CD4

别名: OKT4
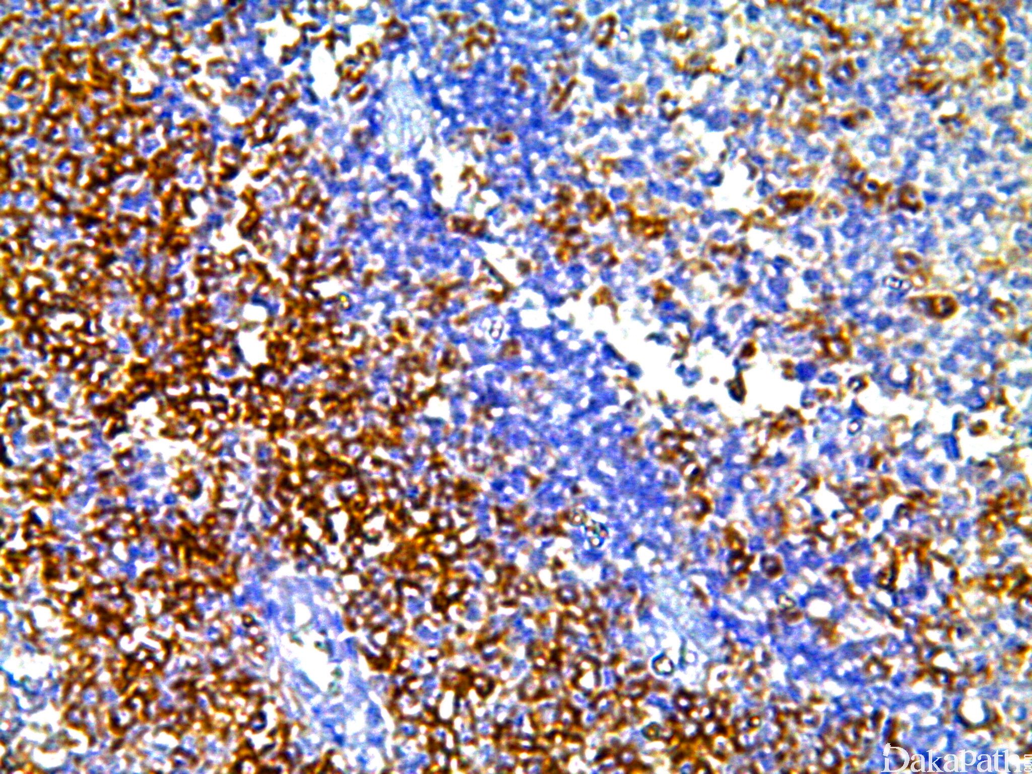
概述:
辅助 T 细胞标志物。多数巨噬细胞、滤泡树状突细胞、Langerhans 细胞也阳性。
信号定位: 胞膜
在病理学中的应用:
T 细胞淋巴瘤的诊断与分类。
- Common marker for T cells; used to classify lymphomas and inflammatory conditions
- Serum levels are marker of HIV disease progression and response to HAART therapy (CD4+ cells are killed by HIV, Am J Clin Pathol 2010;134:556), although serum levels also increased by transient stress (Am J Clin Pathol 2002;117:819)
- Serum levels used to diagnose idiopathic CD4 lymphocytopenia (Obstet Gynecol 2013;122:455)
商品化试剂(排名不分先后,本网站对抗体质量不负责!)
公司 | 克隆号 | 即用型(ml) | 原液(ml) | ||||
基因科技 | EP204 | / | 2 | 4 | 7 | / | 0.2 |
赛诺特 | 4B12 | 1 | 3 | 6 | / | 0.1 | 0.2 |
EP204 | 1 | 3 | 6 | / | 0.1 | 0.2 | |
中杉金桥 | UMAB64 | 1.5 | 3 | 6 | / | 0.1 | 0.2 |
EP204 | |||||||
安必平 | SP35 | 1.5 | 3 | 6 | / | 0.1 | 0.2 |
福建迈新 | SP35 | 1.5 | 3 | 6 | / | / | 0.2 |
在肿瘤中的表达情况:
几乎全部阳性(≥95%的病例阳性): 弥漫大 B 型大 B 细胞淋巴瘤,非特指型、T 细胞淋巴瘤、原发皮肤小/中等 CD4+ T 细胞淋巴瘤
通常阳性(<95%,≥75%的病例阳性): 母细胞性浆细胞样树突状细胞肿瘤、组织细胞肉瘤、幼年性黄色肉芽肿、外周 T 细胞淋巴瘤、NK 细胞淋巴瘤
有时阳性(<55%,≥35%的病例阳性): 间变性大细胞淋巴瘤,ALK 阴性
少数阳性(<35%,≥15%的病例阳性): 淋巴细胞消减型经典型霍奇金淋巴瘤、间变性大细胞淋巴瘤,ALK 阳性、浆细胞骨髓瘤,浆母细胞性
偶尔阳性(<15%,≥5%的病例阳性): 结外 NK/T 细胞淋巴瘤,鼻型、皮下脂膜炎样 T 细胞淋巴瘤、肠病相关 T 细胞淋巴瘤、浆母细胞性淋巴瘤
几乎全部阴性(<5%的病例阳性): 结直肠腺癌、恶性黑色素瘤、前列腺腺泡性癌、间皮瘤,NOS、皮肤基底细胞癌、肝细胞癌、膀胱尿路上皮癌、睾丸混合性生殖细胞肿瘤、肾细胞癌、皮肤纤维瘤、类癌、甲状腺髓样癌、甲状腺滤泡性腺瘤、甲状腺乳头状癌、经典型霍奇金淋巴瘤、涎腺导管腺癌、淋巴瘤样丘疹病、儿童 NK/T 细胞淋巴瘤,EBV+、结节性淋巴细胞为主型霍奇金淋巴瘤、胆管癌、子宫内膜腺癌、皮肤 Merkel 细胞癌、乳腺浸润性癌,非特殊类型、肾上腺皮质肿瘤,NOS、混合细胞型经典型霍奇金淋巴瘤、结节硬化型经典型霍奇金淋巴瘤、上皮样肉瘤、胃腺癌、T 细胞淋巴瘤,Gamma/Delta、肺腺癌、种痘水疱病样 T 细胞淋巴瘤、神经内分泌肿瘤、胰腺导管腺癌