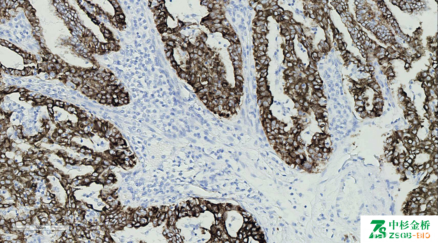
CK19

概述:
识别 40kDa 的细胞角蛋白 19,相对分子质量 45000,是分子量最低的角蛋白,与 CK7—起被称为胆管型细胞角蛋白。CK19 对肝细胞不着色,对胆管上皮和肝内胆管细胞癌(ICC)具有特异性染色。
信号定位: 胞质
在病理学中的应用:
甲状腺滤泡性乳头状癌与滤泡癌的鉴别;
胆管细胞癌与肝细胞癌的鉴别;
脊索瘤与副脊索瘤的鉴别。
商品化试剂(排名不分先后,本网站对抗体质量不负责!)
公司 | 克隆号 | 即用型(ml) | 原液(ml) | ||||
基因科技 | GTM4 | / | 2 | 4 | 7 | / | 0.2 |
RCK108 | 1 | 2 | 4 | 7 | 0.2 | 1 | |
赛诺特 | B170 | 1 | 3 | 6 | / | 0.1 | 0.2 |
A53-B/A2.26 | 1 | 3 | 6 | / | 0.1 | 0.2 | |
中杉金桥 | UMAB2 | 1.5 | 3 | 6 | / | 0.1 | 0.2 |
安必平 | A53-B/A2.26 | 1.5 | 3 | 6 | / | 0.1 | 0.2 |
在肿瘤中的表达情况:
几乎全部阳性(≥95%的病例阳性): 结直肠腺癌、囊性肾瘤-囊上皮、膀胱尿路上皮癌、乳腺导管原位癌、食管鳞状细胞癌、肝混合性肝细胞胆管癌、阑尾腺癌、肺贴壁型腺癌、涎腺腺泡细胞癌、黏液表皮样癌、鼻咽癌,角化性、乳腺黏液癌、肺鳞状细胞癌、壶腹腺癌,胰胆管型、脊索瘤、食管腺癌、结直肠黏液性腺癌、乳腺筛状癌、胆道腺瘤、基底样鳞状细胞癌、腺瘤样瘤,NOS、乳腺浸润性导管癌,低级别、乳腺小管癌、肺贴壁型腺癌,黏液性、小肠腺癌、黏液表皮样癌,低级别、乳腺癌,腔 B 型、乳腺癌,腔 A 型、颅咽管瘤,造釉细胞瘤型、胃肝样腺癌、上皮样肉瘤,横纹肌样特征、肺腺癌、胰腺导管腺癌、乳腺柱状细胞变
通常阳性(<95%,≥75%的病例阳性): 壶腹腺癌,肠型、淋巴细胞性甲状腺炎(乔本甲状腺炎)、甲状腺乳头状癌、肝硬化型肝细胞癌、鼻窦未分化癌、滑膜肉瘤,单向分化、耳鼻喉鳞状细胞癌、胚胎性癌、乳腺良性叶状肿瘤、毛发上皮瘤、脊索样胶质瘤、壶腹腺癌、胆管癌、胆囊腺癌、耳鼻喉非角化性鳞状细胞癌、乳腺伴大汗腺分化的癌、乳腺浸润性癌,非特殊类型、甲状腺滤泡型乳头状癌、肝内胆管细胞癌、胰腺导管内管状乳头状肿瘤、涎腺小管腺瘤、肝混合性肝细胞胆管细胞癌,胆管癌成分、胃腺癌、食管基底样鳞状细胞癌、滑膜肉瘤,双向型,梭形细胞成分、尿路上皮癌、肛管腺癌、甲状腺巨滤泡型乳头状癌、乳腺导管内乳头状瘤
经常阳性(<75%,≥55%的病例阳性): 皮脂腺腺癌、乳头状肾细胞癌、胰腺腺泡细胞癌、上皮肌上皮癌、甲状腺滤泡性癌、膀胱肉瘤样尿路上皮癌、骨纤维结构不良、造釉细胞瘤、滑膜肉瘤,单向分化,纤维型、乳腺浸润性导管癌,高级别、滑膜肉瘤、上皮样肉瘤、肾集合管癌
有时阳性(<55%,≥35%的病例阳性): 乳腺化生性癌、肾细胞癌、肺 NUT 癌、腺样囊性癌、低分化滑膜肉瘤、鲍温病、甲状腺岛状癌、间变性脑膜瘤、甲状腺嗜酸细胞腺癌、甲状腺玻璃样变梁状肿瘤、乳腺髓样癌、神经内分泌肿瘤
少数阳性(<35%,≥15%的病例阳性): 肾嫌色细胞癌、胰母细胞瘤、皮肤鳞状细胞癌、透明细胞肾细胞癌、甲状腺滤泡性腺瘤、甲状腺结节性增生、原始神经外胚层瘤、上皮样胃肠道间质瘤、恶性横纹肌样瘤、甲状腺间变性癌、上皮样血管肉瘤、室管膜瘤、耳鼻喉梭形细胞癌、非典型性脑膜瘤、肝混合性肝细胞胆管细胞癌,肝细胞癌成分、恶性潜能未定的高分化甲状腺肿瘤、甲状腺结节性乳头状增生、肾嗜酸细胞瘤
偶尔阳性(<15%,≥5%的病例阳性): 肝细胞癌、尤文肉瘤、垂体腺瘤、睾丸精原细胞瘤、喉梭形细胞癌、小汗腺汗孔癌、脑膜瘤,微囊性、脑膜瘤,砂粒体型、脑膜瘤,横纹肌样、脑膜瘤,纤维型、脑膜瘤,移行型、乳腺浸润性小叶癌、甲状腺非典型腺瘤、鲍温样丘疹病
几乎全部阴性(<5%的病例阳性): 横纹肌肉瘤,NOS、平滑肌肉瘤,NOS、神经鞘膜瘤,NOS、恶性外周神经鞘膜瘤、上皮样血管内皮瘤、肾上腺皮质癌、软骨肉瘤、海绵状血管瘤、静脉血管瘤、涎腺导管腺癌、肾上腺皮脂腺瘤、胃肠道间质瘤、毛细血管瘤、血管球瘤、胃肠血管球瘤、Kaposi 肉瘤、骨外黏液性软骨肉瘤、纤维瘤病、血管肉瘤、间叶性软骨肉瘤、纤维结构不良、梭形细胞血管瘤、乳腺叶状肿瘤,上皮成分、囊性肾瘤-间质、中肾腺瘤、胰腺未分化癌伴破骨巨细胞、甲状腺未分化癌、甲状腺嗜酸细胞腺瘤、乳腺癌伴印戒细胞样细胞分化