典型霍奇金淋巴瘤
几乎全部阴性(<5%的病例阳性): 急性髓系白血病,NOS、弥漫大 B 型大 B 细胞淋巴瘤,非特指型、结直肠腺癌、恶性黑色素瘤、前列腺腺泡性癌、间皮瘤,NOS、皮肤基底细胞癌、肝细胞癌、膀胱尿路上皮癌、睾丸混合性生殖细胞肿瘤、滤泡性淋巴瘤 I 级、肾细胞癌、Burkitt 淋巴瘤、类癌、甲状腺髓样癌、甲状腺滤泡性腺瘤、甲状腺乳头状癌、经典型霍奇金淋巴瘤、涎腺导管腺癌、毛细胞白血病、孤立性浆细胞瘤、原发性渗出性淋巴瘤,HHV-8 相关、结节性淋巴细胞为主型霍奇金淋巴瘤、边缘区 B 细胞淋巴瘤、套细胞淋巴瘤、胆管癌、子宫内膜腺癌、皮肤 Merkel 细胞癌、乳腺浸润性癌,非特殊类型、肾上腺皮质肿瘤,NOS、混合细胞型经典型霍奇金淋巴瘤、上皮样肉瘤、T 细胞大颗粒淋巴细胞白血病、胃腺癌、肺腺癌、神经内分泌肿瘤、胰腺导管腺癌
← Fibronectin1 CD3 →