CK17

别名: Cytokeratin 17 (CK17, K17)
概述:
I 型细胞角蛋白,分子量 48kD,
信号定位: 胞质
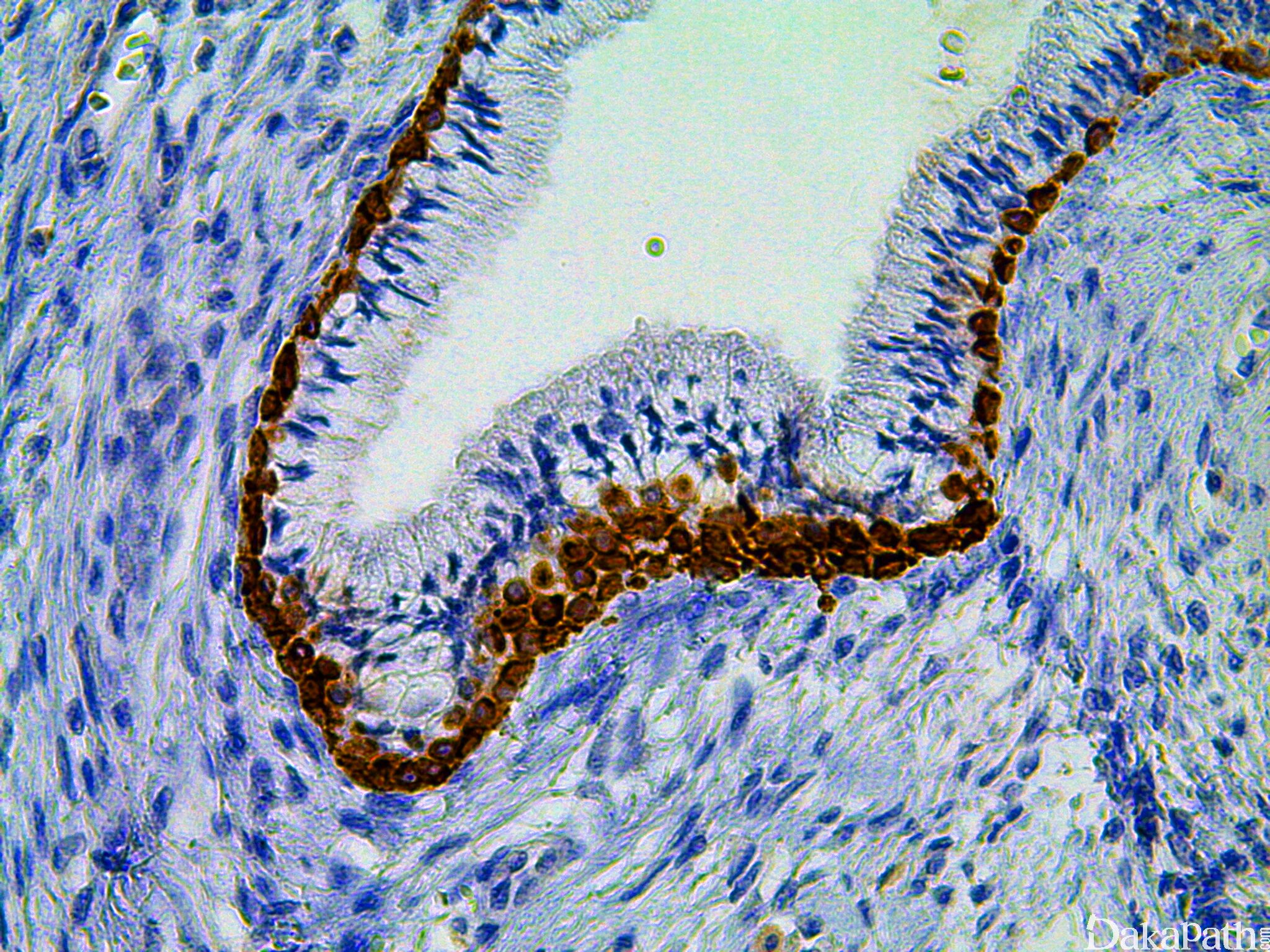
在病理学中的应用:
鉴别胰胆管腺癌 (CK17+) 与肝外胆管非黏液性腺癌(CK17-);
胆管癌与肝细胞癌的鉴别;
肾尿路上皮癌(CK5/CK6+, CK17+, vimentin-)集合管癌(CK5/CK6-, CK17-, vimentin+);
乳腺与涎腺管内癌与浸润癌的鉴别。
商品化试剂(排名不分先后,本网站对抗体质量不负责!)
公司 | 克隆号 | 即用型(ml) | 原液(ml) | ||||
基因科技 | E3 | / | 2 | 4 | 7 | / | 0.2 |
赛诺特 | E3 | 1 | 3 | 6 | / | 0.1 | 0.2 |
EP98 | |||||||
中杉金桥 | EP98 | 1.5 | 3 | 6 | / | 0.1 | 0.2 |
安必平 | Ks17. E3 | 1.5 | 3 | 6 | / | 0.1 | 0.2 |
在肿瘤中的表达情况:
几乎全部阳性(≥95%的病例阳性): 上皮肌上皮癌、腺样囊性癌、乳腺基底样导管内癌、黏液表皮样癌,低级别、甲状腺滤泡型乳头状癌、颅咽管瘤,造釉细胞瘤型、肛管鳞状细胞癌、肛管鳞状细胞癌、皮肤附属器透明细胞癌
通常阳性(<95%,≥75%的病例阳性): 肺鳞状细胞癌、上皮样肉瘤、胰腺导管腺癌
经常阳性(<75%,≥55%的病例阳性): 胰腺及壶腹腺癌、宫颈鳞状细胞癌、乳腺化生性癌、肺大细胞癌、胰腺腺癌、胆管癌、基底样鳞状细胞癌、胰胆管腺癌、尿路上皮癌
有时阳性(<55%,≥35%的病例阳性): 宫颈高级别鳞状上皮内病变、壶腹腺癌,胰胆管型、壶腹腺癌、壶腹部腺鳞癌
少数阳性(<35%,≥15%的病例阳性): 胃腺癌,远端、恶性横纹肌样瘤、食管腺癌、脑膜瘤,分泌性、胃腺癌,胃底、肾集合管癌、肺腺癌
偶尔阳性(<15%,≥5%的病例阳性): 结直肠腺癌、壶腹腺癌,肠型、肾细胞癌、肺贴壁型腺癌、涎腺腺泡细胞癌、喉梭形细胞癌、肝内胆管细胞癌、甲状腺玻璃样变梁状肿瘤
几乎全部阴性(<5%的病例阳性): 肾嫌色细胞癌、前列腺腺泡性癌、乳头状肾细胞癌、皮肤基底细胞癌、卵巢黏液性癌、脊索瘤、肾髓质癌、中肾腺瘤、卵巢浆液性癌、大细胞神经内分泌癌、胃腺癌、肾黏液管状和梭形细胞癌、上皮样肉瘤,横纹肌样特征、乳腺叶状肿瘤,梭形细胞成分、壶腹印戒细胞癌、肾嗜酸细胞瘤