EpCAM

别名: BerEP4,MOC-31、CD326、TACSTD1 protein
概述:
是由 MCF-7 乳腺癌细胞系免疫小鼠产生的单克隆抗体,识别的抗原广泛存在于除表层鳞状上皮和肝细胞外的人类正常和肿瘤性上皮细胞。MOC-31 比 BerEP4 具有优势。
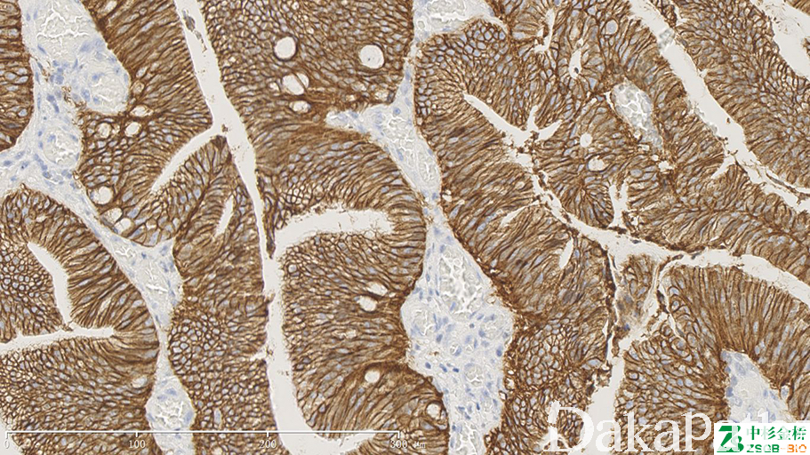
信号定位: 胞质、胞膜
在病理学中的应用:
1、胸、腹水中腺癌(弥漫+)及间皮细胞(-或局灶弱+)的鉴别;
2、基底细胞肿瘤(BerEP4+、EMA-)与鳞状上皮肿瘤(BerEP4-、EMA+)的鉴别,如基底细胞样鳞癌、鲍温病、日光性角化病等。
3、肾嫌色细胞癌及嗜酸细胞瘤的诊断;
4、腺癌与间皮瘤的鉴别;
5、皮肤的派杰病、Merkel 细胞癌及部分皮肤附属器肿瘤也+。
商品化试剂(排名不分先后,本网站对抗体质量不负责!)
公司 | 克隆号 | 即用型(ml) | 原液(ml) | ||||
基因科技 | Ber-EP4 | / | 2 | 4 | 7 | / | 0.2 |
赛诺特 | Ber-EP4 | 1 | 3 | 6 | / | 0.1 | 0.2 |
MOC-31 | |||||||
中杉金桥 | UMAB131 | 1.5 | 3 | 6 | / | 0.1 | 0.2 |
EP155 | |||||||
安必平 | Ber-EP4 | 1.5 | 3 | 6 | / | 0.1 | 0.2 |
MOC-31 | |||||||
在肿瘤中的表达情况:
几乎全部阳性(≥95%的病例阳性): 结直肠腺癌、前列腺腺泡性癌、皮肤基底细胞癌、类癌、甲状腺滤泡性腺瘤、甲状腺滤泡性癌、甲状腺乳头状癌、淋巴上皮癌、肺大细胞癌、涎腺腺泡细胞癌、黏液表皮样癌、卵巢无性细胞瘤、卵巢黏液性癌、外阴基底细胞癌、食管腺癌、甲状旁腺腺瘤、嗅神经母细胞瘤、子宫内膜腺癌、乳腺伴大汗腺分化的癌、甲状腺腺瘤、腹膜原发性腺癌、小肠腺癌、肝内胆管细胞癌、宫颈腺癌,非特指型、卵巢浆液性癌、甲状旁腺癌、胃肝样腺癌
通常阳性(<95%,≥75%的病例阳性): 肾嫌色细胞癌、卵巢子宫内膜样癌、皮脂腺腺癌、鼻窦腺癌,肠型、甲状腺髓样癌、食管鳞状细胞癌、肝混合性肝细胞胆管癌、腺样囊性癌、睾丸青春期后型卵黄囊瘤、促结缔组织增生性小圆细胞肿瘤、滑膜肉瘤,双向型、乳腺黏液癌、肺鳞状细胞癌、乳腺良性叶状肿瘤、卵巢黏液性囊腺瘤、胆管癌、胆囊腺癌、乳腺筛状癌、乳腺外 Paget 病、皮肤 Merkel 细胞癌、卵巢透明细胞癌、乳腺浸润性癌,非特殊类型、睾丸交界性乳头状浆液性肿瘤、颅咽管瘤,造釉细胞瘤型、子宫内膜浆液性癌、肛管鳞状细胞癌、肛管鳞状细胞癌、胃腺癌、乳腺髓样癌、肺腺癌、胰腺导管腺癌
经常阳性(<75%,≥55%的病例阳性): 宫颈鳞状细胞癌、乳头状肾细胞癌、肝硬化型肝细胞癌、耳鼻喉鳞状细胞癌、毛发上皮瘤、阴道鳞状细胞癌、子宫癌肉瘤、膀胱腺癌,非特指型、乳腺 Paget 病、乳腺小管癌、胸腺乳头状癌、膀胱鳞状细胞癌、阴经鳞状细胞癌、宫颈原位鳞状细胞癌、多形性腺瘤
有时阳性(<55%,≥35%的病例阳性): 微囊性附属器癌、膀胱尿路上皮癌、恶性外周神经鞘膜瘤、乳腺化生性癌、肾细胞癌伴 Xp11.2 异位、膀胱浸润性尿路上皮癌、基底样鳞状细胞癌、甲状腺未分化癌、乳腺浸润性小叶癌
少数阳性(<35%,≥15%的病例阳性): 纤维肉瘤、肾细胞癌、透明细胞肾细胞癌、恶性混合性苗勒管肿瘤、颗粒细胞瘤、良性胸腺瘤、膀胱肉瘤样尿路上皮癌、血管球瘤、血管肉瘤、胚胎性癌、肺肉瘤样癌、外阴鳞状细胞癌、腺瘤样瘤,NOS、滑膜肉瘤、耳鼻喉梭形细胞癌、肾嗜酸细胞瘤
偶尔阳性(<15%,≥5%的病例阳性): 恶性黑色素瘤、上皮样间皮瘤、间皮瘤,NOS、肝细胞癌、副神经节瘤、原始神经外胚层瘤、睾丸原位生殖细胞瘤、局限性恶性间皮瘤、滑膜肉瘤,单向分化,纤维型、间皮瘤,双向分化、弥漫性纤维型星形细胞瘤、上皮样肉瘤
几乎全部阴性(<5%的病例阳性): 急性髓系白血病,NOS、黏液性/圆细胞脂肪肉瘤、弥漫大 B 型大 B 细胞淋巴瘤,非特指型、皮肤鳞状细胞癌、横纹肌肉瘤,NOS、隆突性皮肤纤维肉瘤、平滑肌肉瘤,NOS、神经鞘膜瘤,NOS、血管周细胞瘤、未分化多形性肉瘤、子宫内膜间质肉瘤、膀胱原位尿路上皮癌、神经鞘黏液瘤、子宫内膜绒毛膜癌、胃泌素瘤、慢性髓系白血病、软骨肉瘤、髓母细胞瘤,NOS、恶性神经鞘瘤、上皮样血管瘤、腺泡状软组织肉瘤、经典型霍奇金淋巴瘤、肾上腺皮脂腺瘤、嗜铬细胞瘤、胃肠道间质瘤、毛细血管瘤、Kaposi 肉瘤、神经纤维瘤、淋巴瘤、痣,NOS、脑膜瘤,NOS、血管肌脂肪瘤、卵巢幼年型粒层细胞瘤、间皮增生、蜕膜样间皮瘤、良性纤维组织细胞瘤、黏膜相关淋巴组织边缘区 B 细胞淋巴瘤、弥漫型腱鞘巨细胞瘤、鲍温病、T 细胞淋巴瘤、高分化乳头状间皮瘤、室管膜瘤、硬化性神经束膜瘤、胶质母细胞瘤,NOS、横纹肌样瘤、脉络丛乳头状瘤,NOS、脂肪瘤、间变性脑膜瘤、肉瘤样肾细胞癌、平滑肌瘤、睾丸网腺瘤