CD34

别名: hematopoietic progenitor cell antigen CD34
概述:
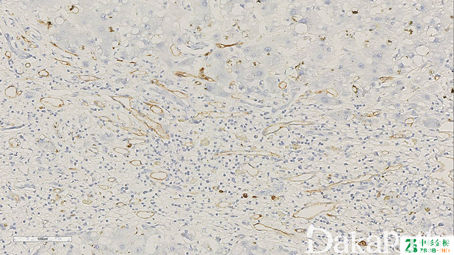
CD34 是一种分子量 110kDa 的单链穿膜蛋白,作为一种内皮细胞标记物被广泛应用在病理诊断及研究中。标记不成熟造血细胞、血管内皮细胞、胚胎纤维母细胞和某些神经组织细胞。
信号定位: 胞膜
在病理学中的应用:
血管内皮细胞来源肿瘤的诊断;
与 CD117 联用用于胃肠道间质瘤的诊断;
血管周细胞瘤、孤立性纤维性肿瘤的诊断;
隆突性皮肤纤维肉瘤与良性皮肤纤维瘤的鉴别诊断;
乳腺梭形细胞癌与叶状肿瘤(CD34+)的鉴别诊断;
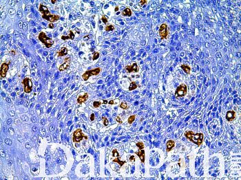
急性白血病的辅助诊断(标记母细胞)。
商品化试剂(排名不分先后,本网站对抗体质量不负责!)
公司 | 克隆号 | 即用型(ml) | 原液(ml) | ||||
赛诺特 | QBEnd/10 | 1 | 3 | 6 | / | 0.1 | 0.2 |
基因科技 | QBEnd 10 | 1 | 2 | 4 | 7 | 0.2 | 1 |
中杉金桥 | QBEnd/10 | 1.5 | 3 | 6 | / | 0.1 | 0.2 |
EP88 | |||||||
安必平 | QBEnd/10 | 1.5 | 3 | 6 | / | 0.1 | 0.2 |
福建迈新 | QBEnd/10 | / | 3 | 6 | / | / | / |
在肿瘤中的表达情况:
几乎全部阳性(≥95%的病例阳性): 血管内皮瘤,NOS、血管内皮细胞瘤,Kaposi 型、血管内乳头状血管内皮瘤、硬化性纤维瘤、恶性孤立性纤维性肿瘤、淋巴管内皮瘤、恶性神经鞘瘤、海绵状血管瘤、球旁细胞瘤、巨细胞血管纤维瘤、毛细血管瘤、恶性潜能未定的平滑肌肿瘤、子宫内膜透明细胞癌、肺淋巴管平滑肌瘤病、皮肤纤维肉瘤、前列腺恶性潜能未定的间质肿瘤、脊索样胶质瘤、脂肪瘤、急性髓系白血病(M6)、肝细胞腺瘤、脂肪母细胞瘤、树突状纤维黏液脂肪瘤、梭形细胞脂肪瘤、血管纤维瘤,幼年型、多形性脂肪瘤、肌间脂肪瘤、淋巴管内乳头状血管内皮瘤、前列腺间质肉瘤、丛状神经纤维瘤、色素性神经纤维瘤
通常阳性(<95%,≥75%的病例阳性): 隆突性皮肤纤维肉瘤、肝细胞癌、孤立性纤维性肿瘤、上皮样血管内皮瘤、血管瘤、上皮样血管瘤、胃肠自主神经瘤、上皮样外周神经鞘瘤、Kaposi 肉瘤、神经纤维瘤病相关性胃肠道间质瘤、神经纤维瘤、血管肉瘤、乳腺交界性叶状肿瘤、乳腺良性叶状肿瘤、黏液纤维肉瘤、肌纤维母细胞瘤、树突状细胞神经纤维瘤伴假菊型团、黏液瘤,NOS、弹力纤维瘤、节细胞胶质瘤、血管中心性神经上皮肿瘤、肝局灶结节增生、急性髓系白血病(M1)、浅表宫颈阴道肌纤维母细胞瘤、肢端浅表纤维黏液瘤、青春期外阴纤维瘤
经常阳性(<75%,≥55%的病例阳性): 急性髓系白血病,NOS、真皮肌纤维瘤、血管周细胞瘤、肾混合性上皮和间质肿瘤,间质成分、B 淋巴母细胞白血病/淋巴瘤、胃肠道间质瘤、神经束膜瘤、胃肠外间质肿瘤、淋巴管瘤、胶质肉瘤,肉瘤成分、脑膜瘤,血管母细胞性、非典型性脑膜瘤、子宫上皮样平滑肌肉瘤、乳腺叶状肿瘤,梭形细胞成分、窦岸细胞血管瘤、多形性玻璃样变血管扩张性肿瘤
有时阳性(<55%,≥35%的病例阳性): 多形性脂肪肉瘤、非典型性脂肪瘤性肿瘤、细胞性血管纤维瘤、黏液恶性纤维组织细胞瘤、胃肠血管球瘤、乳腺恶性叶状肿瘤、急性髓系白血病(M4)、指获得性反应性纤维瘤、上皮样肉瘤、脑膜瘤,纤维型、钙化性纤维瘤、十二指肠间质肿瘤、上皮样肉瘤,横纹肌样特征、急性白血病,混合表型
少数阳性(<35%,≥15%的病例阳性): 血管内膜肉瘤、神经鞘膜瘤,NOS、T 淋巴母细胞白血病/淋巴瘤、恶性外周神经鞘膜瘤、上皮肌上皮癌、神经鞘黏液瘤、胃泌素瘤、甲状腺乳头状癌、腺泡状软组织肉瘤、外周神经鞘瘤、急性髓系白血病(M2)、葡萄状横纹肌肉瘤、去分化脂肪肉瘤、痣,NOS、脑膜瘤,NOS、血管肌脂肪瘤、上皮样炎性纤维母细胞肉瘤、急性巨核细胞白血病、多形性黄色瘤样星形细胞瘤、腱膜钙化性纤维瘤、黏液性神经纤维瘤
偶尔阳性(<15%,≥5%的病例阳性): 黏液性/圆细胞脂肪肉瘤、纤维肉瘤、皮肤基底细胞癌、未分化多形性肉瘤、肾细胞癌、皮肤纤维瘤、肺 NUT 癌、促结缔组织增生性黑色素瘤、滑膜肉瘤,单向分化、甲状腺间变性癌、滑膜肉瘤,双向型、鼻血管周细胞瘤、低级别纤维黏液肉瘤、透明细胞肉瘤、急性髓系白血病(M5)、血管肌纤维母细胞瘤、非典型纤维性组织细胞瘤、甲状腺腺瘤、卵巢成人颗粒细胞瘤、上皮样平滑肌瘤、急性髓系白血病(M3)、冬眠瘤
几乎全部阴性(<5%的病例阳性): 细胞性上皮样神经纤维瘤、肌上皮瘤、弥漫大 B 型大 B 细胞淋巴瘤,非特指型、化学感受器瘤、结直肠腺癌、囊性肾瘤-囊上皮、恶性黑色素瘤、横纹肌肉瘤,NOS、上皮样间皮瘤、母细胞性浆细胞样树突状细胞肿瘤、前列腺腺泡性癌、间皮瘤,NOS、膀胱尿路上皮癌、乳腺化生性癌、肾上腺皮质癌、子宫内膜间质肉瘤、副神经节瘤、Burkitt 淋巴瘤、胰腺实性假乳头状肿瘤、子宫内膜间质肿瘤、卵巢微囊性间质肿瘤、颗粒细胞瘤、慢性髓系白血病、软骨肉瘤、组织细胞肉瘤、化生性胸腺瘤,梭形细胞成分、胸腺化生性胸腺瘤,上皮成分、经典型霍奇金淋巴瘤、星形细胞瘤,高分化、原始神经外胚层瘤、骨外尤文肉瘤、毛细胞白血病、腹壁韧带样纤维瘤病、肺大细胞癌、膀胱肉瘤样尿路上皮癌、多形性平滑肌肉瘤、尤文肉瘤、腺泡状横纹肌肉瘤、低分化滑膜肉瘤、血管周上皮样细胞肿瘤、促结缔组织增生性小圆细胞肿瘤、神经母细胞瘤、淋巴瘤、纤维瘤病、炎性假瘤、深部韧带样纤维瘤病、肺鳞状细胞癌、结节性筋膜炎、急性髓系白血病(M7)、脊索瘤、结节性淋巴细胞为主型霍奇金淋巴瘤、间叶性软骨肉瘤、节细胞神经瘤、小细胞性骨肉瘤、肌纤维瘤、良性纤维组织细胞瘤、栅栏样包裹性神经瘤、生殖细胞肿瘤,非胚胎型、副脊索瘤、肺弥漫性脑膜样上皮瘤病、脑垂体梭形细胞嗜酸细胞瘤、骨纤维结构不良、黏膜相关淋巴组织边缘区 B 细胞淋巴瘤、造釉细胞瘤、T 细胞淋巴瘤、边缘区 B 细胞淋巴瘤、滑膜肉瘤,单向分化,纤维型、卵巢硬化性间质瘤、间皮瘤,双向分化、硬化性神经束膜瘤、嗅神经母细胞瘤、黄色瘤、胆管癌、横纹肌样瘤、软骨母细胞瘤,NOS、皮肤 Merkel 细胞癌、腺瘤样瘤,NOS、肺硬化性肺细胞瘤、喉梭形细胞癌、乳腺浸润性癌,非特殊类型、滑膜肉瘤、丛状纤维组织细胞瘤、神经鞘黏液瘤,细胞型和混合性、结节硬化型经典型霍奇金淋巴瘤、胰腺横纹肌样未分化癌、浅表纤维瘤病、浅表血管黏液瘤、脂肪母细胞性神经鞘瘤、低分化硬化性脂肪肉瘤、血管内大 B 细胞淋巴瘤、涎腺小管腺瘤、黄色肉芽肿、瘢痕疙瘩、骨骨软骨黏液瘤、上皮样纤维组织细胞瘤、脂肪肉瘤、骨外间叶性软骨肉瘤、细胞性纤维组织细胞瘤、肺硬化性肺细胞瘤,多角形细胞、肺硬化性肺细胞瘤,立方细胞、急性嗜碱粒细胞白血病、慢性嗜酸细胞白血病、皮肤恶性色素性神经外胚层肿瘤、皮肤附属器透明细胞癌、皮肤纤维性神经束膜瘤、腺样鳞状细胞癌、肺腺癌、慢性淋巴细胞白血病/B 小淋巴细胞淋巴瘤、上皮样神经鞘瘤