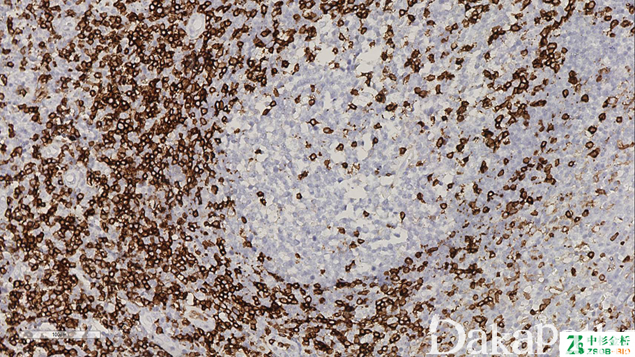
CD45RO

别名: UCHL1, A6, OPD4;UCHL-1
概述:
活化 T 细胞标志,表达于大多数胞腺细胞、T 细胞、粒细胞、成熟单核细胞以及部分巨噬细胞。
信号定位: 胞膜
在病理学中的应用:
- T 细胞淋巴瘤与 B 细胞淋巴瘤的鉴别。75%的 T 细胞淋巴瘤阳性,如 AITL、PTCL-NOS、皮肤 T 细胞淋巴瘤、肝/脾 T 细胞淋巴瘤等。
2.25%的 AML;组织细胞肉瘤;
多发性骨髓瘤;一些浆细胞肿瘤;
大多数 B 细胞、B 细胞淋巴瘤阴性;不表达 NK 细胞、癌、自身免疫性淋巴组织增生综合征。
- T cell marker for diagnosis and classification of lymphoma
- Identify T cell subsets (i.e. memory T cells)
商品化试剂(排名不分先后,本网站对抗体质量不负责!)
公司 | 克隆号 | 即用型(ml) | 原液(ml) | ||||
赛诺特 | UCHL1 | 1 | 3 | 6 | / | 0.1 | 0.2 |
基因科技 | UCHL1 | 1 | 2 | 4 | 7 | / | 0.2 |
中杉金桥 | UCHL1 | 1.5 | 3 | 6 | / | 0.1 | 0.2 |
安必平 | UCHL-1 | 1.5 | 3 | 6 | / | 0.1 | 0.2 |
福建迈新 | UCHL-1 | 1.5 | 3 | 6 | / | / | 0.2 |
在肿瘤中的表达情况:
几乎全部阳性(≥95%的病例阳性): 间变性大细胞淋巴瘤,ALK 阴性、皮下脂膜炎样 T 细胞淋巴瘤、T 细胞大颗粒淋巴细胞白血病、间变性大细胞淋巴瘤,ALK 阳性、种痘水疱病样 T 细胞淋巴瘤
通常阳性(<95%,≥75%的病例阳性): 组织细胞肉瘤、外周 T 细胞淋巴瘤
经常阳性(<75%,≥55%的病例阳性): 恶性黑色素瘤、T 淋巴母细胞白血病/淋巴瘤、肾细胞癌、T 细胞淋巴瘤、结外 NK/T 细胞淋巴瘤,鼻型、T 细胞淋巴瘤,Gamma/Delta
有时阳性(<55%,≥35%的病例阳性): 结直肠腺癌、孤立性浆细胞瘤
少数阳性(<35%,≥15%的病例阳性): B 淋巴母细胞白血病/淋巴瘤、淋巴瘤、乳腺浸润性癌,非特殊类型
偶尔阳性(<15%,≥5%的病例阳性): 急性髓系白血病,NOS、弥漫大 B 型大 B 细胞淋巴瘤,非特指型、Burkitt 淋巴瘤、经典型霍奇金淋巴瘤、结节性淋巴细胞为主型霍奇金淋巴瘤、结节硬化型经典型霍奇金淋巴瘤、淋巴瘤样肉芽肿
几乎全部阴性(<5%的病例阳性): 横纹肌肉瘤,NOS、间皮瘤,NOS、滤泡性淋巴瘤、滤泡性淋巴瘤 I 级、皮肤纤维瘤、子宫内膜绒毛膜癌、类癌、原始神经外胚层瘤、毛细胞白血病、肺大细胞癌、尤文肉瘤、睾丸青春期后型卵黄囊瘤、炎性假瘤、胚胎性癌、间叶性软骨肉瘤、小细胞性骨肉瘤、交指状树突状细胞肿瘤、脾脏边缘区淋巴瘤、黏膜相关淋巴组织边缘区 B 细胞淋巴瘤、边缘区 B 细胞淋巴瘤、套细胞淋巴瘤、肺胸区恶性小圆细胞肿瘤、去分化软骨肉瘤、淋巴细胞消减型经典型霍奇金淋巴瘤、混合细胞型经典型霍奇金淋巴瘤、胃腺癌、纵膈大 B 细胞淋巴瘤、肺腺癌