GH

别名: Growth Hormone;somatotropin;生长激素
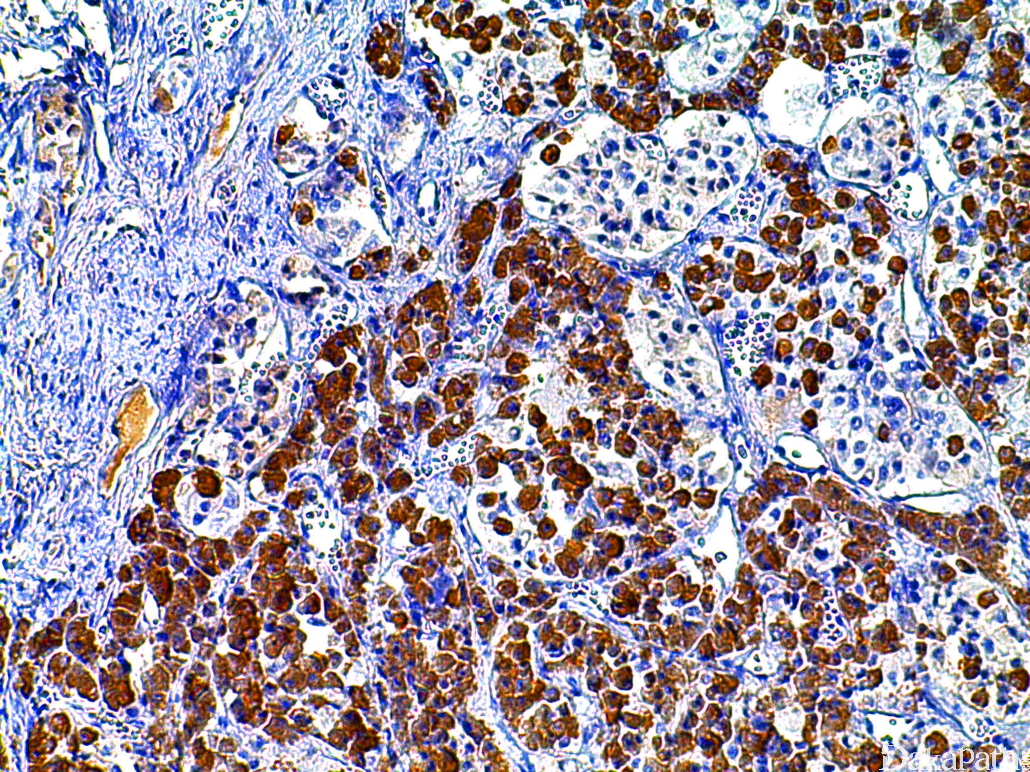
概述:
生长素,由垂体生长素细胞分泌。
信号定位: 胞质
在病理学中的应用:
垂体腺瘤的功能分型;
原发性垂体腺瘤与转移癌的鉴别;
硬化性肺细胞癌与非腺癌的鉴别诊断。
商品化试剂(排名不分先后,本网站对抗体质量不负责!)
公司 | 克隆号 | 即用型(ml) | 原液(ml) | ||||
基因科技 | Poly | / | 2 | 4 | 7 | / | 0.2 |
中杉金桥 | EP267 | 1.5 | 3 | 6 | / | 0.1 | 0.2 |
安必平 | / | 1.5 | 3 | 6 | / | 0.1 | 0.2 |
在肿瘤中的表达情况:
几乎全部阳性(≥95%的病例阳性): 垂体腺瘤,分泌生长激素、肺硬化性肺细胞瘤,多角形细胞
经常阳性(<75%,≥55%的病例阳性): 肺硬化性肺细胞瘤
少数阳性(<35%,≥15%的病例阳性): 垂体腺瘤
几乎全部阴性(<5%的病例阳性): 结直肠腺癌、间皮瘤,NOS、肺鳞状细胞癌、垂体腺瘤,裸细胞、脑垂体梭形细胞嗜酸细胞瘤、肺腺鳞癌、大细胞神经内分泌癌、肺硬化性肺细胞瘤,立方细胞、肺腺癌
← CK-PAN(OSCAR) HCG →