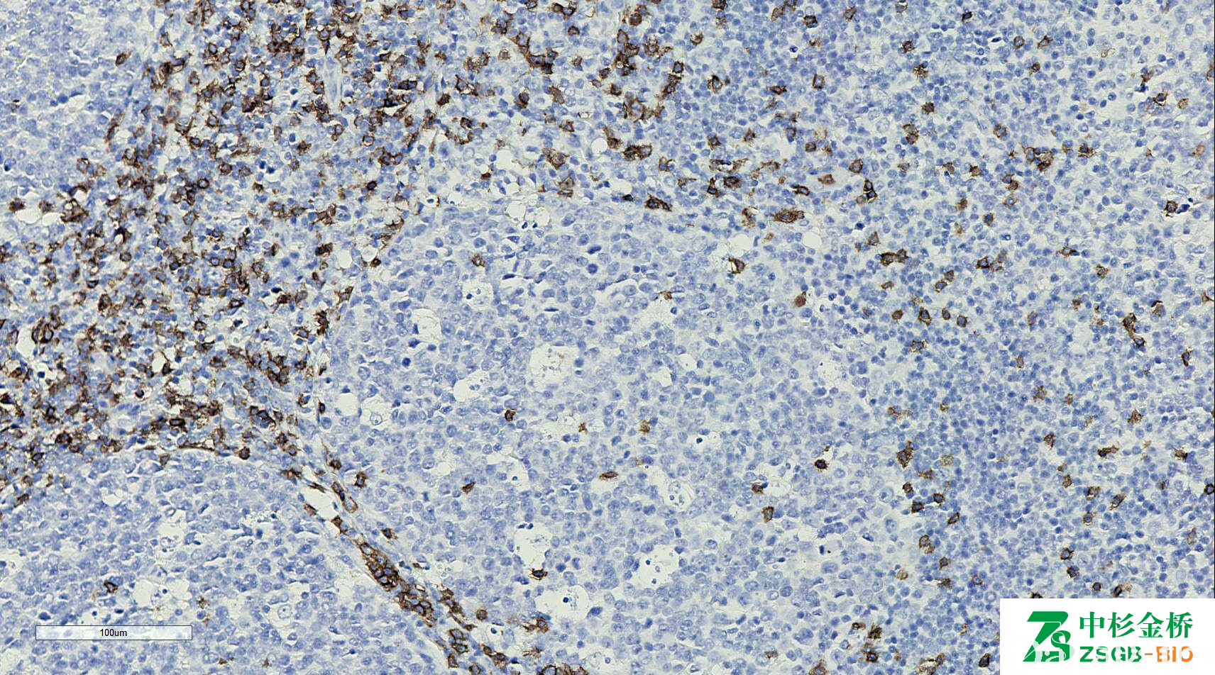
CD8

别名: OKT8
概述:
细胞毒 T 细胞标志物,免疫球蛋白超家族成员,一种细胞表面糖蛋白。
信号定位: 胞膜
在病理学中的应用:
T 细胞淋巴瘤的诊断及分型。
- Marker of T cells (normal and malignant)
- Marker of cytotoxic / suppressor T cells
- Classify lymphomas
- Differentiate splenic hamartoma (CD8+) from hemangioma or littoral cell angioma (CD8-)
- Note: use of CD3, CD8 does NOT improve detection of gluten-sensitive enteropathy in duodenal biopsies (Mod Pathol 2013 Apr 5 [Epub ahead of print])
商品化试剂(排名不分先后,本网站对抗体质量不负责!)
公司 | 克隆号 | 即用型(ml) | 原液(ml) | ||||
基因科技 | SP16 | 2 | 4 | 7 | / | / | 0.2 |
C8/114B | 2 | 4 | 7 | / | / | 0.2 | |
赛诺特 | 1A5 | 1 | 3 | 6 | / | 0.1 | 0.2 |
SP16 | 1 | 3 | 6 | / | 0.1 | 0.2 | |
C8/144B | 1 | 3 | 6 | / | 0.1 | 0.2 | |
中杉金桥 | SP16 | 1.5 | 3 | 6 | / | 0.1 | 0.2 |
安必平 | SP16 | 1.5 | 3 | 6 | / | 0.1 | 0.2 |
福建迈新 | SP16 | 1.5 | 3 | 6 | / | / | 0.2 |
在肿瘤中的表达情况:
几乎全部阳性(≥95%的病例阳性): 种痘水疱病样 T 细胞淋巴瘤
通常阳性(<95%,≥75%的病例阳性): 皮下脂膜炎样 T 细胞淋巴瘤
经常阳性(<75%,≥55%的病例阳性): 肠病相关 T 细胞淋巴瘤
少数阳性(<35%,≥15%的病例阳性): 淋巴瘤样丘疹病、血管肉瘤、儿童 NK/T 细胞淋巴瘤,EBV+、结外 NK/T 细胞淋巴瘤,鼻型、外周 T 细胞淋巴瘤、NK 细胞淋巴瘤、T 细胞淋巴瘤,Gamma/Delta
偶尔阳性(<15%,≥5%的病例阳性): 血管瘤
几乎全部阴性(<5%的病例阳性): 结直肠腺癌、恶性黑色素瘤、前列腺腺泡性癌、间皮瘤,NOS、皮肤基底细胞癌、肝细胞癌、膀胱尿路上皮癌、睾丸混合性生殖细胞肿瘤、肾细胞癌、类癌、甲状腺髓样癌、甲状腺滤泡性腺瘤、甲状腺乳头状癌、经典型霍奇金淋巴瘤、涎腺导管腺癌、炎性假瘤、结节性淋巴细胞为主型霍奇金淋巴瘤、局限性恶性间皮瘤、胆管癌、子宫内膜腺癌、皮肤 Merkel 细胞癌、喉梭形细胞癌、乳腺浸润性癌,非特殊类型、肾上腺皮质肿瘤,NOS、淋巴细胞消减型经典型霍奇金淋巴瘤、混合细胞型经典型霍奇金淋巴瘤、结节硬化型经典型霍奇金淋巴瘤、上皮样肉瘤、胃腺癌、肺腺癌、神经内分泌肿瘤、胰腺导管腺癌、窦岸细胞血管瘤