CyclinD1

别名: BCL1、CCND1、细胞周期素 D1

概述:

细胞周期素,由位于 11q13 的 BCL1/PRAD1 基因表达,与 t(11;14)染色体异位有关。

信号定位: 胞核

在病理学中的应用:

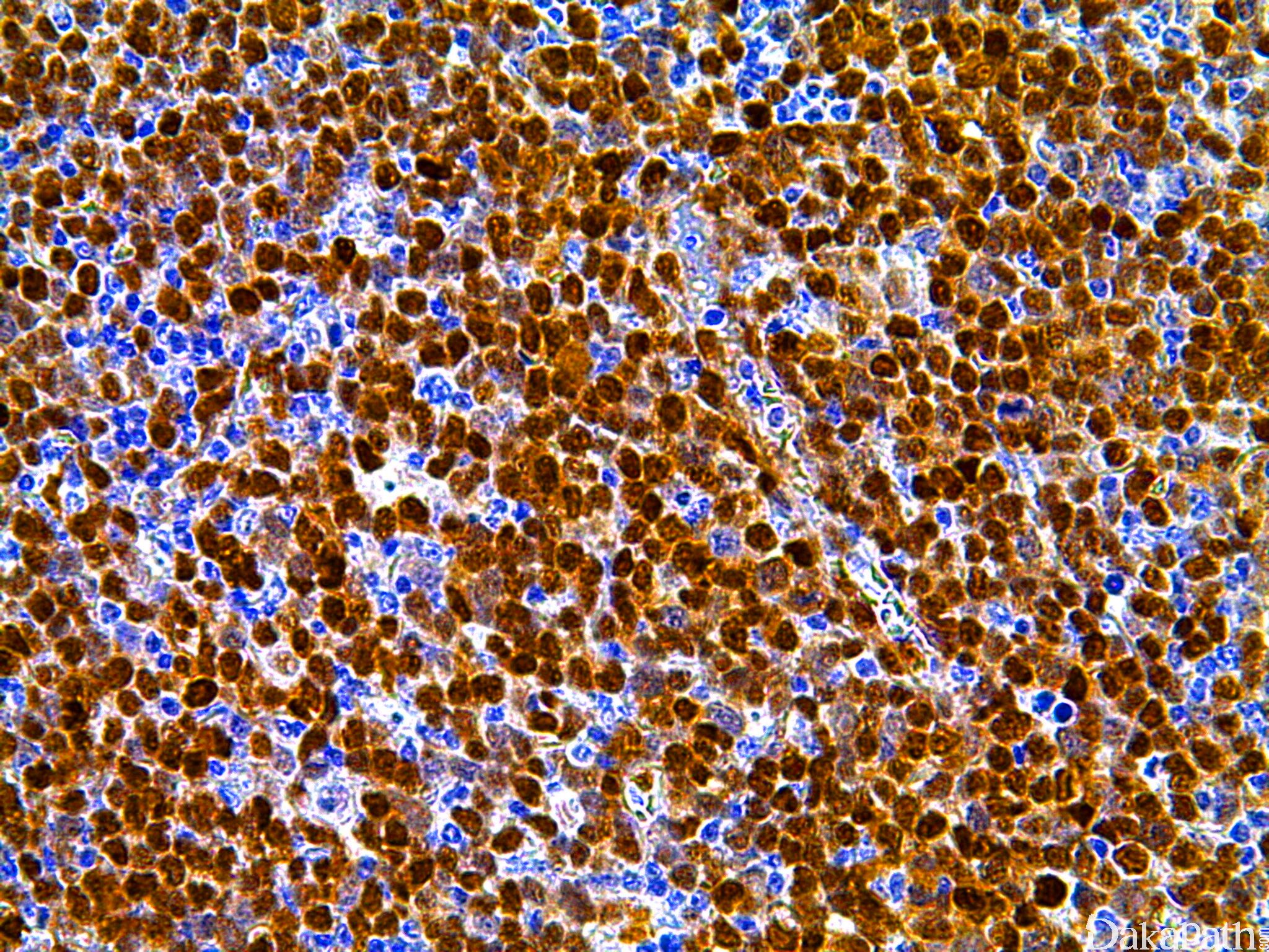
套细胞淋巴瘤的诊断与鉴别诊断。

  • Mantle cell lymphoma: characterized by t(11;14) translocation, which places the cyclin D1 gene next to an immunoglobulin heavy chain enhancer gene; among lymphomas, cyclin D1 expression is very specific for mantle cell lymphoma; however, blastoid cases may be negative (Am J Surg Pathol 2012;36:214)

  • Parathyroid: overexpressed in 40% of parathyroid adenomas, strong staining in carcinomas

商品化试剂(排名不分先后,本网站对抗体质量不负责!)

公司

克隆号

即用型(ml)

原液(ml)

基因科技

SP4

1

2

4

7

0.2

1

赛诺特

P2D11F11

1

3

6

/

0.1

0.2

SP4

1

3

6

/

0.1

0.2

EP12

1

3

6

/

0.1

0.2

中杉金桥

EP12

1.5

3

6

/

0.1

0.2

安必平

SP4

1.5

3

6

/

0.1

0.2

福建迈新

SP4

1.5

3

6

/

/

0.2

DCS-6

/

/

/

/

/

0.2

在肿瘤中的表达情况:

几乎全部阳性(≥95%的病例阳性): 宫颈高级别鳞状上皮内病变、卵巢子宫内膜样癌、炎性假瘤、套细胞淋巴瘤,母细胞型、内翻性乳头状瘤、宫颈腺癌,非特指型、甲状腺岛状癌、Gardner 纤维瘤、上皮样肉瘤

通常阳性(<95%,≥75%的病例阳性): 皮肤鳞状细胞癌、子宫平滑肌肉瘤、结直肠腺癌、胰腺实性假乳头状肿瘤、甲状腺乳头状癌、梭形和上皮样细胞痣、甲状腺间变性癌、套细胞淋巴瘤、甲状腺柱状细胞型乳头状癌、宫颈低级别鳞状上皮内病变、神经内分泌肿瘤、胰腺导管腺癌

经常阳性(<75%,≥55%的病例阳性): 平滑肌肉瘤,NOS、鼻窦腺癌,肠型、子宫内膜间质肉瘤、甲状腺滤泡性癌、乳腺导管原位癌、毛细胞白血病、异型增生性痣、食管腺癌、胆管癌、子宫内膜腺癌、滑膜肉瘤、甲状腺滤泡型乳头状癌、乳腺导管非典型增生、乳腺小叶原位癌、腺样囊腺癌,去分化、乳腺浸润性小叶癌、肺腺癌、乳腺乳头状瘤

有时阳性(<55%,≥35%的病例阳性): 皮肤基底细胞癌、高级别子宫内膜间质肉瘤、恶性外周神经鞘膜瘤、肾细胞癌、甲状腺滤泡性腺瘤、腺样囊性癌、耳鼻喉鳞状细胞癌、深部韧带样纤维瘤病、脊索瘤、间叶性软骨肉瘤、透明细胞软骨肉瘤、乳腺浸润性癌,非特殊类型、去分化软骨肉瘤、浆细胞骨髓瘤、卵巢浆液性癌、胰腺高级别上皮内瘤变、甲状旁腺癌、胃腺癌、阴经鳞状细胞癌、毛细胞型星形细胞瘤,、肾嗜酸细胞瘤

少数阳性(<35%,≥15%的病例阳性): 喉鳞状细胞癌、恶性黑色素瘤、乳头状肾细胞癌伴嗜酸细胞、食管鳞状细胞癌、恶性混合性苗勒管肿瘤,间质成分、恶性混合性苗勒管肿瘤,上皮成分、乳腺恶性叶状肿瘤、乳腺交界性叶状肿瘤、子宫间质结节、阴茎肉瘤样癌、甲状旁腺腺瘤、卵巢透明细胞癌、子宫内膜浆液性癌、肛管鳞状细胞癌、肛管鳞状细胞癌、甲状腺嗜酸细胞腺癌

偶尔阳性(<15%,≥5%的病例阳性): 黏液性/圆细胞脂肪肉瘤、横纹肌肉瘤,NOS、未分化多形性肉瘤、肝细胞癌、低级别子宫内膜间质肉瘤、软骨肉瘤、孤立性浆细胞瘤、乳腺良性叶状肿瘤、卵巢黏液性癌、子宫癌肉瘤、大细胞神经内分泌癌、甲状旁腺非典型腺瘤、鳞状细胞乳头状瘤、慢性淋巴细胞白血病/B 小淋巴细胞淋巴瘤、乳腺导管增生

几乎全部阴性(<5%的病例阳性): 喉原位鳞状细胞癌、弥漫大 B 型大 B 细胞淋巴瘤,非特指型、滤泡性淋巴瘤、滤泡性淋巴瘤 I 级、肾上腺皮质癌、B 淋巴母细胞白血病/淋巴瘤、Burkitt 淋巴瘤、经典型霍奇金淋巴瘤、复合痣、原发性渗出性淋巴瘤,HHV-8 相关、脾脏边缘区淋巴瘤、黏膜相关淋巴组织边缘区 B 细胞淋巴瘤、弥漫大 B 细胞淋巴瘤,非生发中心来源、T 细胞淋巴瘤、边缘区 B 细胞淋巴瘤、低级别软骨肉瘤、外周 T 细胞淋巴瘤、胰腺低级别上皮内瘤变、血管内大 B 细胞淋巴瘤、间变性大细胞淋巴瘤,ALK 阳性、甲状腺嗜酸细胞腺瘤、结外边缘区淋巴瘤、浆细胞白血病、阴茎腺鳞癌、浆母细胞性淋巴瘤