EGFR

别名: 表皮生长因子受体;HER1; c-erb-B1。

概述:

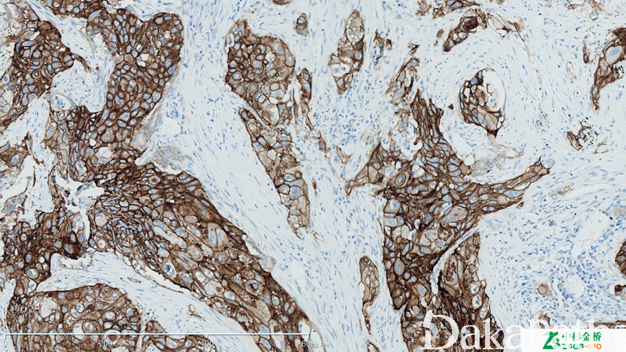
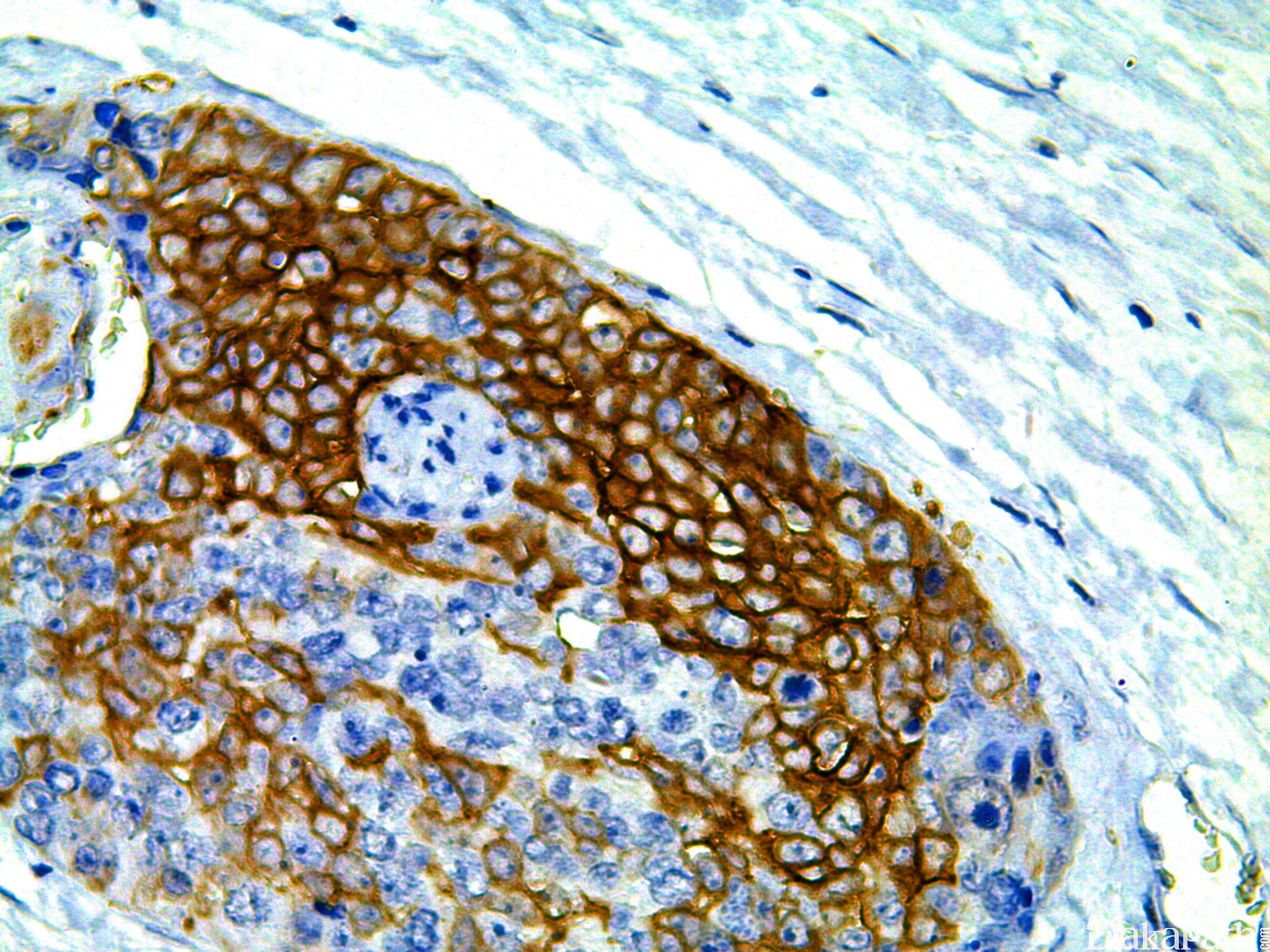
恶性肿瘤预后指标之一。目前用于肺非小细胞癌靶向治疗的参考。

信号定位: 胞膜、胞质(少)

在病理学中的应用:

  1. 与肿瘤预后及靶向治疗有关,对肿瘤诊断意义不大;

  2. 三阴性乳腺癌,通常染 EGFR 以指导治疗。

商品化试剂(排名不分先后,本网站对抗体质量不负责!)

公司

克隆号

即用型(ml)

原液(ml)

基因科技

EP38Y

1

2

4

7

0.2

1

赛诺特

EGFR.25

1

3

6

/

0.1

0.2

SP84

1

3

6

/

0.1

0.2

中杉金桥

UMAB95

1.5

3

6

/

0.1

0.2

EP22

安必平

EP38Y

1.5

3

6

/

0.1

0.2

福建迈新

SP125

1.5

3

6

/

/

0.2

SP111

1.5

3

6

/

/

0.2

EP38Y

1.5

3

6

/

/

0.2

EGFR.113

1.5

3

6

/

/

0.2