CK-PAN (OSCAR)

别名: Oscar Keratin,OSCAR cytokeratin,CK-OSCAR
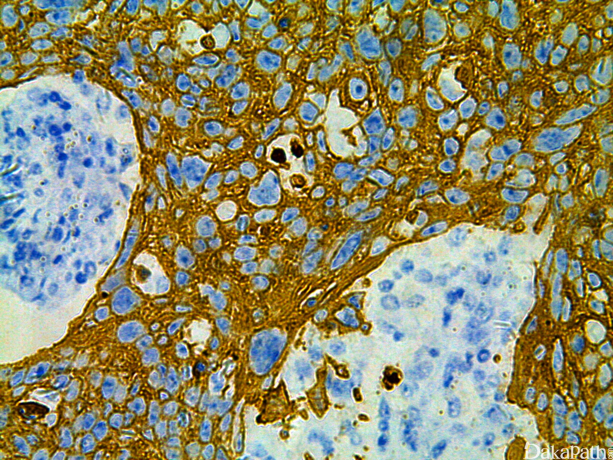
概述:
广谱细胞角蛋白,表达于细胞浆
信号定位: 胞质
在病理学中的应用:
上皮源性肿瘤与非上皮源性肿瘤的鉴别诊断。
商品化试剂(排名不分先后,本网站对抗体质量不负责!)
公司 | 克隆号 | 即用型(ml) | 原液(ml) | ||||
基因科技 | AE1/3 | 1 | 2 | 4 | 7 | 0.2 | 1 |
赛诺特 | AE1/AE3 | 1 | 3 | 6 | / | 0.1 | 0.2 |
中杉金桥 | AE1/AE3 | 1.5 | 3 | 6 | / | 0.1 | 0.2 |
安必平 | AE1/AE3 | 1.5 | 3 | 6 | / | 0.1 | 0.2 |