CK8

别名: 35bH11
概述:
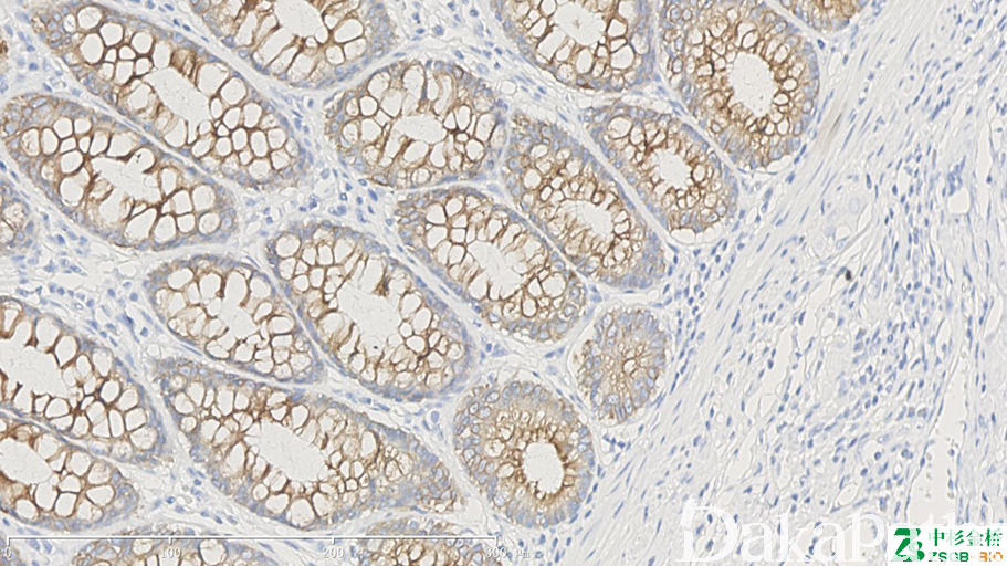
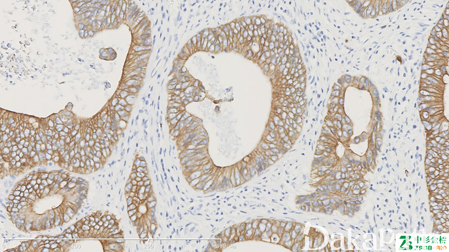
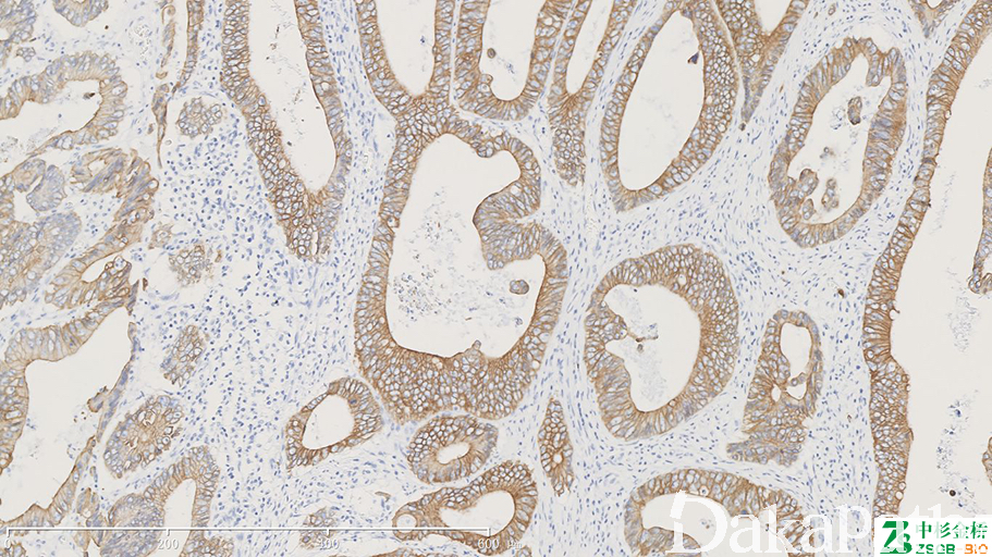
低分子角蛋白(52.5-53.5kD)。正常非鳞状上皮表达。可表达于卵巢腺癌、胃肠道腺癌、甲状腺癌、肝癌、子宫体癌。
信号定位: 胞质
在病理学中的应用:
上皮源性肿瘤的诊断;
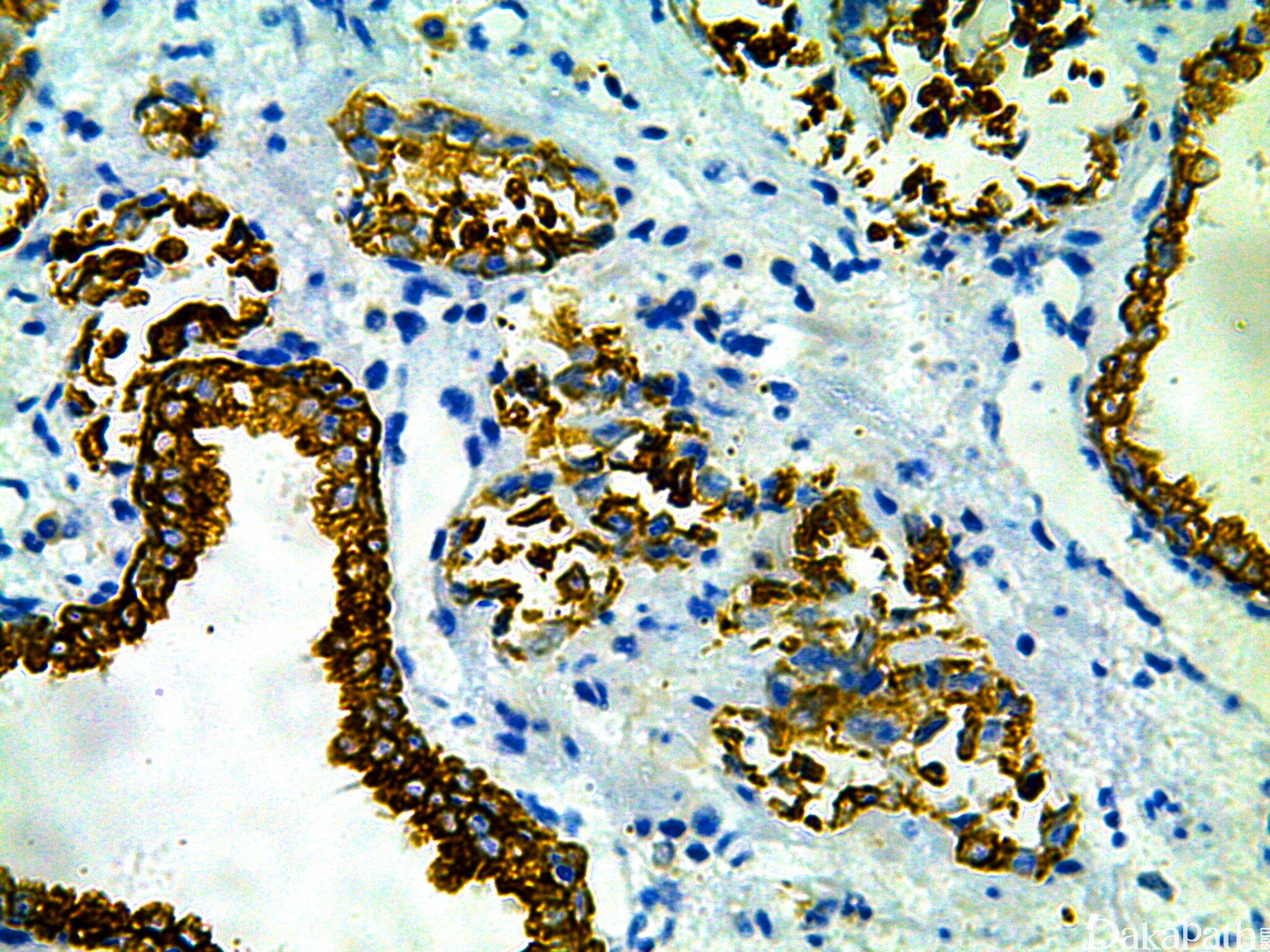
乳腺小叶癌(核周阳性)与导管癌(细胞浆周边阳性)的鉴别诊断。
- Confirm epithelial nature of tissue / tumors
- Assess sentinel lymph nodes in colon carcinoma (Scand J Gastroenterol 2006;41:1073)
商品化试剂(排名不分先后,本网站对抗体质量不负责!)
公司 | 克隆号 | 即用型(ml) | 原液(ml) | ||||
基因科技 | GTM1 | / | 2 | 4 | 7 | / | 0.2 |
TS1 | 1 | 2 | 4 | 7 | / | 0.2 | |
赛诺特 | TS1 | 1 | 3 | 6 | / | 0.1 | 0.2 |
中杉金桥 | TS1 | 1.5 | 3 | 6 | / | 0.1 | 0.2 |
安必平 | 35βH11 | 1.5 | 3 | 6 | / | 0.1 | 0.2 |
在肿瘤中的表达情况:
几乎全部阳性(≥95%的病例阳性): 结直肠腺癌、上皮样间皮瘤、间皮瘤,NOS、上皮肌上皮癌、管囊性肾细胞癌、类癌、甲状腺滤泡性腺瘤、甲状腺滤泡性癌、甲状腺乳头状癌、食管鳞状细胞癌、腺样囊性癌、阑尾腺癌、恶性横纹肌样瘤、涎腺腺泡细胞癌、黏液表皮样癌、乳腺黏液癌、胚胎性癌、胰腺母细胞瘤、脊索瘤、涎腺类似于乳腺的分泌性癌、肾髓质癌、间皮瘤,双向分化、胆管癌、子宫内膜腺癌、乳腺 Paget 病、腺瘤样瘤,NOS、乳腺伴大汗腺分化的癌、乳腺浸润性癌,非特殊类型、小肠腺癌、前列腺基底细胞增生、黏液表皮样癌,低级别、乳腺癌,腔 B 型、乳腺癌,腔 A 型、脑膜瘤,分泌性、胃肝样腺癌、胃腺癌、滑膜肉瘤,上皮成分、上皮样肉瘤,横纹肌样特征、乳腺浸润性小叶癌、肛管腺癌、乳腺髓样癌、肺腺癌、神经内分泌肿瘤
通常阳性(<95%,≥75%的病例阳性): 皮脂腺腺癌、前列腺腺泡性癌、乳头状肾细胞癌、肝细胞癌、膀胱尿路上皮癌、胰腺腺泡细胞癌、耳鼻喉鳞状细胞癌、鼻咽癌,角化性、毛发上皮瘤、肝母细胞瘤、脊索样胶质瘤、肾上腺嗜酸细胞性肾上腺皮质肿瘤、壶腹腺癌、胆囊腺癌、耳鼻喉非角化性鳞状细胞癌、中肾腺瘤、上皮样肉瘤、间变性脑膜瘤、尿路上皮癌、透明细胞胆管癌、肾嗜酸细胞瘤、胰腺导管腺癌
经常阳性(<75%,≥55%的病例阳性): 肾嫌色细胞癌、宫颈鳞状细胞癌、良性胸腺瘤、涎腺导管腺癌、膀胱肉瘤样尿路上皮癌、软骨母细胞瘤,NOS、滑膜肉瘤、耳鼻喉梭形细胞癌、肾集合管癌
有时阳性(<55%,≥35%的病例阳性): 宫颈高级别鳞状上皮内病变、乳腺化生性癌、汗腺透明细胞腺癌、非典型性脑膜瘤
少数阳性(<35%,≥15%的病例阳性): 皮肤鳞状细胞癌、恶性外周神经鞘膜瘤、肾细胞癌、胰腺实性假乳头状肿瘤、滑膜肉瘤,单向分化、促结缔组织增生性小圆细胞肿瘤、炎性假瘤、造釉细胞瘤、小汗腺汗孔癌、卵巢成人颗粒细胞瘤、滑膜肉瘤,双向型,梭形细胞成分
偶尔阳性(<15%,≥5%的病例阳性): 颅咽管瘤,造釉细胞瘤型、脑膜瘤,微囊性、脑膜瘤,砂粒体型、脑膜瘤,横纹肌样、脑膜瘤,纤维型、脑膜瘤,移行型
几乎全部阴性(<5%的病例阳性): 恶性黑色素瘤、横纹肌肉瘤,NOS、平滑肌肉瘤,NOS、神经鞘膜瘤,NOS、血管周细胞瘤、皮肤基底细胞癌、肾上腺皮质癌、星形细胞瘤,高分化、肾上腺皮脂腺瘤、胃肠道间质瘤、血管球瘤、脑膜瘤,NOS、血管肌脂肪瘤、纤维结构不良、骨纤维结构不良、鲍温病、T 细胞淋巴瘤、间变性星形细胞瘤、胶质母细胞瘤,NOS、皮肤 Merkel 细胞癌、食管基底样鳞状细胞癌、肾黏液管状和梭形细胞癌