CK7

概述:
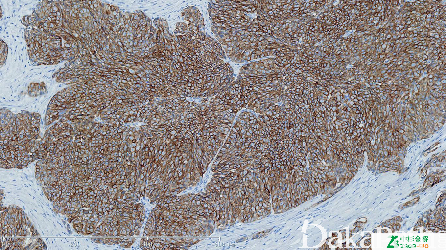
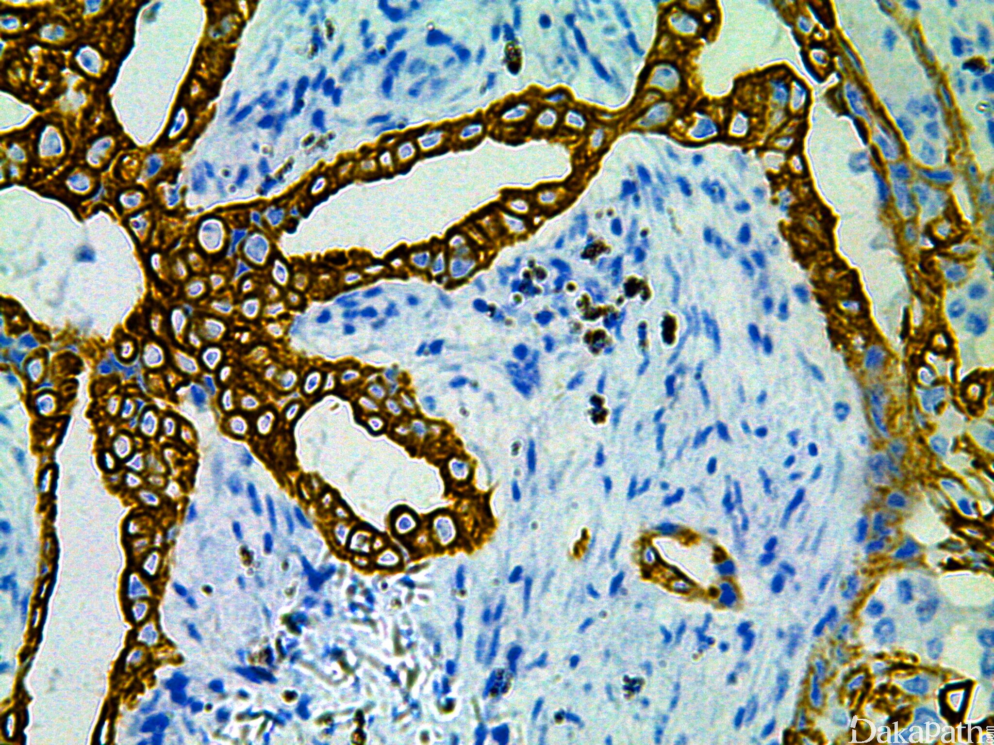
阳性:肺、乳腺、子宫内膜、甲状腺及卵巢的腺癌,移行细胞癌等, 需与 CK20 参照
信号定位: 胞质
在病理学中的应用:
肺腺癌与鳞癌的鉴别诊断,但特异性差;
与 CK20 联用用于转移性腺癌癌原发部位的推断。
商品化试剂(排名不分先后,本网站对抗体质量不负责!)
公司 | 克隆号 | 即用型(ml) | 原液(ml) | ||||
基因科技 | OV-TL 12/30 | 1 | 2 | 4 | 7 | 0.2 | 1 |
赛诺特 | RN7 | 1 | 3 | 6 | / | 0.1 | 0.2 |
OV-TL 12/30 | |||||||
中杉金桥 | UMAB161 | 1.5 | 3 | 6 | / | 0.1 | 0.2 |
EP16 | |||||||
安必平 | OV-TL 12/30 | 1.5 | 3 | 6 | / | 0.1 | 0.2 |
在肿瘤中的表达情况:
几乎全部阳性(≥95%的病例阳性): 卵巢子宫内膜样癌、胰腺及壶腹腺癌、囊性肾瘤-囊上皮、皮脂腺腺癌、卵巢子宫内膜样交界性肿瘤/非典型增生性子宫内膜样肿瘤、上皮样间皮瘤、中肾瘤,NOS、上皮肌上皮癌、胰腺黏液性囊性肿瘤、肾混合性上皮和间质肿瘤,上皮、甲状腺髓样癌、甲状腺滤泡性腺瘤、肺透明细胞癌、前列腺腺样囊腺癌,基底细胞、涎腺母细胞瘤、甲状腺滤泡性癌、乳腺导管原位癌、甲状腺乳头状癌、肝混合性肝细胞胆管癌、涎腺导管腺癌、肺贴壁型腺癌、卵巢低级别浆液性癌、涎腺腺泡细胞癌、卵巢黏液性交界性肿瘤/非典型增生性黏液性肿瘤、黏液表皮样癌、滑膜肉瘤,双向型、胰腺母细胞瘤、膀胱透明细胞癌、肺肉瘤样癌、阴道腺癌、阴道鳞状细胞癌、卵巢恶性 brenner 瘤、宫颈子宫内膜样癌、肺贴壁型腺癌,黏液非黏液混合性、胰腺腺癌、局限性恶性间皮瘤、涎腺黏液性腺癌、涎腺透明细胞腺癌、涎腺类似于乳腺的分泌性癌、肺细胞腺肌上皮瘤,肌上皮成分、肺细胞腺肌上皮瘤,上皮成分、皮肤黏液癌、分泌黏液的内分泌汗腺癌、鼻窦腺癌,非肠型、胰腺腺泡细胞囊腺瘤、肾髓质癌、食管未分化癌、胰腺黏液性囊腺癌、胆道腺瘤、乳腺叶状肿瘤,上皮成分、乳腺 Paget 病、腺瘤样瘤,NOS、肺硬化性肺细胞瘤、卵巢透明细胞癌、乳腺伴大汗腺分化的癌、肺贴壁型腺癌,黏液性、睾丸交界性乳头状浆液性肿瘤、腹膜原发性腺癌、涎腺腺淋巴瘤、黏液表皮样癌,低级别、肺腺鳞癌、乳腺癌,腔 B 型、卵巢交界性 Brenner 瘤、甲状腺滤泡型乳头状癌、卵巢 Brenner 瘤、脑膜瘤,分泌性、睾丸浆液性囊腺瘤、结直肠苗勒管癌、肝内胆管细胞癌、宫颈腺癌,非特指型、肺印戒细胞癌、胰腺导管内管状乳头状肿瘤、子宫内膜浆液性癌、宫颈黏液腺癌,非特指型、壶腹腺瘤、巢状尿路上皮癌、涎腺小管腺瘤、浸润性微乳头涎腺导管癌、鳞状细胞乳头状瘤、宫颈腺癌,肠型、上皮样肉瘤,横纹肌样特征、甲状腺玻璃样变梁状肿瘤、肺肠型腺癌、肺嗜酸细胞腺癌、肺黏液表皮样癌、胆管内乳头状-管状肿瘤、肝外胆管乳头状腺癌、肛周 Paget 病伴直肠腺癌、输卵管透明细胞乳头状囊腺瘤、壶腹部腺鳞癌、肾源性腺瘤、多形性腺瘤、乳腺髓样癌、肺腺癌、小汗腺圆柱瘤、乳腺癌伴印戒细胞样细胞分化、乳腺圆柱瘤
通常阳性(<95%,≥75%的病例阳性): 肾嫌色细胞癌、透明细胞乳头状肾细胞癌、鼻窦腺癌,肠型、间皮瘤,NOS、宫颈鳞状细胞癌、乳头状肾细胞癌、膀胱尿路上皮癌、胰腺腺泡细胞癌、乳腺化生性癌、胰腺导管内乳头状肿瘤、子宫内膜腺癌,NOS、卵巢非小细胞神经内分泌癌、耵聍腺癌、腺样囊性癌、肺大细胞癌、耵聍腺腺瘤、乳腺浸润性微乳头状癌、子宫内膜黏液腺癌、乳腺黏液癌、胚胎性癌、卵巢黏液性癌、壶腹腺癌,胰胆管型、膀胱浸润性尿路上皮癌、食管腺癌、中线外室管膜瘤、膀胱腺癌,非特指型、淋巴管瘤、壶腹神经内分泌癌,高级别、滑膜肉瘤,单向分化,纤维型、壶腹腺癌、胆管癌、胆囊腺癌、子宫内膜腺癌、脉络丛乳头状瘤,NOS、乳腺外 Paget 病、乳腺浸润性癌,非特殊类型、乳腺乳头状癌、乳腺癌,腔 A 型、肺浸润性黏液腺癌、胰胆管腺癌、胃腺癌,胃底、颅咽管瘤,造釉细胞瘤型、卵巢浆液性癌、前列腺产黏液腺癌,尿路上皮型、膀胱黏液性癌、胃黏液腺癌、十二指肠腺瘤,非壶腹部、间变性脑膜瘤、肝混合性肝细胞胆管细胞癌,胆管癌成分、肾黏液管状和梭形细胞癌、尿路上皮癌、乳腺浸润性小叶癌、胆囊胆管型癌、肛周 Paget 病、壶腹癌、胰腺导管腺癌
经常阳性(<75%,≥55%的病例阳性): 胰腺腺癌,肠型、肾小细胞嗜酸细胞瘤、壶腹腺癌,肠型、管囊性肾细胞癌、良性胸腺瘤、膀胱肉瘤样尿路上皮癌、滑膜肉瘤,单向分化、胃印戒细胞癌、子宫内膜透明细胞癌、胰腺导管内乳头状黏液性肿瘤、腺样基底细胞癌、胰腺腺鳞癌、软骨母细胞瘤,NOS、膀胱鳞状细胞癌、滑膜肉瘤、小肠腺癌、胰腺横纹肌样未分化癌、胃腺癌、滑膜肉瘤,上皮成分、直肠鳞状细胞癌、淋巴瘤样或浆细胞样尿路上皮癌、肾集合管癌、尿路淋巴上皮瘤样癌
有时阳性(<55%,≥35%的病例阳性): 微囊性附属器癌、胃腺癌,远端、上皮样血管内皮瘤、肾细胞癌伴 t(X;17)(p11;q25)、阴道混合瘤、恶性混合性苗勒管肿瘤、肺 NUT 癌、肝硬化型肝细胞癌、静脉血管瘤、鼻窦未分化癌、阑尾腺癌、低分化滑膜肉瘤、纵膈精原细胞瘤、耳鼻喉鳞状细胞癌、肺鳞状细胞癌、肝外胆管癌、透明细胞软骨肉瘤、耳鼻喉神经内分泌癌、大细胞神经内分泌癌、宫颈淋巴上皮瘤样癌、非典型性脑膜瘤、脑膜瘤,砂粒体型、滑膜肉瘤,双向型,梭形细胞成分、壶腹印戒细胞癌
少数阳性(<35%,≥15%的病例阳性): 皮肤鳞状细胞癌、胸腺黏液表皮样癌、结直肠腺癌、肌上皮癌、前列腺腺泡性癌、皮肤基底细胞癌、肝细胞癌、肾细胞癌、乳头状肾细胞癌伴嗜酸细胞、食管鳞状细胞癌、恶性横纹肌样瘤、阑尾囊腺瘤、乳腺恶性叶状肿瘤、乳腺交界性叶状肿瘤、乳腺良性叶状肿瘤、毛发上皮瘤、间皮增生、上皮样血管肉瘤、脊索瘤、结直肠黏液性腺癌、颅外脑膜瘤、中肾腺瘤、脐尿管低度恶性潜能未定的黏液性囊性肿瘤、结直肠印戒细胞癌、上皮样肉瘤、壶腹黏液性腺癌、肝混合性肝细胞胆管细胞癌,肝细胞癌成分、胃肝样腺癌、脑膜瘤,微囊性、脑膜瘤,横纹肌样、脑膜瘤,移行型、肛管腺癌、肾嗜酸细胞瘤、皮肤附属器透明细胞癌
偶尔阳性(<15%,≥5%的病例阳性): 透明细胞肾细胞癌、类癌、海绵状血管瘤、毛细血管瘤、肾母细胞瘤、脑膜瘤,NOS、垂体腺瘤、外阴鳞状细胞癌、室管膜瘤、皮肤 Merkel 细胞癌、耳鼻喉非角化性鳞状细胞癌、肛管鳞状细胞癌、肛管鳞状细胞癌、脑膜瘤,纤维型、结直肠淋巴上皮瘤样癌
几乎全部阴性(<5%的病例阳性): 弥漫大 B 型大 B 细胞淋巴瘤,非特指型、肾细胞癌伴 t(6;11)(p21;q12)、恶性黑色素瘤、横纹肌肉瘤,NOS、恶性外周神经鞘膜瘤、肾上腺皮质癌、副神经节瘤、神经鞘黏液瘤、肾细胞癌伴 Xp11.2 异位、软骨肉瘤、腺泡状软组织肉瘤、原始神经外胚层瘤、上皮样外周神经鞘瘤、嗜铬细胞瘤、胃肠道间质瘤、尤文肉瘤、孤立性浆细胞瘤、睾丸青春期后型卵黄囊瘤、Kaposi 肉瘤、促结缔组织增生性小圆细胞肿瘤、骨外黏液性软骨肉瘤、鼻咽癌,角化性、鼻血管周细胞瘤、纤维瘤病、炎性假瘤、血管肉瘤、透明细胞肉瘤、血管肌脂肪瘤、肝母细胞瘤、恶性嗜铬细胞瘤、间叶性软骨肉瘤、小细胞性骨肉瘤、皮肤纤维肉瘤、生殖细胞肿瘤,非胚胎型、副脊索瘤、鲍温病、肌纤维母细胞瘤、肾上腺嗜酸细胞性肾上腺皮质肿瘤、梭形细胞血管瘤、硬化性神经束膜瘤、嗅神经母细胞瘤、喉梭形细胞癌、精囊腺腺癌、耳鼻喉梭形细胞癌、脐尿管黏液性囊腺瘤、阴经鳞状细胞癌、乳腺叶状肿瘤,梭形细胞成分、阑尾印戒细胞癌、前庭大腺腺癌、神经内分泌肿瘤