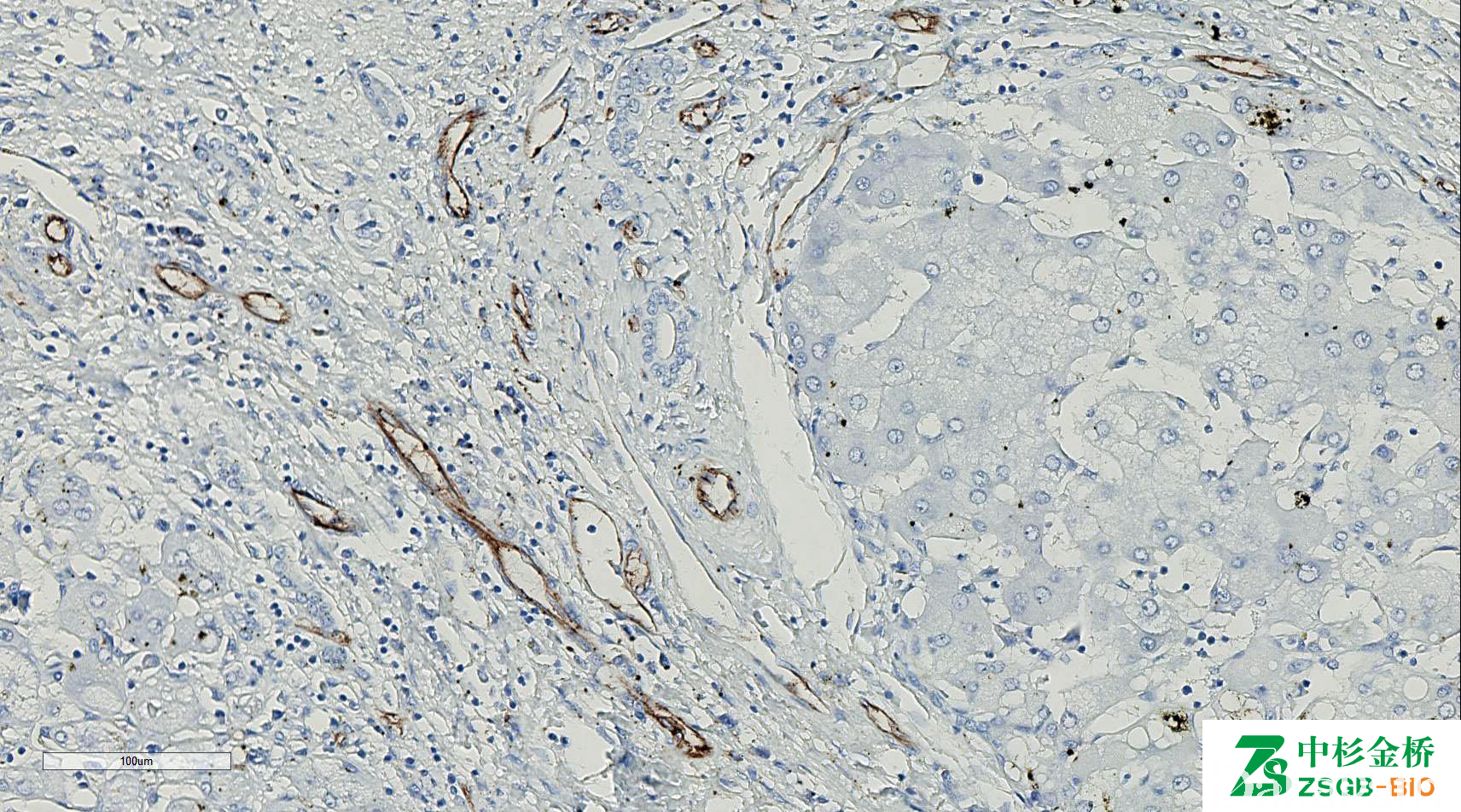
CD31

别名: PECAM-1
概述:
血小板内皮细胞黏附分子,是一种膜糖蛋白。属免疫球蛋白超家族,在所有连续性内皮表达,但不连续的血窦内皮不表达。巨核细胞、血小板、髓细胞、NK 细胞和部分 T、B 细胞也表达。
信号定位: 胞膜
在病理学中的应用:
血管内皮细胞肿瘤的诊断与鉴别诊断(比 CD34、VIII 因子更敏感、更特异)。
商品化试剂(排名不分先后,本网站对抗体质量不负责!)
公司 | 克隆号 | 即用型(ml) | 原液(ml) | ||||
赛诺特 | 1A10 | 1 | 3 | 6 | / | 0.1 | 0.2 |
JC70 | 1 | 3 | 6 | / | 0.1 | 0.2 | |
基因科技 | JC70A | 1 | 2 | 4 | 7 | 0.2 | 1 |
中杉金桥 | UMAB30 | 1.5 | 3 | 6 | / | 0.1 | 0.2 |
EP78 | |||||||
安必平 | JC70 | 1.5 | 3 | 6 | / | 0.1 | 0.2 |
福建迈新 | MX032 | 1.5 | 3 | 6 | / | / | 0.2 |
JC/70A | 1.5 | 3 | 6 | / | / | 0.2 | |
在肿瘤中的表达情况:
几乎全部阳性(≥95%的病例阳性): 鞋钉样血管瘤、血管内膜肉瘤、血管内皮瘤,NOS、血管内皮细胞瘤,Kaposi 型、血管内乳头状血管内皮瘤、血管瘤、海绵状血管瘤、上皮样血管瘤、毛细血管瘤、血管肌脂肪瘤、上皮样血管肉瘤、巨细胞血管母细胞瘤、黏液瘤,NOS、窦组织细胞增生症伴巨大淋巴结肿大、冬眠瘤、血管纤维瘤,幼年型、淋巴管内乳头状血管内皮瘤、血管肌瘤、Dabska 肿瘤、获得性簇状血管瘤
通常阳性(<95%,≥75%的病例阳性): 上皮样血管内皮瘤、淋巴管内皮瘤、组织细胞肉瘤、Kaposi 肉瘤、血管肉瘤、卵巢成人颗粒细胞瘤、窦岸细胞血管瘤
经常阳性(<75%,≥55%的病例阳性): 淋巴管瘤
有时阳性(<55%,≥35%的病例阳性): 化学感受器瘤、恶性外周神经鞘膜瘤、孤立性浆细胞瘤、黏液表皮样癌、幼年性黄色肉芽肿
少数阳性(<35%,≥15%的病例阳性): 肾上腺皮质癌、上皮样多形性脂肪肉瘤、肾母细胞瘤、甲状腺间变性癌、外周 T 细胞淋巴瘤、巨细胞型恶性纤维组织细胞瘤
偶尔阳性(<15%,≥5%的病例阳性): 血管周细胞瘤、前列腺腺泡性癌、间皮瘤,NOS、甲状腺乳头状癌、血管球瘤、淋巴瘤、壶腹胰胆管微乳头状癌、纵膈大 B 细胞淋巴瘤
几乎全部阴性(<5%的病例阳性): 黏液性/圆细胞脂肪肉瘤、弥漫大 B 型大 B 细胞淋巴瘤,非特指型、恶性黑色素瘤、横纹肌肉瘤,NOS、纤维肉瘤、隆突性皮肤纤维肉瘤、平滑肌肉瘤,NOS、神经鞘膜瘤,NOS、宫颈鳞状细胞癌、皮肤基底细胞癌、未分化多形性肉瘤、肝细胞癌、膀胱尿路上皮癌、肾细胞癌、子宫内膜间质肉瘤、皮肤纤维瘤、非典型纤维黄色瘤、神经鞘黏液瘤、类癌、甲状腺髓样癌、颗粒细胞瘤、甲状腺滤泡性癌、肺 NUT 癌、乳腺导管原位癌、腺泡状软组织肉瘤、球旁细胞瘤、外周神经鞘瘤、巨细胞血管纤维瘤、细胞性血管纤维瘤、腺样囊性癌、嗜铬细胞瘤、肺大细胞癌、胃肠道间质瘤、尤文肉瘤、腺泡状横纹肌肉瘤、涎腺腺泡细胞癌、乳腺浸润性微乳头状癌、促结缔组织增生性小圆细胞肿瘤、骨外黏液性软骨肉瘤、耳鼻喉鳞状细胞癌、鼻血管周细胞瘤、纤维瘤病、透明细胞肉瘤、脑膜瘤,NOS、肺鳞状细胞癌、骨巨细胞瘤、局限性恶性间皮瘤、间叶性软骨肉瘤、节细胞神经瘤、小细胞性骨肉瘤、良性纤维组织细胞瘤、血管母细胞瘤、生殖细胞肿瘤,非胚胎型、血管肌纤维母细胞瘤、树突状细胞神经纤维瘤伴假菊型团、硬化性神经束膜瘤、嗅神经母细胞瘤、胆管癌、胆囊腺癌、子宫内膜腺癌、乳腺叶状肿瘤,上皮成分、软骨母细胞瘤,NOS、腺瘤样瘤,NOS、肺硬化性肺细胞瘤、乳腺浸润性癌,非特殊类型、滑膜肉瘤、丛状纤维组织细胞瘤、浆细胞骨髓瘤、上皮样肉瘤、血管内大 B 细胞淋巴瘤、脑膜瘤,血管母细胞性、肝结节性异型增生、胃腺癌、上皮样纤维组织细胞瘤、上皮样肉瘤,横纹肌样特征、平滑肌瘤、乳腺叶状肿瘤,梭形细胞成分、腺样鳞状细胞癌、肺腺癌、胰腺导管腺癌