ER

别名: estrogen recepto; Oestrogen receptor; 雌二醇受体;雌激素受体
概述:
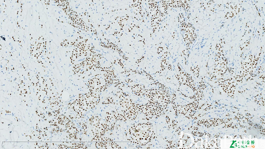
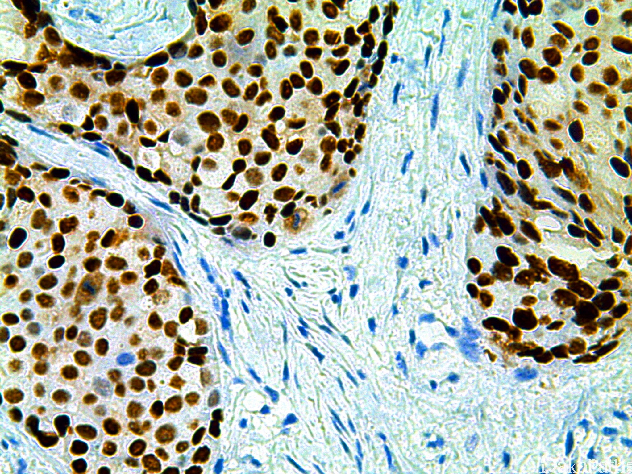
ER 与配体的结合具有组织特异性,包括转录激活或抑制、对其他信号转导通路的调节和对细胞周期的影响。
信号定位: 核着色,浆着色不计
在病理学中的应用:
与其它抗体联用用于乳腺癌及女性生殖系统腺癌与其它器官腺癌的鉴别诊断;
确定乳腺癌对激素治疗的敏感性;
宫颈管腺癌与子宫内膜腺癌的鉴别诊断;
子宫内膜样腺癌与浆液性癌的鉴别。
商品化试剂(排名不分先后,本网站对抗体质量不负责!)
公司 | 克隆号 | 即用型(ml) | 原液(ml) | ||||
基因科技 | SP1 | 1 | 2 | 4 | 7 | 0.2 | 1 |
6F11 | 1 | 2 | 4 | 7 | 0.2 | / | |
赛诺特 | 6F11 | 1 | 3 | 6 | / | / | / |
C6H7 | 1 | 3 | 6 | / | 0.1 | 0.2 | |
中杉金桥 | EP1 | 1.5 | 3 | 6 | / | 0.1 | 0.2 |
6F11 | 1.5 | 3 | 6 | / | 0.1 | 0.2 | |
安必平 | SP1 | 1.5 | 3 | 6 | / | 0.1 | 0.2 |
福建迈新 | SP1 | / | 3 | 6 | / | / | / |
1D5 | / | / | / | / | / | 0.2 | |
在肿瘤中的表达情况:
几乎全部阳性(≥95%的病例阳性): 乳腺小管癌、乳腺乳头状癌、乳腺癌,腔 B 型、乳腺癌,腔 A 型、乳腺浸润性导管癌,伴小叶癌特征、乳腺乳头状瘤、乳头状血管内皮增生
通常阳性(<95%,≥75%的病例阳性): 血管纤维瘤,NOS、子宫内膜腺癌 I-II 级、高级别子宫内膜间质肉瘤、乳腺导管原位癌、乳腺筛状癌、乳腺浸润性癌,非特殊类型、卵巢 Brenner 瘤、卵巢浆液性癌、乳腺导管原位癌,低级别、乳腺小叶原位癌、性索间质肿瘤、乳腺浸润性小叶癌
经常阳性(<75%,≥55%的病例阳性): 子宫平滑肌肉瘤、肺大细胞癌、乳腺良性叶状肿瘤、肌纤维母细胞瘤、宫颈黏液腺癌,非特指型
有时阳性(<55%,≥35%的病例阳性): 恶性混合性苗勒管肿瘤,上皮成分、汗腺癌、乳腺大汗腺化生、乳腺导管增生
少数阳性(<35%,≥15%的病例阳性): 去分化脂肪肉瘤、胚胎性横纹肌肉瘤、皮脂腺癌,上皮肌上皮,上皮成分、肺腺癌
偶尔阳性(<15%,≥5%的病例阳性): 前列腺腺泡性癌、血管瘤、涎腺导管腺癌、乳腺黏液癌、肺鳞状细胞癌
几乎全部阴性(<5%的病例阳性): 结直肠腺癌、乳腺化生性癌、上皮样血管内皮瘤、胰腺实性假乳头状肿瘤、Kaposi 肉瘤、血管肉瘤、脊索瘤、淋巴管瘤、梭形细胞血管瘤、结直肠黏液性腺癌、结直肠印戒细胞癌、胃肝样腺癌、胃腺癌