EMA

别名: Epithelial Membrane Antigen、MUC1、 CD227、episialin
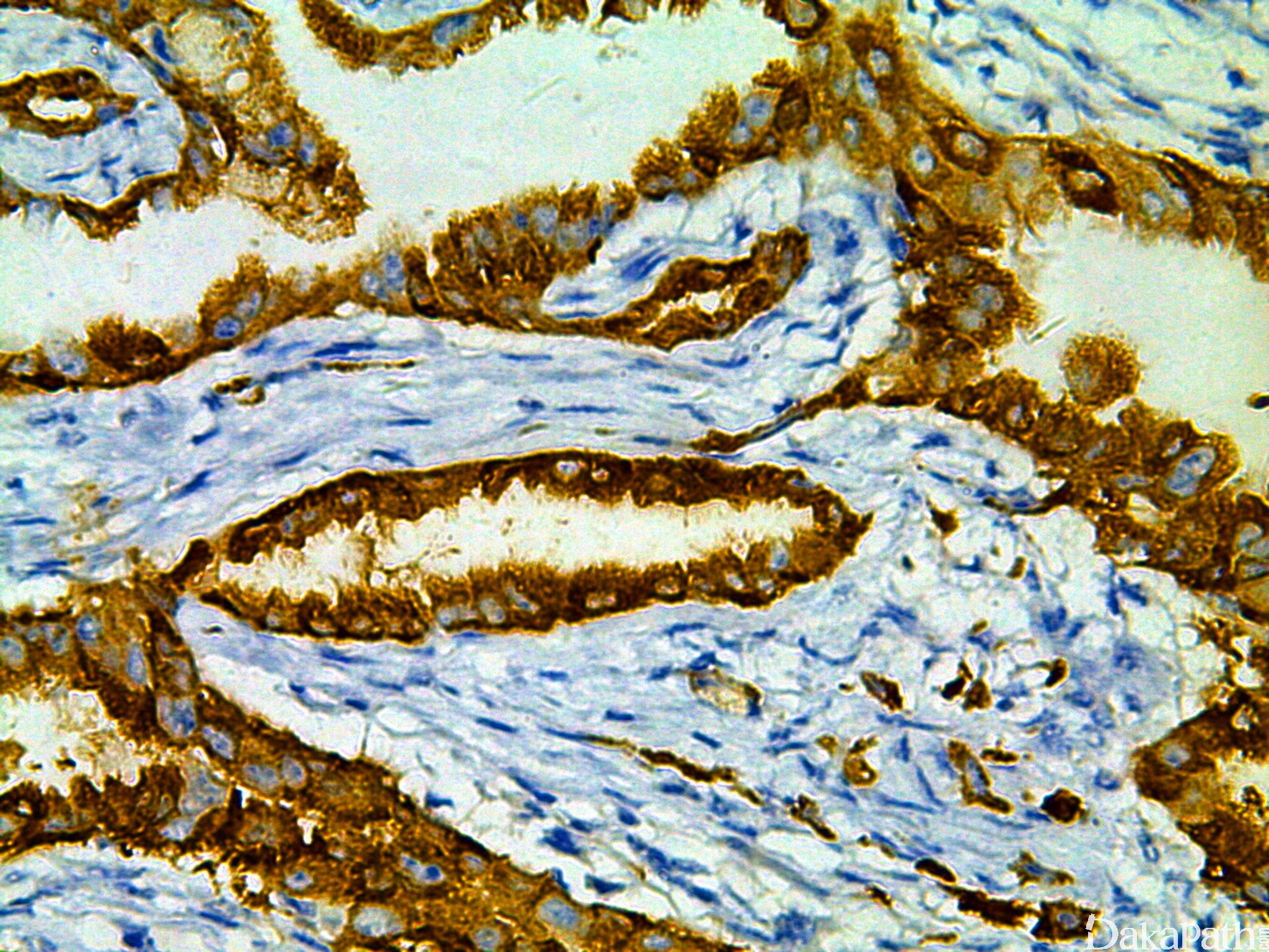
概述:
细胞表面黏糖蛋白,由 MUC1 基因编码,表达于大多数腺体及导管上皮和一些造血细胞。主要标记上皮细胞及其来源肿瘤。
多种软组织肿瘤科表达 EMA,如滑膜肉瘤、低级别纤维黏液样肉瘤、血管瘤样纤维组织细胞、上皮样良性纤维组织细胞瘤、浆细胞瘤、神经鞘膜瘤、软骨瘤等常呈阳性反应。
信号定位: 定位于胞膜,胞浆染色应预忽略,没有诊断价值
在病理学中的应用:
低分化肿瘤的上皮源性与间叶来源的鉴别诊断;
系统性间变性大细胞淋巴瘤(+)与皮肤间变性大细胞淋巴瘤(-)的鉴别诊断;
脑膜瘤(+),滑膜肉瘤、上皮样肉瘤、脊索瘤、部分浆细胞及肿瘤、神经束衣瘤均可(+)。
商品化试剂(排名不分先后,本网站对抗体质量不负责!)
公司 | 克隆号 | 即用型(ml) | 原液(ml) | ||||
基因科技 | E29 | 1 | 2 | 4 | 7 | / | 0.2 |
赛诺特 | GP1.4 | 1 | 3 | 6 | / | 0.1 | 0.2 |
E29 | 1 | 3 | 6 | / | 0.1 | 0.2 | |
中杉金桥 | GP1.4 | 1.5 | 3 | 6 | / | 0.1 | 0.2 |
安必平 | E29 | 1.5 | 3 | 6 | / | 0.1 | 0.2 |
福建迈新 | E29 | / | 3 | 6 | / | / | / |
在肿瘤中的表达情况:
几乎全部阳性(≥95%的病例阳性): 肾嫌色细胞癌、鼻咽乳头状腺癌、卵巢子宫内膜样癌、胰腺嗜酸细胞型导管内乳头状癌、胰腺嗜酸细胞型导管内乳头状癌伴浸润成分、间变性室管膜瘤、脑膜瘤,乳头状、微囊性室管膜瘤、皮肤鳞状细胞癌、卵巢子宫内膜样交界性肿瘤/非典型增生性子宫内膜样肿瘤、皮脂腺腺瘤、鼻窦腺癌,肠型、宫颈鳞状细胞癌、中肾癌、中肾瘤,NOS、上皮肌上皮癌、膀胱原位尿路上皮癌、恶性混合性苗勒管肿瘤、涎腺母细胞瘤、乳腺导管原位癌、食管鳞状细胞癌、肝混合性肝细胞胆管癌、耵聍腺癌、涎腺导管腺癌、神经束膜瘤、乳腺浸润性微乳头状癌、耳鼻喉鳞状细胞癌、子宫内膜黏液腺癌、滑膜肉瘤,双向型、卵巢不成熟畸胎瘤、乳腺黏液癌、肺鳞状细胞癌、皮脂腺上皮瘤、阴道腺癌、卵巢癌肉瘤、胎盘部位结节、胎盘部位滋养细胞肿瘤、子宫癌肉瘤、膀胱浸润性尿路上皮癌、脊索瘤、胰腺浆液性囊腺癌、胰腺实性浆液性腺瘤、涎腺黏液性腺癌、涎腺透明细胞腺癌、肺细胞腺肌上皮瘤,上皮成分、肾横纹肌样肾细胞癌,横纹肌样成分、皮肤黏液癌、肺弥漫性脑膜样上皮瘤病、脑垂体梭形细胞嗜酸细胞瘤、皮脂腺上皮肌上皮癌、分泌黏液的内分泌汗腺癌、肾髓质癌、腺样基底细胞癌、恶性肌上皮瘤、梭形细胞血管瘤、硬化性神经束膜瘤、子宫内膜腺癌、胆道腺瘤、乳腺叶状肿瘤,上皮成分、良性脊索细胞瘤、皮肤合体细胞性肌上皮瘤、乳腺外 Paget 病、脑膜瘤,脊索样、肺硬化性肺细胞瘤、卵巢透明细胞癌、耳鼻喉非角化性鳞状细胞癌、腹膜原发性腺癌、脑膜瘤,分泌性、浆细胞骨髓瘤、卵巢浆液性癌、肺印戒细胞癌、胰腺导管内管状乳头状肿瘤、上皮样肉瘤、宫颈黏液腺癌,非特指型、血管中心性神经上皮肿瘤、胰胆管囊腺癌伴间叶性间质,黏液、浸润性微乳头涎腺导管癌、上皮样滋养层细胞肿瘤、透明细胞牙源癌、鳞状细胞乳头状瘤、脑膜瘤,横纹肌样、脑膜瘤,移行型、胸腺腺鳞癌、腺样囊腺癌,去分化、支气管黏液腺腺瘤、胆管透明细胞癌、滑膜肉瘤,上皮成分、横纹肌样多形性胶质母细胞瘤、涎腺原基肿瘤、肾黏液管状和梭形细胞癌、肺硬化性肺细胞瘤,多角形细胞、肺硬化性肺细胞瘤,立方细胞、尿路上皮癌、肺肠型腺癌、乳腺浸润性小叶癌、输卵管透明细胞乳头状囊腺瘤、壶腹部腺鳞癌、壶腹胰胆管微乳头状癌、壶腹印戒细胞癌、肾源性腺瘤、阴茎透明细胞癌、皮肤附属器透明细胞癌、皮肤纤维性神经束膜瘤、腺样鳞状细胞癌、肺腺癌、小汗腺圆柱瘤、乳腺癌伴印戒细胞样细胞分化、乳腺导管内乳头状瘤、乳腺圆柱瘤
通常阳性(<95%,≥75%的病例阳性): 听神经鞘瘤、血管瘤样纤维组织细胞瘤、乳腺产间质癌、上皮样间皮瘤、肾小细胞嗜酸细胞瘤、非浸润性乳头状尿路上皮癌,低级别、膀胱尿路上皮癌、肾细胞癌、非浸润性乳头状尿路上皮癌,高级别、甲状腺乳头状癌、鼻窦未分化癌、肺大细胞癌、肾横纹肌样肾细胞癌,非横纹肌样成分、涎腺导管癌、恶性横纹肌样瘤、耵聍腺腺瘤、非典型畸胎瘤样横纹肌样瘤、低分化滑膜肉瘤、促结缔组织增生性小圆细胞肿瘤、黏液表皮样癌、鼻咽癌,角化性、低级别纤维黏液肉瘤、脑膜瘤,NOS、壶腹腺癌,胰胆管型、局限性恶性间皮瘤、软骨样脊索瘤、涎腺类似于乳腺的分泌性癌、颗粒细胞型星形细胞瘤(大脑半球)、膀胱腺癌,非特指型、脊索样胶质瘤、高分化乳头状间皮瘤、间皮瘤,双向分化、乳腺 Paget 病、皮肤 Merkel 细胞癌、基底样鳞状细胞癌、颅外脑膜瘤、乳腺浸润性癌,非特殊类型、宫颈腺癌,非特指型、胰腺横纹肌样未分化癌、肺微乳头型腺癌、涎腺小管腺瘤、间变性脑膜瘤、非典型性脑膜瘤、脑膜瘤,纤维型、上皮样肉瘤,横纹肌样特征、肾集合管癌、胰腺导管腺癌
经常阳性(<75%,≥55%的病例阳性): 低度恶性潜能的乳头状尿路上皮肿瘤、肌上皮瘤、胰腺导管内乳头状癌伴浸润成分、胰腺黏液性非囊性癌、结直肠腺癌、囊性肾瘤-囊上皮、皮脂腺腺癌、间皮瘤,NOS、乳头状肾细胞癌、胰腺腺泡细胞癌、透明细胞肾细胞癌、梭形细胞鳞状细胞癌、化生性胸腺瘤,梭形细胞成分、上皮样血管瘤、腺样囊性癌、膀胱肉瘤样尿路上皮癌、畸胎性癌肉瘤、滑膜肉瘤,单向分化、肺肉瘤样癌、胰腺导管内乳头状黏液性肿瘤、食管腺癌、阴茎肉瘤样癌、腺样外周神经鞘瘤、滑膜肉瘤,单向分化,纤维型、涎腺玻璃样变透明细胞癌、壶腹腺癌、胆管癌、胆囊腺癌、横纹肌样瘤、恶性毛根鞘瘤、滑膜肉瘤、小汗腺汗孔癌、胰腺高级别上皮内瘤变、大细胞神经内分泌癌、透明细胞汗腺瘤、滑膜肉瘤,双向型,梭形细胞成分、软组织恶性骨化性纤维黏液样肿瘤、肢端浅表纤维黏液瘤、胆管内乳头状-管状肿瘤、肛管腺癌、肾嗜酸细胞瘤、淋巴浆细胞淋巴瘤和 Waldenstrom 巨球蛋白血症、上皮样神经鞘瘤
有时阳性(<55%,≥35%的病例阳性): 子宫内膜绒毛膜癌、阴道混合瘤、涎腺腺泡细胞癌、胰腺多发性浆液性囊性肿瘤,Von Hippel-Lindau 相关、上皮样纤维肉瘤、甲状腺腺瘤、小肠腺癌、胰胆管腺癌、肠病相关 T 细胞淋巴瘤、骨外骨肉瘤、鼻咽未分化癌
几乎全部阴性(<5%的病例阳性): 肺细胞腺肌上皮瘤,肌上皮成分