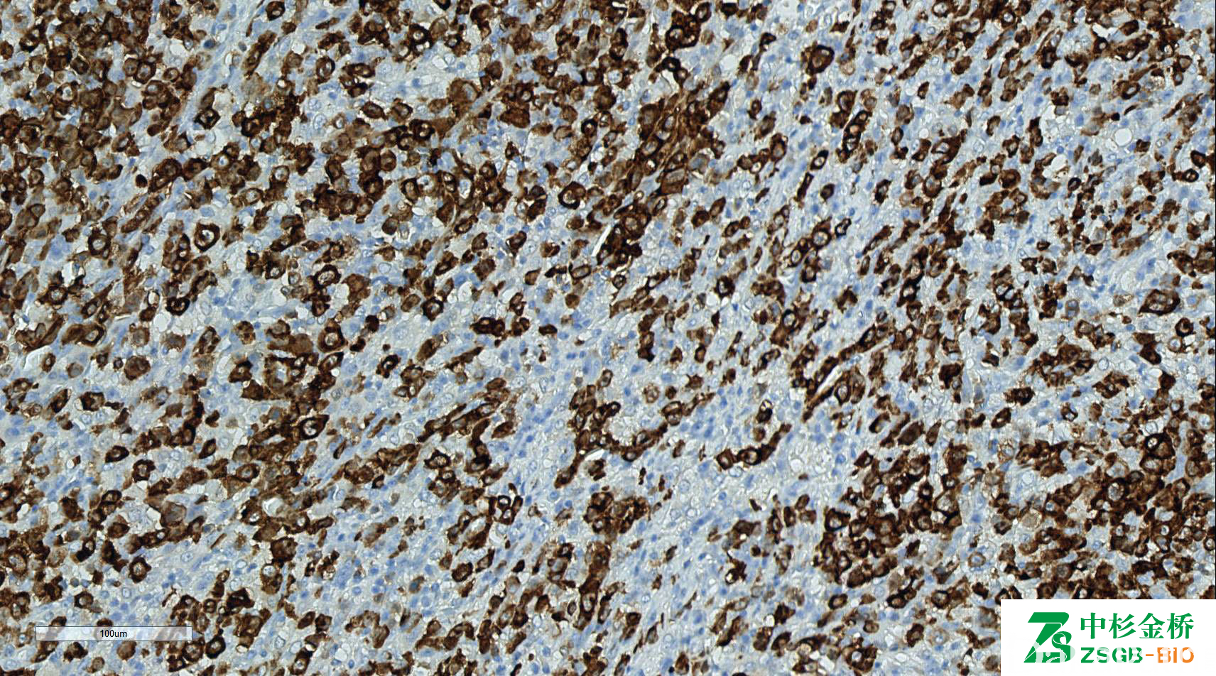
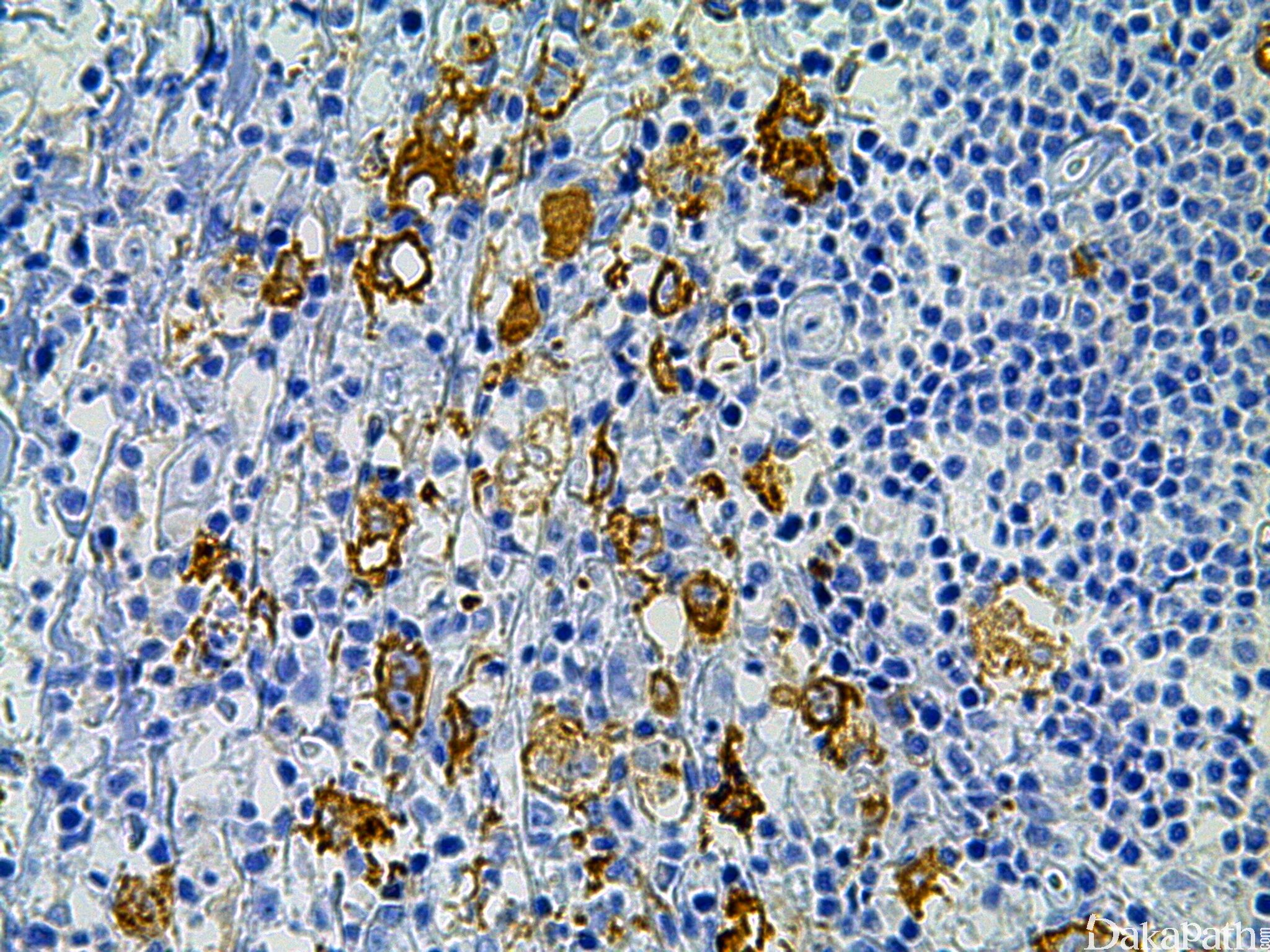
CD30

别名: Ki-1;KI-30 Ber-H2
概述:
淋巴细胞活化基因。标记大细胞间变性淋巴瘤,何杰金病 R-S 细胞,活化的 T、 B 细胞。胞膜和胞质阳性常见于淋巴造血系统肿瘤,包括 HL、ALCL 及部分大细胞淋巴瘤;弥漫阳性常见于非淋巴造血系统肿瘤,如胰腺癌、鼻咽癌、未分化癌及恶黑等。还可表达于生殖细胞性肿瘤,如胚胎性癌。
信号定位: 胞膜、胞质(高尔基区)、弥漫型
在病理学中的应用:
间变性大细胞淋巴瘤的诊断;
霍奇金淋巴瘤的诊断;
胚胎性癌(96%的病例阳性)与精原细胞瘤(0/89)、卵黄囊瘤(0/51)、绒毛膜癌(0/10)的鉴别诊断;
针对 CD30 阳性的非淋巴造血肿瘤,需同时标记 CK 及黑色素标记进一步鉴别上皮源性肿瘤或恶黑。
商品化试剂(排名不分先后,本网站对抗体质量不负责!)
公司 | 克隆号 | 即用型(ml) | 原液(ml) | ||||
赛诺特 | 1G12 | 1 | 3 | 6 | / | 0.1 | 0.2 |
Ber-H2 | 1 | 3 | 6 | / | / | / | |
基因科技 | JCM182 | / | 2 | 4 | 7 | / | 0.2 |
Ber-H2 | 1 | 2 | 4 | 7 | 0.2 | 1 | |
中杉金桥 | UMAB256 | 1.5 | 3 | 6 | / | 0.1 | 0.2 |
EP154 | |||||||
安必平 | Ber-H2 | 1.5 | 3 | 6 | / | 0.1 | 0.2 |
福建迈新 | Ber-H2 | 1.5 | 3 | 6 | / | / | 0.2 |
在肿瘤中的表达情况:
几乎全部阳性(≥95%的病例阳性): 经典型霍奇金淋巴瘤、淋巴瘤样丘疹病、间变性大细胞淋巴瘤,ALK 阴性、纤维瘤病、原发性渗出性淋巴瘤,HHV-8 相关、弥漫型腱鞘巨细胞瘤、上皮样炎性纤维母细胞肉瘤、特征介于弥漫大 B 细胞淋巴瘤和经典型霍奇金淋巴瘤之间的未分类 B 细胞淋巴瘤、淋巴细胞丰富型经典型霍奇金淋巴瘤、间变性大细胞淋巴瘤
通常阳性(<95%,≥75%的病例阳性): 睾丸混合性生殖细胞肿瘤、儿童 NK/T 细胞淋巴瘤,EBV+、胚胎性癌、毛发上皮瘤、淋巴细胞消减型经典型霍奇金淋巴瘤、混合细胞型经典型霍奇金淋巴瘤、结节硬化型经典型霍奇金淋巴瘤
经常阳性(<75%,≥55%的病例阳性): 涎腺导管腺癌、间皮增生、肠病相关 T 细胞淋巴瘤、NK 细胞淋巴瘤、纵膈大 B 细胞淋巴瘤、蕈样霉菌病,转化型、浆细胞骨髓瘤,浆母细胞性
有时阳性(<55%,≥35%的病例阳性): 胃泌素瘤、T 细胞淋巴瘤、结外 NK/T 细胞淋巴瘤,鼻型、窦组织细胞增生症伴巨大淋巴结肿大、平滑肌瘤
少数阳性(<35%,≥15%的病例阳性): 黏液性/圆细胞脂肪肉瘤、弥漫大 B 型大 B 细胞淋巴瘤,非特指型、纤维肉瘤、平滑肌肉瘤,NOS、间皮瘤,NOS、未分化多形性肉瘤、T 淋巴母细胞白血病/淋巴瘤、上皮样血管内皮瘤、恶性神经鞘瘤、尤文肉瘤、睾丸青春期后型卵黄囊瘤、血管肉瘤、结节性淋巴细胞为主型霍奇金淋巴瘤、T 细胞/组织细胞丰富型大 B 细胞淋巴瘤、外周 T 细胞淋巴瘤、皮下脂膜炎样 T 细胞淋巴瘤、ALK+ 大 B 细胞淋巴瘤、T 细胞淋巴瘤,Gamma/Delta
偶尔阳性(<15%,≥5%的病例阳性): 横纹肌肉瘤,NOS、皮肤基底细胞癌、滤泡性淋巴瘤、组织细胞肉瘤、炎性假瘤、系统性肥大细胞增生症、滑膜肉瘤、成人 T 细胞白血病/淋巴瘤、浆母细胞性淋巴瘤、胰腺导管腺癌
几乎全部阴性(<5%的病例阳性): 结直肠腺癌、恶性黑色素瘤、神经鞘膜瘤,NOS、前列腺腺泡性癌、肝细胞癌、滤泡性淋巴瘤 III 级、膀胱尿路上皮癌、肾细胞癌、B 淋巴母细胞白血病/淋巴瘤、Burkitt 淋巴瘤、子宫内膜绒毛膜癌、类癌、肺 NUT 癌、睾丸精母细胞性肿瘤、腺泡状软组织肉瘤、原始神经外胚层瘤、肺大细胞癌、胃肠道间质瘤、膀胱肉瘤样尿路上皮癌、恶性横纹肌样瘤、孤立性浆细胞瘤、葡萄状横纹肌肉瘤、非典型畸胎瘤样横纹肌样瘤、纵膈精原细胞瘤、耳鼻喉鳞状细胞癌、淋巴瘤、睾丸原位生殖细胞瘤、透明细胞肉瘤、睾丸精原细胞瘤、套细胞淋巴瘤,母细胞型、上皮样血管肉瘤、交指状树突状细胞肿瘤、生殖细胞肿瘤,非胚胎型、食管未分化癌、胆管癌、子宫内膜腺癌、脂肪瘤、乳腺浸润性癌,非特殊类型、甲状腺滤泡型乳头状癌、宫颈腺癌,非特指型、上皮样肉瘤、炎性黏液玻璃样变肿瘤、T 细胞大颗粒淋巴细胞白血病、血管内大 B 细胞淋巴瘤、卵巢卵黄囊瘤、胃腺癌、尿路淋巴上皮瘤样癌、生发中心进行性转化、原发皮肤侵袭性亲表皮 CD8+ 细胞毒性 T 细胞淋巴瘤、肺腺癌、种痘水疱病样 T 细胞淋巴瘤