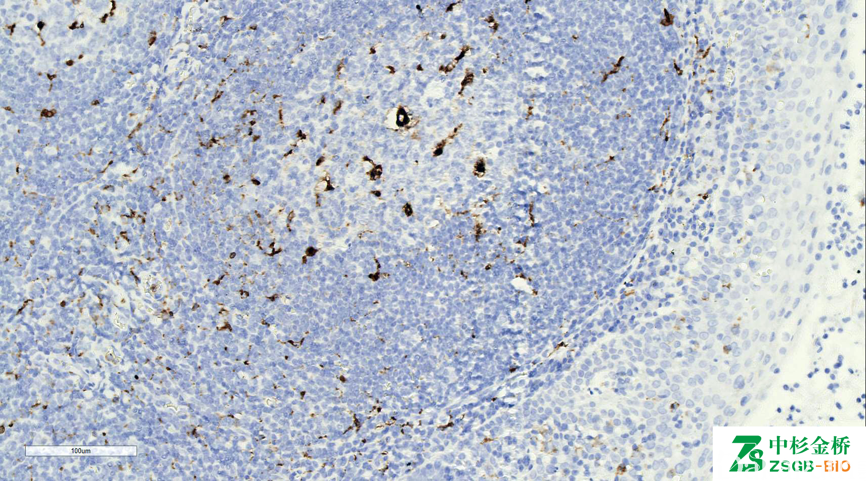
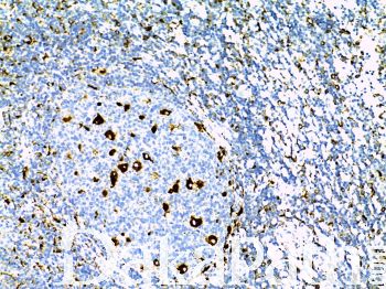
CD68

别名: KP1、PGM1
概述:
KP1:分子量为 110kDa 的糖蛋白,与溶酶体颗粒有关。标记巨噬细胞、外周血的单核细胞、骨髓前体细胞和外周血粒细胞,比 PG-M1 克隆广谱;PG-M1:主要用于标记巨噬细胞,组织细胞及其肿瘤,还可与反应性淋巴结中的浆细胞性 T 细胞反应; G 不与粒细胞及其前体细胞反应。
信号定位: 胞浆
在病理学中的应用:
表达广泛,特异性差,主要用于组织细胞及其肿瘤的诊断。
商品化试剂(排名不分先后,本网站对抗体质量不负责!)
公司 | 克隆号 | 即用型(ml) | 原液(ml) | ||||
赛诺特 | 514H12 | 1 | 3 | 6 | / | 0.1 | 0.2 |
KP-1 | 1 | 3 | 6 | / | 0.1 | 0.2 | |
基因科技 | KP1 | 1 | 2 | 4 | 7 | / | 0.2 |
PG-M1 | 1 | 2 | 4 | 7 | 0.2 | 1 | |
中杉金桥 | KP1 | 1.5 | 3 | 6 | / | 0.1 | 0.2 |
PG-M1 | 1.5 | 3 | 6 | / | 0.1 | 0.2 | |
安必平 | Kp-1 | 1.5 | 3 | 6 | / | 0.1 | 0.2 |
福建迈新 | KP1 | / | 3 | 6 | / | / | / |
在肿瘤中的表达情况:
几乎全部阳性(≥95%的病例阳性): 血管瘤样纤维组织细胞瘤、混合性少突-星形细胞瘤、组织细胞肉瘤、嗜铬细胞瘤、骨巨细胞瘤,巨细胞、血管肌脂肪瘤、结节性筋膜炎、骨巨细胞瘤、幼年性黄色肉芽肿、肝纤维板层型肝细胞癌、恶性腱鞘巨细胞瘤、巨细胞血管母细胞瘤、良性纤维组织细胞瘤、弥漫型腱鞘巨细胞瘤、黄色瘤、卵巢成人颗粒细胞瘤、组织细胞/树突状细胞肉瘤、宫颈腺癌,非特指型、多形性黄色瘤样星形细胞瘤、窦组织细胞增生症伴巨大淋巴结肿大、腱膜钙化性纤维瘤、髓系白血病、先天性颗粒细胞瘤、非骨化性纤维瘤、黄色肉芽肿、纤维组织细胞瘤、上皮样纤维组织细胞瘤、钙化性纤维瘤、慢性粒-单核白血病、窦岸细胞血管瘤
通常阳性(<95%,≥75%的病例阳性): 宫颈高级别鳞状上皮内病变、母细胞性浆细胞样树突状细胞肿瘤、颗粒细胞瘤、慢性髓系白血病、淋巴瘤、系统性肥大细胞增生症、乳腺良性叶状肿瘤、急性髓系白血病(M5)、急性髓系白血病(M4)、黏膜相关淋巴组织边缘区 B 细胞淋巴瘤、宫颈低级别鳞状上皮内病变
经常阳性(<75%,≥55%的病例阳性): 恶性黑色素瘤、非典型纤维黄色瘤、神经鞘黏液瘤、毛细胞白血病、滑膜肉瘤,双向型、神经纤维瘤、交指状树突状细胞肿瘤、颗粒细胞型星形细胞瘤(大脑半球)、上皮样炎性纤维母细胞肉瘤、丛状纤维组织细胞瘤、多形性胶质母细胞瘤、炎性黏液玻璃样变肿瘤、神经纤维肉瘤、环状肉芽肿
有时阳性(<55%,≥35%的病例阳性): 急性髓系白血病,NOS、细胞性神经鞘黏液瘤、血管周细胞瘤、未分化多形性肉瘤、滤泡性淋巴瘤 III 级、肾细胞癌、皮肤纤维瘤、恶性神经鞘瘤、滤泡树突状细胞肿瘤、急性髓系白血病(M2)、炎性假瘤、血管瘤样恶性纤维组织细胞瘤、小细胞性骨肉瘤、淋巴管瘤、间变性星形细胞瘤、软骨样脂肪瘤、急性髓系白血病(M6)、急性髓系白血病(M3)、急性髓系白血病(M1)、平滑肌瘤
少数阳性(<35%,≥15%的病例阳性): 黏液性/圆细胞脂肪肉瘤、横纹肌肉瘤,NOS、平滑肌肉瘤,NOS、神经鞘膜瘤,NOS、肝细胞癌、滤泡性淋巴瘤、血管瘤、原始神经外胚层瘤、血管周上皮样细胞肿瘤、Kaposi 肉瘤、低级别纤维黏液肉瘤、血管肉瘤、结节硬化型经典型霍奇金淋巴瘤、胃腺癌
偶尔阳性(<15%,≥5%的病例阳性): 皮肤鳞状细胞癌、结直肠腺癌、纤维肉瘤、隆突性皮肤纤维肉瘤、间皮瘤,NOS、类癌、多形性脂肪肉瘤、尤文肉瘤、孤立性浆细胞瘤、痣,NOS、间叶性软骨肉瘤、T 细胞淋巴瘤、滑膜肉瘤
几乎全部阴性(<5%的病例阳性): 弥漫大 B 型大 B 细胞淋巴瘤,非特指型、间变性室管膜瘤、脑膜瘤,乳头状、前列腺腺泡性癌、皮肤基底细胞癌、T 淋巴母细胞白血病/淋巴瘤、膀胱尿路上皮癌、恶性外周神经鞘膜瘤、上皮样血管内皮瘤、滤泡性淋巴瘤 I 级、上皮肌上皮癌、B 淋巴母细胞白血病/淋巴瘤、Burkitt 淋巴瘤、胃泌素瘤、软骨肉瘤、上皮样血管瘤、经典型霍奇金淋巴瘤、骨外尤文肉瘤、肺大细胞癌、胃肠道间质瘤、膀胱肉瘤样尿路上皮癌、恶性横纹肌样瘤、黏液恶性纤维组织细胞瘤、腺泡状横纹肌肉瘤、促结缔组织增生性小圆细胞肿瘤、骨外黏液性软骨肉瘤、鼻咽癌,角化性、鼻血管周细胞瘤、透明细胞肉瘤、深部韧带样纤维瘤病、急性髓系白血病(M7)、结节性淋巴细胞为主型霍奇金淋巴瘤、局限性恶性间皮瘤、节细胞神经瘤、脑垂体梭形细胞嗜酸细胞瘤、脾脏边缘区淋巴瘤、边缘区 B 细胞淋巴瘤、硬化性神经束膜瘤、套细胞淋巴瘤、上皮样纤维肉瘤、黏液瘤,NOS、子宫内膜腺癌、非典型纤维性组织细胞瘤、皮肤 Merkel 细胞癌、腺瘤样瘤,NOS、肺硬化性肺细胞瘤、肺胸区恶性小圆细胞肿瘤、乳腺浸润性癌,非特殊类型、甲状腺腺瘤、弥漫性纤维型星形细胞瘤、急性巨核细胞白血病、淋巴细胞消减型经典型霍奇金淋巴瘤、混合细胞型经典型霍奇金淋巴瘤、胶原性纤维瘤、指获得性反应性纤维瘤、外周 T 细胞淋巴瘤、上皮样肉瘤、血管纤维瘤,幼年型、上皮样滋养层细胞肿瘤、胚胎性横纹肌瘤、肺硬化性肺细胞瘤,多角形细胞、肺硬化性肺细胞瘤,立方细胞、纵膈大 B 细胞淋巴瘤、急性白血病,混合表型、急性嗜碱粒细胞白血病、慢性嗜酸细胞白血病、皮肤纤维性神经束膜瘤、肺腺癌