DOG1

概述:
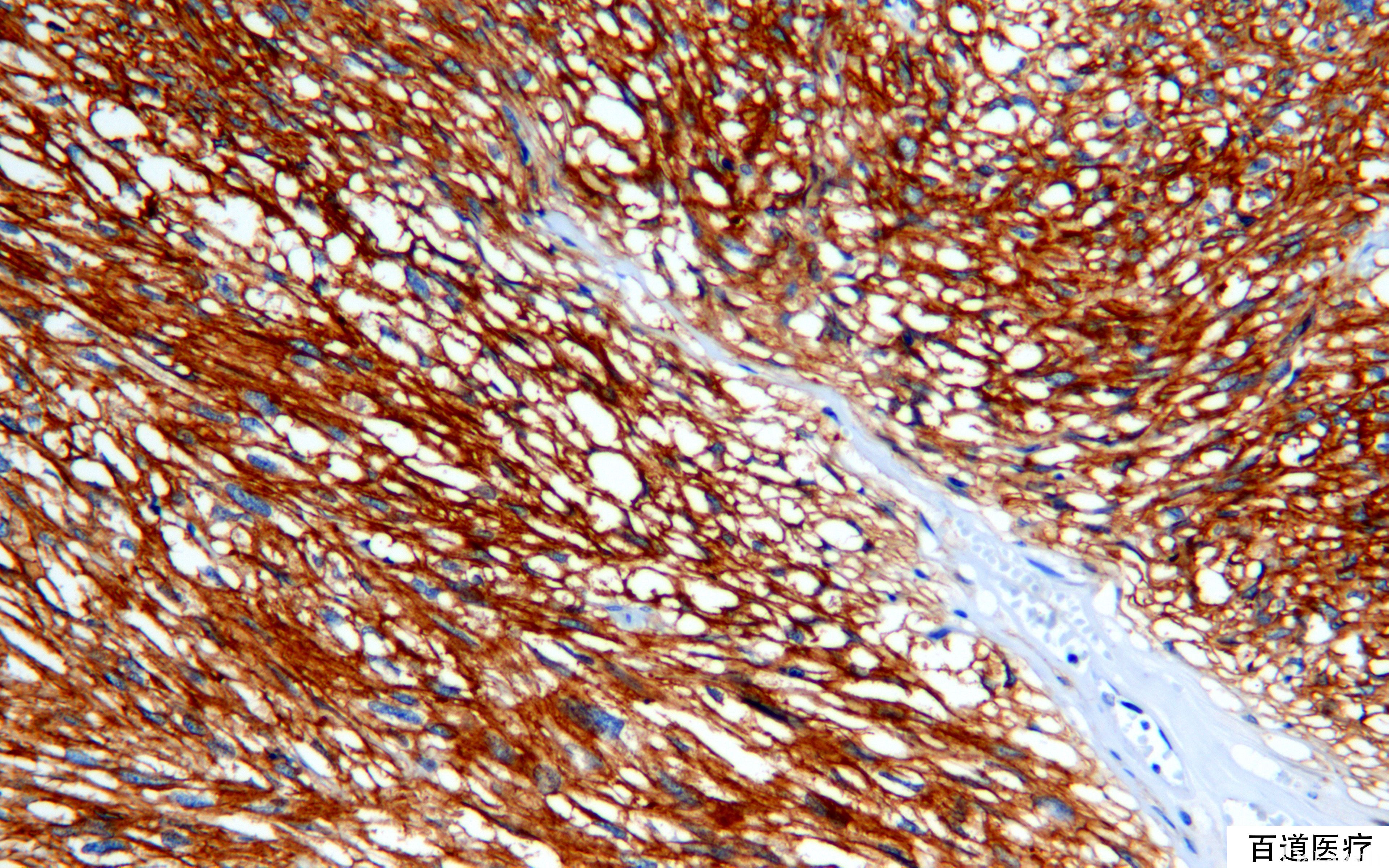
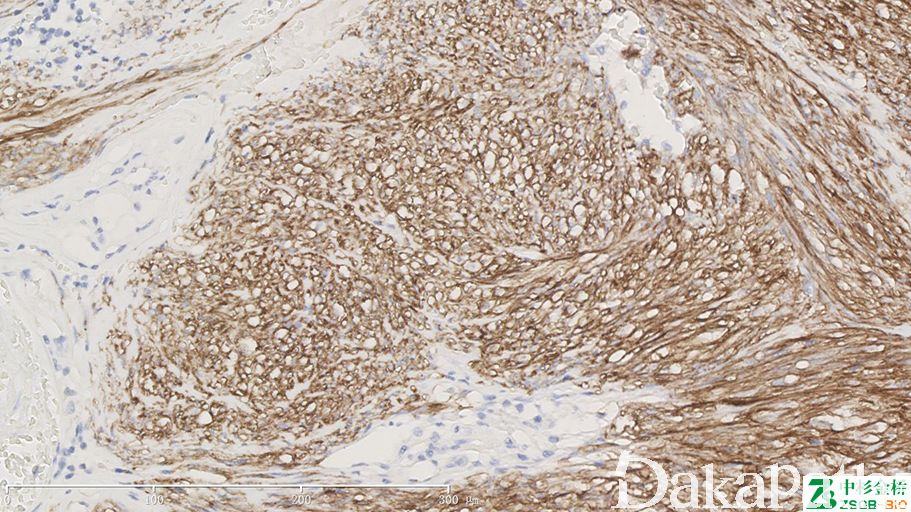
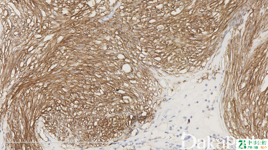
DOG1 基因(aka TMEM16)位于染色体 11q13,含有 26 个外显子,编码 960 个氨基酸组成的 114kDa 的蛋白,功能不详,其蛋白结构具有 8 个穿膜功能区。DOG1 蛋白选择性地表达于胃肠道间质瘤,与 KIT/CD117 相比,无论对于具有 KIT 基因突变还是 PDGFRA 基因突变的胃肠道间质瘤,,DOG1 都是 GIST 更加敏感和特异性的标记物。可以使更多的病人能 够获得接受靶向治疗(如伊马替尼)的机会。
信号定位: 胞质、胞膜
在病理学中的应用:
胃肠道间质瘤的诊断。
商品化试剂(排名不分先后,本网站对抗体质量不负责!)
公司 | 克隆号 | 即用型(ml) | 原液(ml) | ||||
基因科技 | SP31 | 1 | 2 | 4 | 7 | / | 0.2 |
赛诺特 | K9 | 1 | 3 | 6 | / | 0.1 | 0.2 |
SP31 | 1 | 3 | 6 | / | 0.1 | 0.2 | |
中杉金桥 | OTI1C6 | 1.5 | 3 | 6 | / | 0.1 | 0.2 |
安必平 | SP31 | 1.5 | 3 | 6 | / | 0.1 | 0.2 |
福建迈新 | SP31 | / | 3 | 6 | / | / | / |
在肿瘤中的表达情况:
几乎全部阳性(≥95%的病例阳性): 胰腺实性假乳头状肿瘤
通常阳性(<95%,≥75%的病例阳性): 胃肠道间质瘤、胃肠外间质肿瘤
经常阳性(<75%,≥55%的病例阳性): 食管鳞状细胞癌
少数阳性(<35%,≥15%的病例阳性): 胃腺癌,肠型、血管球瘤、胃印戒细胞癌、胆管癌
偶尔阳性(<15%,≥5%的病例阳性): 结直肠腺癌、纤维肉瘤、促结缔组织增生性黑色素瘤、尤文肉瘤、滑膜肉瘤、平滑肌瘤
几乎全部阴性(<5%的病例阳性): 小肠肉瘤样癌、恶性黑色素瘤、横纹肌肉瘤,NOS、隆突性皮肤纤维肉瘤、平滑肌肉瘤,NOS、神经鞘膜瘤,NOS、恶性外周神经鞘膜瘤、上皮样血管内皮瘤、子宫内膜间质肉瘤、炎性肌纤维母细胞瘤、颗粒细胞瘤、胃泌素瘤、软骨肉瘤、多形性脂肪肉瘤、腺泡状软组织肉瘤、非典型性脂肪瘤性肿瘤、上皮样多形性脂肪肉瘤、原始神经外胚层瘤、去分化脂肪肉瘤、Kaposi 肉瘤、促结缔组织增生性小圆细胞肿瘤、骨外黏液性软骨肉瘤、神经母细胞瘤、神经纤维瘤、乳腺恶性叶状肿瘤、低级别纤维黏液肉瘤、炎性假瘤、血管肉瘤、透明细胞肉瘤、血管肌脂肪瘤、深部韧带样纤维瘤病、上皮样肉瘤、涎腺小管腺瘤